废话不多说,这篇文章就是介绍牙齿突发疼痛,牙齿断裂、脱落应该怎么处理的科普文,大家可以收藏一下,当然永远用不到是最好的。

牙齿突发严重疼痛后的紧急处理方式
1) 肿胀形成或牙神经暴露受刺激导致;
2) 漱口,用温盐水漱口减轻肿胀;
3) 去看牙医, 以防感染扩散更严重;
4)牙床肿胀或神经发炎需做根管治疗;
5)损伤非常严重,需拔除坏牙。

无论哪种原因引发的牙齿疼痛,其实都是在提醒我们,口腔有潜在的口腔疾患,都需要到正规口腔医疗单位进行治疗。
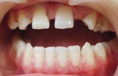
牙齿断裂后的紧急处理方式
1) 尽量保留所有断了掉落的牙齿,交给牙医做牙齿恢复;
2) 温水漱口,并用温水浸泡掉落的牙齿;
3) 如果出血,将纱布置于出血处;
4) 去牙科诊所的路上,牙齿局部冷敷;
5)牙冠折裂没有暴露到牙髓,可以直接修复;
6)倘若折裂造成牙神经暴露,那就需要先做牙髓治疗;
7)如是龋齿导致,需采用根管治疗。

另外,牙齿受到外力冲击后,牙体组织无明显缺损,但牙周膜有损伤(用手摇牙,有松动),牙震荡往往不能通过肉眼看出损伤痕迹,很容易被忽略。因此需要定期到医院复查,以便出现病变后能得到及时治疗。
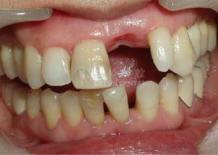
牙齿意外脱落后的紧急处理方式
1) 别抓牙根,抓牙冠;
2) 口里脏的话用温热水漱口,切忌刷;
3) 将牙以正确的方向插回牙槽窝;
4) 不能插回去就将牙齿放入牛奶或盐水里浸泡;
5)脱落一小时内做”脱位牙再植“效果最佳。

牙脱位可以实施复位,但除了找到牙齿&保持湿润之外,时间非常重要:
30分钟内是将脱落牙复位的黄金时间;如果能在2小时内植回脱落牙,也能获得较好的效果;超过2小时,落牙复位的成功率将大大下降,随着时间增加,效果也会越来越差。
