拔牙之后那个窟窿,牙医们叫它拔牙创。愈合肯定是会愈合的,那到底咋愈合的呢?拔牙窟窿有没有愈合得快慢好坏之分?
我们先看看正常情况下,拔牙后牙周组织生理变化:
拔牙窝在拔牙后 15 分钟内形成由红细胞和白细胞共同组成的初始血凝块;(为了避免引起不适,以下就用火锅材料说明啦)
↓

24 小时后,成纤维细胞开始长入血凝块内;
↓

拔牙后 4~5 天,血凝块开始机化,逐渐转化为肉芽组织,形成上皮条索和新生血管;
↓

3~5 周,拔牙窝根尖基底部形成编织骨,软组织完全覆盖创口表面并开始角化;
↓

2 个月后上皮角化已完成,骨小梁改建,有新骨形成;
↓

3~6 个月,重建过程基本完成,出现正常骨结构。
这是多数情况下的拔牙后恢复过程,就拿拔智齿来说,我们之前在拔智齿的最佳年龄一文也有提过,智齿萌出时间一般在 18 岁左右,此时期是智齿根尖尚未完全发育完或刚发育完成,智齿刚萌出时的牙周膜时牙周膜对智齿“抓”得还没那么牢固,再加上周围骨质较松,拔牙时骨阻力较少。医生拔得轻松,患者恢复得也快。
但大多数拔智齿的人,早已错过这个黄金时期。此时,不光拔牙会更困难,毕竟年轻人骨质富有韧性,比较好脱位,年龄稍长的患者已经没有年轻人牙齿的韧劲和弹性了,操作起来难度很大。

不光难,恢复得也相对较慢,当人体的骨骼系统发育定型后,牙槽骨基本依赖包裹它的牙龈组织来供养。
当牙龈老化萎缩后,对牙槽骨输送营养的能力日趋下降,牙槽骨也就随之萎缩变短,也就是“骨吸收现象”。
当然,这个时候拔牙也不必害怕恢复得不好,「位点保存」,了解一下~
什么是位点保存?

广义的“位点保存”即指拔牙术中或术后为减少牙槽骨吸收,促进牙槽窝内新骨形成所采取的一系列临床治疗方法。
Sclar 于 2004 年首次提出较为规范的拔牙位点保存技术,即在拔牙窝内植入异种骨粉颗粒,表面覆盖可吸收性胶原膜以修复牙槽骨缺损。
为什么需要位点保存?
牙槽骨是高度可塑性组织,是人体骨骼系统中最活跃的部分,它会随着牙的生长发育、脱落替换和咀嚼压力不断改建、变动。

拔牙之后,自然愈合的牙槽骨的体积会发生一定程度的减少,水平方向的宽度(颊舌向宽度)平均减少 3.8mm,垂直方向的高度平均减少 1.24mm。临床研究证明,运用位点保存技术可以减少这种萎缩。
骨板越薄,固有牙槽骨所占的比例越大;如果剩余骨板过于菲薄(通常为颊侧骨板),在拔牙后极有可能被完全吸收。
对于拔牙后的即刻种植,颊舌侧骨板厚度至少要有 2mm,如若不够,需以位点保存技术予以补充。
为了实现“以假乱真”的美学修复,种植体三维方向的定位有一个确切的范围,因此对种植区域骨的宽度、高度以及骨质都有严格的要求。
拔智齿需要做位点保存吗?
一般拔完是不用做植骨手术,本身内部牙槽骨质重建再生,牙槽窝慢慢会长平。
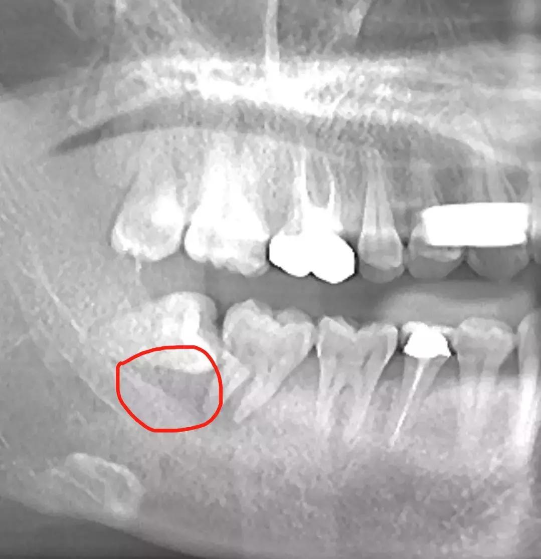
也有一些特殊情况发生,比如拔智齿的
年龄大于25周岁、邻接的第二磨牙远中牙槽骨吸收严重 ,这种考虑局部植骨是有好处的。↓下图红圈内的阴影部分就是已经严重吸收的牙槽骨了

位点保存的方法
GBR(guided bone regeneration引导骨再生技术):将生物膜固定在软组织和骨缺损之间,利用生物膜屏障阻止生长速度更快的上皮细胞和成纤维细胞长入,创造出骨组织优势生长的环境,成骨细胞优先进入骨缺损,无竞争生长。通常还配合骨缺损处的骨移植。

说人话就是:骨头缺损的地方呢就好比空着的“地盘”,牙龈、根周膜和牙槽骨都想占上,但是呢,软组织的细胞跑得快呀,骨组织的细胞跑得慢呀,怎么样能让骨组织给占上呢,招标。用招标的方式——生物膜把软组织隔开,把“地盘”圈起来,让骨细胞慢慢跑,都是骨细胞的。

那么,骨粉起啥作用呢?把骨细胞比作行进缓慢的步兵的话,骨粉好比工兵搭建的桥梁,可以帮助骨细胞跨越较大的缺口,直至抵达胜利的对岸。

生物膜除了能促进骨组织优势形成,还能防止植入物泄漏,协助创口封闭。
在牙槽嵴扩增术的众多技术中,GBR 是目前公认安全、有效、可靠的骨增量技术。
如果你拔了牙,但不需要做位点保存,想要恢复得好,常规的拔牙术后须知也要严格遵守哦~

拔牙术后须知
1、纱卷咬住 40 分钟 ,期间尽量不要讲话
2、复杂牙、下颌智齿拔除后冷敷24小时(注意防止冻伤)
3、拔牙2小时后可喝水,若无出血异常,可进食,温度不宜过高
4、24 小时之内不要刷牙、漱口 ,不可使用吸管
5、拔牙后三四天内少量渗血都是正常的,宜吞咽,不要反复吐口水
6、80% 以上的阻生智齿、复杂牙拔除术后都有程度不等的疼痛,可服用止痛药
7、下颌复杂牙拔除后有不同程度的术后肿胀,一般术后 48~72 小时肿胀最明显,之后会逐步消减
8、术后 24 小时以后要用软毛牙刷坚持刷牙,保持术区清洁更有利于伤口恢复,但不宜用力鼓漱
9、如有缝线,术后 5~7 天左右拆除。即便是可吸收线,多数不能 1~2 周内彻底吸收代谢掉,最好拆除
不管是你大龄需要拔智齿的朋友,还是拔牙后需要种植的朋友,抑或是为了正畸腾地方需要拔牙……都不必过分担心害怕,拔牙后的“窟窿”恢复起来没有想象中那么难(只是看着有点儿吓人而已,不要小看我们身体的恢复能力),而且还有像位点保存这种技术加持,该拔的智齿放心拔,该种植的牙安心种咯~