
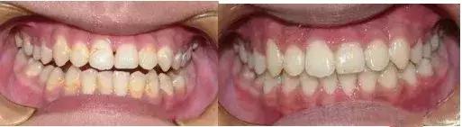
有些牙套*党**在做正畸治疗期间,牙齿上莫名其妙的出现一些白垩色的斑斑驳驳的小点,显得特别丑,这些斑斑驳驳的小点,就是牙齿脱矿,是肉眼所能见到的最小的龋病状态,是龋齿的千兆,不少人会认为这是因为做了正畸治疗才引起的,其实不然,正畸本身没有问题,牙齿脱矿是因为在矫正期间缺乏措施,没有好好护理口腔卫生才会出现的不良后果。

什么是牙齿"脱矿"?
人的牙齿表面有一层坚硬的牙釉质,起到保护牙齿的作用,由于不良的生活习惯,会导致这层牙釉质脱矿,因而使牙齿色泽逐渐改变,出现呈白色或微黄的小斑块,这就是"脱矿",牙齿"脱矿",最显著的特征就是牙齿颜色变白,若不及时处理,进一步发展的话,最终可形成牙齿龋坏,也是我们常说的"虫牙".

正畸治疗并非釉质脱矿直接原因
正畸治疗并非导致釉质脱矿、牙周损害和龋齿的直接原因,正畸治疗期间牙齿缺乏有效的清洁和防治措施才是出现"脱矿"白斑的主要原因所在。
由于矫治器的形状和安装方式,固定矫治中的弓丝与其他整齐附件的增加妨碍了牙齿的清洁,口内大量细菌繁殖,分解食物残渣等营养物质而产生的酸和毒素就会溶解破坏釉质里的钙和磷离子,早期表现为釉质表面粗糙,透明度显著下降变成灰白色,及所谓的牙齿"脱矿",因此,在正畸治疗期间需要格外注意认真刷牙,并配合使用牙线、冲牙器、高浓度氟牙膏、护牙素、定期洗牙样样不能少。

冲牙器能有效清除牙间隙残留
已出现"脱矿"白斑怎么办?
已出现"脱矿"白斑也不用害怕,牙釉质脱矿会随着时间的延长有所减缓,正畸后的牙釉质脱矿其实在拆除矫治器后半年能会有改善得比较快,之后再矿化还是持续的发生着,只不过速度会比较慢。
出现脱矿白斑的症状,一般会采取专业的治疗和自我保健相结合的方式促进牙齿再钙化
专业的治疗:对牙齿表面进行清洁,机械性地去除生物膜,使用氟化物的制剂
自我口腔保健:使用含氟牙膏、护牙素

就算没有氟化物,再钙化也是会发生的,但是利用氟化物再钙化的牙釉质对比脱矿前的牙釉质,对酸的抵抗力增强原来的两倍,另一方面,已经形成缺失的蛀牙是不能自动修复的,必须要采用复合树脂、渗透树脂等填充物进行处理。

如何杜绝牙齿"脱矿"?
如想杜绝牙齿"脱矿现象",有条件的正畸患者可以选择无托槽隐形矫治器,无托槽隐形矫治器光滑的表面,佩戴舒适,尽量免除矫治牙齿期间引起的口腔磨损和不适。在进食及刷牙时,您只须自行除形牙套,便可自由饮食、饮食完毕之后彻底清洁牙齿及使用牙线,时刻保持口腔清洁。

如果固定矫治器的治疗,口腔护理就变得尤为重要
首先,要注意饮食,不要吃需要"啃"或"嗑"的食物,不能吃太黏的食物,如果进食时不注意,可能会造成矫治器的脱落或损坏,增加复诊的次数和费用。
期次,要多注意保护口腔清洁卫生,除了要做到"早晚刷牙、饭后漱口",有条件的话,还应使用专业的护牙器械如:正畸专用牙刷、牙缝刷、冲牙器和护牙剂进行护牙
此外,在正畸的过程中,一定要遵守医生的嘱咐,定期到医院检查、调整矫治力度、更换钢丝、戴橡皮圈等。

正畸是人生中的一个重要转折点,做好口腔清洁,杜绝矫正后脱矿白斑,才能真正收获一口好牙和自信的未来。