“30年都没有事,谁知道会忽然发作,幸好是在医院发生的,不然就没得我了,太感谢这里的医护人员了。” 6月24日,重庆日报记者从陆军特*医色**学中心(大坪医院)获悉,在该院多学科密切协作下,市民张先生埋在胸骨后30年的巨大甲状腺肿瘤被成功切除,目前,该患者已康复出院。

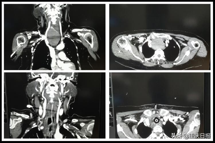
▲图为患者术前、术后CT检查。陆军特*医色**学中心供图
30年前,张先生被查出“甲状腺巨大肿瘤”,因肿瘤大部分位于胸骨后,从未有过不适感,张先生没有重视,未行特殊治疗。今年5月,张先生因咽喉部不适入住中心耳鼻喉科,没想到30年的甲状腺肿瘤内部突发出血,肿瘤体积急剧增大导致压迫气管,张先生忽然声音嘶哑、呼吸困难,随时可能窒息死亡,情况十分危急。
张先生随即被转入ICU,当晚10点,ICU紧急发出全院多学科会诊。会诊进行了2个多小时,耳鼻喉科、心外科、胸外科、乳腺甲状腺外科、手术室、麻醉科的专家教授们一致决定必须尽早实施急诊手术解除患者呼吸道梗阻。
第二天一早,手术室准备就绪,而如何进行麻醉成为专家们面临的第一个难点。“张先生气管被肿瘤压迫后严重狭窄,最窄处直径仅为5毫米,以往的插管麻醉如不成功,反而可能导致喉头水肿加剧呼吸困难。” 陆军特*医色**学中心乳腺甲状腺外科副主任医师高博介绍,于是心外科和胸外科联手,先为张先生建立了体外循环,麻醉科再顺利实施气管插管。
麻醉成功建立后,手术正式开始。高博手持钨针电刀,在本科室黄琦医师及耳鼻喉科余小平医师的配合下,逐层切开张先生颈部皮肤、皮下脂肪……经过3个多小时的努力,手术团队在不开胸的条件下,经过相对局促的颈部横切口,成功将张先生胸骨后约8*7cm大小的巨大甲状腺肿瘤完整切除。
“张先生本身颈部较短,颈部外侧因体外循环又实施了右侧颈内静脉置管,导致手术操作空间十分狭小。”高博说,直接开胸切除肿瘤会降低手术操作难度,但考虑到病人年龄已将近70岁,为了减少术后创伤,手术团队决定采取颈部切除。经过精细的解剖游离,手术团队成功剥离紧紧缠绕在甲状腺肿瘤上的颈部大血管,右上甲状旁腺也得以完好的原位保留,喉返神经也得到充分游离及妥善保护。
据了解,陆军特*医色**学中心乳腺甲状腺外科针对巨大甲状腺肿瘤导致患者呼吸梗阻手术,推出相关项目申报陆军军医大学临床新技术,截至目前已成功完成手术几十余例。
重庆日报全媒体 王丽