36岁的准妈妈,经阴道自然分娩,产程顺利,无大出血,因产后出汗较多,饮用大量白开水及米汤,且未进食含盐食物,2天后突发喷射样呕吐,伴有头晕、视物不清及意识障碍,呼之不应…经医生诊断为水中毒、低钠血症。
1
病 例 摘 要
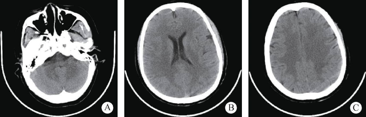
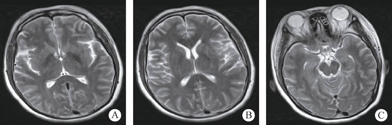
患者女性,36岁,经阴道自然分娩2天后,突发喷射样呕吐,伴有头晕、视物不清及意识障碍,随后出现胡言乱语、答非所问。发病3小时后出现呼之不应、牙关紧闭、四肢乱动、双眼直视、伴舌咬伤,入院后查体见球结膜出血水肿,颜面部出血伴皮下出血点,对光反射迟钝,疼痛刺激反应正常,无其他阳性体征,监测生命体征,完善各项影像学检查均未见明显异常(图1、图2)。

图1 发病第2天头颅CT(未见明显异常)

图2 头颅MRI+MRA+MRV (未见明显异常)
实验室检查结果:
血气分析,pH 7.499,PCO225.7mmHg,PO2 9.14mmHg,BE-2.9mmol/L,HCO3 19.8mmol/L。
血常规,红细胞3.25×1012/L,白细胞14.27×109/L,血红蛋白107g/L,血细胞比容29.2%,血小板132×109/L,红细胞平均容积94.4fl,平均血红蛋白浓度333g/L。
血生化,GLU 5.08mmol/L,AST 52.7U/L,Na+ 127mmol/L,TP 56.5g/L,ALB 30.5g/L。
尿常规,尿比重1.02。
追问患者病史,分娩时产程顺利,无大出血,产后出汗较多,饮用大量白开水及米汤,且未进食含盐食物。既往无脑外伤、颅内感染及癫痫病史。
入院后经过多学科会诊,认为该患者可能是由于产后摄入大量低渗液体导致的水中毒,给予降颅压、镇静、补液、抑酸、抗感染及对症支持治疗5天后,血钠水平逐渐恢复正常,神志转清,实验室检查各项指标趋于好转,转回当地医院继续治疗。
2
讨 论
该患者为青年女性,表现为产后急性起病,起病形式、临床表现及各项检查均不具备特异性,这就为疾病的诊断增加了难度。根据患者的临床表现及检查结果,暂时不考虑如下疾病:①内分泌及代谢紊乱性疾病,如肾上腺皮质功能亢进、甲状旁腺功能减低等;②子痫;③羊水栓塞及妊娠期血管炎;④可引起脑水肿的疾病,如窒息、一氧化碳中毒、尿毒症、食物及药物中毒等导致的细胞毒性脑水肿,以及颅脑外伤、炎症(病毒性、细菌性、结核性、寄生虫性等)、脑卒中、脑肿瘤等原因导致的血脑屏障破坏,引起血管源性脑水肿。
患者发病前曾有短时间内大量饮水及大量出汗病史,未进食含盐食物,发病时主要表现为呕吐、头晕、精神异常及癫痫样发作等。查体除意识障碍外,未见其他神经系统局灶定位体征,化验检查提示低钠血症,神经影像没有特殊发现,给予利尿、补钠治疗后病情好转,故诊断为水中毒、低钠血症。
3
专 家 点 评
妊娠期间,大脑组织的代谢水平,以及水、离子平衡均有一定的特点。为了适应妊娠期间正常生理需求,心血管系统随之会发生一定的改变,如血管壁的完整性、血流动力学的改变、凝血、卒中及水肿等,这些改变可能会给机体带来一定的风险。Zeeman等研究发现,怀孕后期,脑CBF可以增加22%,水中毒在中枢神经系统的主要表现为脑细胞肿胀、脑血流低灌注引起的脑组织缺血水肿、脑干受压等,严重者可引起脑疝。
妊娠期水中毒的诊断主要依靠临床表现及实验室检查,影像学常无特异性表现。MRI成像对于水中毒脑组织受损情况具有一定的诊断价值。轻度水中毒患者MRI成像可能无明显异常表现,典型患者可表现为脑实质T2WI信号增高、缺血脑组织DWI高信号等特征。此外可以应用TCD观察水中毒患者脑CBF及脑血流动力学的改变。同时,也可以应用MR灌注成像观察水中毒患者的脑血流灌注情况。(点评专家:高晓娟,首都医科大学附属北京天坛医院妇产科)
4
文 献 回 顾
水中毒的病因及发病机制
水中毒(water intoxication)是一种伴有脑功能损害的致命性的机体功能障碍,由于机体摄入水总量超过了排出量,以致水分在体内潴留,表现为由于水摄入过多而导致的低渗性的症状,常常伴有稀释性低钠血症。临床上较为罕见,然而在健康产妇中出现水中毒并不少见,之前国外已有多个类似的案例报告。

常见的水中毒的病因:①各种原因导致的抗利尿激素分泌过多;②肾功能不全,排尿能力下降;③机体摄入水分过多或接受过多的静脉输液。
可能引起孕产妇水中毒的原因:①主动或由于精神疾病摄入过量的水;②医源性电解质负荷过量;③长期使用高剂量催产素。
发病机制: 主要由于体内水的潴留量超过肾自由水排泄,或自由水从肾脏排泄机制受损。前者可见于精神病患者或医源性的水负荷过重,当水的摄入量超过排泄量时,会造成体液的稀释,从而发生水中毒。
水中毒患者细胞外液量明显增加,导致血清钠浓度降低,从而引起血浆和细胞内外之间渗透梯度的变化,造成在血浆及细胞内外水的分布不均和水盐代谢紊乱。
病情的严重程度和发展速度取决于血钠水平。摄取过多水需要更高的利尿机制来补偿,超过了肾脏的最大代偿能力,患者就会出现水中毒和低钠血症,导致细胞内外浓度梯度的形成,尤其在脑组织,患者就会出现脑水肿。
医源性水中毒可见于静脉输注大量葡萄糖的患者,当身体迅速代谢葡萄糖时,仍有大量的水存在于血管中,外国文献也曾经报道过由于大量利尿剂和生理盐水注入而导致水中毒的病例,或使用垂体后叶素治疗手术出血而导致医源性水中毒的例子。由于在生产过程中对水负荷的耐受程度降低,一个中等程度的液体容量也会导致低钠血症,因此,临床上应当尽量减少孕产妇静脉滴注低渗性液体。
但本例患者之前并无使用垂体后叶素治疗产后出血的相关病史。有研究表明,孕妇常常会有细胞外的液体容量增加,并且在足月时常常会表现为周围性水肿,孕妇自身在分娩过程中分泌的催产素,也是导致体内水潴留的一个原因。已有相关报道显示即使是正常的孕产妇,静脉使用过多的催产素也会导致水中毒。大部分的文献都是针对外源性抗利尿激素的使用,而没有考虑到孕妇自身分泌的催产素,也有类似抗利尿激素的作用。根据病史提示,该患者并没有在生产过程中静脉使用抗利尿激素的用药史。如果孕妇在围生期摄入大量的水,由于孕妇体内含水量会比正常人增加,容易产生水钠潴留,导致围生期水中毒的风险相应增加。

水中毒的临床症状
急性水中毒发病急骤,症状主要表现为头痛、意识行为变化、肌无力、抽搐、痉挛、恶心、呕吐、感觉障碍、困惑、易怒和嗜睡等,严重的水中毒可能会导致死亡。
水中毒及水中毒之后脑电图的变化,之前也有过报道。急性水中毒与低钠血症可导致脑电图的异常,并且这些脑电图的异常与血钠水平并无明显的相关性。
实验室检查可发现:红细胞计数、血红蛋白量、血细胞比容和血浆蛋白量均降低,血浆渗透压降低,以及红细胞平均容积增加和红细胞平均血红蛋白浓度降低,提示细胞内、外液量均增加(图3)。

图3 一名22岁女性在3小时内喝了约超过6L水后,实验室和临床症状的改变
水中毒的诊断依据
诊断 依据:引起水过多和水中毒的病因,如ADH分泌过多、急性肾衰竭等及输入过多液体的病史,结合临床表现及必要的实验室检查所见,如血浆渗透压、血清钠降低,血浆蛋白、血红蛋白、红细胞、血细胞比容、平均红细胞血红蛋白浓度降低,平均红细胞体积增大,一般可以作出诊断。
此外,应注意与其他低钠血症鉴别,本症时尿钠一般大于20mmol/L,而缺钠性低钠血症尿钠常减少或消失。
孕妇最初发病的表现与子痫、静脉窦血栓、癫痫类似,仅仅针对症状的治疗往往不会获得良好的效果。因此,在处理类似病例的时候,早期对发病机制的了解和早期的识别尤为重要。
常见较难鉴别的临床症状有头痛、恶心、疲劳、意识障碍,甚至癫痫发作。 因此,提高对水中毒的诊断意识尤为重要,如果把水中毒误诊为脱水,而导致孕妇摄入更大量的水,后果将不堪设想。
妊娠水中毒的治疗
对于妊娠水中毒的治疗,主要是限制水的摄入量及高张高渗钠液的缓慢输入, 一般可以选用渗透性利尿剂,如20%甘露醇或25%山梨醇200ml静脉内快速滴注(20分钟内滴完),也可静脉注射袢利尿剂,如呋塞米和依他尼酸。
过度纠正低钠血症也可能会导致延髓中央溶解综合征、癫痫发作、纹状体综合征等疾病。有研究显示,中央髓鞘溶解综合征的发生是由于对血钠的过校正,而不是由于血钠纠正的速度导致的。

本文由小编摘自刘丽萍等主编的《重症脑血管病病例荟萃》一书,内容略有删减。

《重症脑血管病病例荟萃》共入选21例重症脑血管病病例,每个病例包括临床病情、影像学检查、重要的治疗过程及转归等基本信息,并邀请相关专业的国内知名专家做了精彩的点评,最后通过文献回顾的方式综述了与本病相关的研究进展。
《重症脑血管病病例荟萃》图文并茂、语言精练、实用性强,可供神经科医生参考。

刘丽萍,主任医师,教授,博士生导师。曾在美国斯坦福大学医学院卒中中心做博士后研究。主要研究方向为脑血管病急救及神经危重症。首都医科大学附属北京天坛医院神经病学中心神经重症医学科,是隶属于国家级重点学科北京天坛医院神经病学中心的主要亚专科之一。
科学出版社赛医学(sci_med)
科学出版社医药卫生分社订阅号