01、一家三口,您的膝关节
在“上下楼膝盖疼痛非小事”一文中,我对膝关节炎的早中期保守治疗作了深入浅出的介绍,在社会上引起了广大的反响。今天,为了更形象、更系统地介绍膝骨关节炎的阶梯治疗,特撰写此文。
膝关节是人体最复杂的关节,骨性结构包括股骨,胫骨及髌骨。我常常比喻膝关节的结构是“一家三口”,即同一个膝关节关节囊内包含三个关节面。一家三口理所当然是一个命运共同体,而三个关节面更是息息相关。哪个环节出了问题均会导致膝关节整体功能的下降。

1. 胫股内侧关节面;2. 胫股外侧关节面;3.髌股关节面
02、膝骨关节炎“查氏六法则”保守治疗精髓及实践
具体来说,膝骨关节炎的不同时期、不同关节面受损都有相应的治疗方法及手段,总的原则离不开最优化的阶梯治疗。对于膝骨关节炎这一退行性疾病,我们团队建立了长期的研究及随访系统,最早可以追溯到2009年的广东省内唯一的一项骨关节炎专病研究成果,即当年广东省科技进步三等奖。这是对我们团队在骨关节炎领域研究成果的认可,更是开启了国际化创新研究的模式。

近年来,根据长期的积累及多年临床经验,在国内多个关节会场的推广下,我致力挖掘的“查氏六法则”在早中期膝骨关节炎保守治疗中取得显著疗效,临床上患者的满意率较高。
关于查氏六法则,值得提醒及重视的是患者的依从性,这个对于治疗效果非常关键。对于患者,我经常说:“对于早中期骨关节炎患者的治疗,需要谨记16字精髓,即动静结合,筋骨并重,内外兼治,医患合作”。这里的医患合作就是患者依从性问题,对于骨关节炎的治疗并非一朝一夕能治愈。这如同鸡蛋孵小鸡需要一定的周期及时间,偷工减料或一蹴而就肯定达不到目的。
另外,我们团队对关节液也作了深入的分析研究。笼统来说,膝关节骨关节炎患者主要分为“干燥型”及“湿润型”两大类。顾名思义,“干燥型”,就是按照正规标准的膝关节腔穿刺手法,回吸未见或少量关节液。这类患者的疼痛往往因为缺乏关节液的润滑,磨损加重而导致疼痛。此时期的治疗,最佳方法当然是及时添加“润滑剂”,如关节腔内注射透明质酸钠。
一个简单的例子就是汽车没有机油了,得及时添加,这样不至于加速轴承的磨损。而透明质酸钠对于这类患者的治疗最为合适,就像久旱逢雨的稻穗,润物细无声。倘若长期缺乏关节液,软骨的磨损将加剧,且软骨营养的供应有限,则像农民种田,稻穗都干涸了,那就无力回天啦。



另外一类患者,我们可以发现,通过正规穿刺手法,回吸有1~1.5 ml左右的关节液,颜色由无色到淡黄到深黄,甚至到浑浊或夹杂血性液体(如下图)。关节液颜色的改变是软骨及滑膜等组织综合代谢的结果,意味着里面关节液成分的改变。如汽车的机油,时间用久了得重新更换,使得性能最优化。
这个时候,患者往往关注于两个问题。一是,我关节腔里面还有积液吗?对于这个问题广大患者朋友大可以放心,因为正常人膝关节腔中均有2~3ml关节液,以维持关节的营养及活动性。二是,往关节腔里注射润滑液好不好,是激素吗?这里的润滑液即是透明质酸钠,应当于激素区分开来。到目前为止,循证医学并未发现透明质酸钠具有副作用。

不同颜色的关节液
03、膝骨关节炎阶梯治疗体会
膝骨关节炎错过了最佳的保守治疗窗口期,理所当然,我们得遵守原则,根据疾病的严重程度、发病时间长短,采取阶梯治疗。
微创关节镜下清理术:主要适用于关节有游离体绞锁或半月板损伤,而关节磨损程度还不算严重的病人,需要指出的是关节镜手术对于严重骨性关节炎的病人效果并不理想。关节镜清理就像house-cleaning, cleaning-house,对关节来一次大扫除,可以及时清理磨损颗粒,去除加速关节软骨退变的不利因素。


截骨畸形矫正术(HTO):主要适用于关节退变程度轻,但关节内翻或外翻畸形明显的病人,这样的病人通过截骨矫正畸形,恢复关节正常的负重后疼痛会随之减轻。


微创单髁表面置换术:主要适用于中到重度关节磨损,但磨损尚且局限于胫股关节的前内侧间室、畸形较轻的病人(一家三口,只是一个人中招),单髁表面置换术手术相对较小,不改变关节的运动学方式,恢复快,效果好。因此,在临床上常见的一侧关节面的磨损往往单间室的微创关节成型手术。然而,这里说的微创并不只是临床手术切口的微小,而是指相对于全膝关节成型术而言。


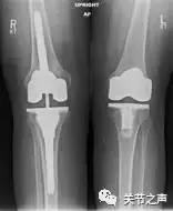
全膝关节表面置换术:适用于重度的关节磨损、严重的关节畸形的病人,全膝关节表面置换术到目前来讲是比较成熟的手术技术,而且也只是关节表面的置换,所以不必过分畏惧手术,但膝关节置换手术对手术技术和经验要求极高,尽可能找关节专业的医生做这样的手术。


当然,以上推荐的阶梯治疗只是对于膝关节炎治疗的笼统描述,因而对着患者来说,依葫芦画瓢是大忌。一旦发现膝关节疼痛及不适相关问题,及早去大医院的关节外科找专家咨询及治疗最为精准。