江苏省人民医院肿瘤中心
•江苏省“十一五”肿瘤学重点专科
•江苏省“兴卫工程”高技术平台培育点
•卫生部第一批癌痛规范化治疗示范病房
•卫生部“高强度聚焦超声技术治疗肿瘤综合评价”培育点
•肿瘤学实验室为江苏省135重点实验室
0
1
主治医生:徐同鹏、束永前
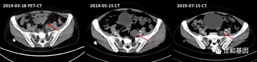
晚期膀胱尿路上皮癌病例:安罗替尼+多西他赛治疗,影像学部分缓解(PR)
男,54岁,膀胱癌术后5年,多发淋巴结转移
入选理由
GC方案为尿路上皮癌首选一线方案,有效率约50%,该患者一线GC方案3周期评估疗效SD。NGS检测提示TMB-H,该患者第4周期加用PD1单抗治疗,出现超进展。后改用安罗替尼+多西他赛(靶向联合化疗)治疗,取得非常好的效果,为安罗替尼在尿路上皮癌的治疗提供了良好的病历资料。
病史
- 2013年10月,行经尿道膀胱病变切除术。病理:(膀胱)浸润性尿路上皮癌,低级别,建议行膀胱癌根治术。患者及家属商量后决定暂不行手术治疗。
- 2018年12月,CT:两侧腹股沟多发肿大淋巴结。排除禁忌后行右侧腹股沟淋巴结穿刺活检,病理:(右腹股沟淋巴结)倾向膀胱尿路上皮癌转移。NGS检测:APC、EGFR(p.Ser511Phe)、ERBB2、MET、PIK3CA、STAT2/3等基因突变;TMB为40.28mut/Mb。
治疗过程
- 2019年1月,吉西他滨1.6d1、8+顺铂40mgd1-3(GC)方案化疗3程,评估疗效SD;
- 2019年3月,拓益(PD1单抗)240mg+吉西他滨1.6d1、8+顺铂40mgd1-3方案1次,评估疗效:超进展(腹膜后及腹股沟淋巴结明显增大,阴囊压迫性水肿);
- 2019年4月,多西他赛100mgd1+安罗替尼8mgd1-14,21d/cycle,治疗4程,复查CT:腹股沟等处淋巴结明显缩小,疗效评价PR。

左:治疗前CT(双侧肾上腺区、腹主动脉旁多发转移淋巴结,红色箭头标记)
右:治疗后CT(转移灶明显缩小)

0
2
主治医生:崔诗允、束永前
晚期子宫内膜癌病例:帕博利珠单抗+多西他赛+卡铂
女,57岁,子宫内膜癌术后8个月发生转移
入选理由
子宫内膜癌按分子特征分为四类:POLE突变(7%)、MSI-H(30%)、拷贝数低(65%)、拷贝数高(26%)。其中POLE突变和MSI-H型对免疫治疗反应良好。Pembrolizumab(帕博利珠单抗)被FDA批准用于治疗MSI-H或MMR缺失的实体瘤,包括子宫内膜癌。但晚期子宫内膜癌一线免疫治疗尚无足够证据。
该患者术后复发,肿瘤标志物明显升高,提示肿瘤恶性程度较高。PD-L1表达阳性,提示免疫治疗可能有效。使用Pembrolizumab联合化疗治疗,2周期后CT提示病灶增大,但患者症状明显改善,肿瘤标志物明显下降,考虑假性进展,继续原方案治疗。4周期后CT结果显示病灶明显缩小,提示治疗有效。该病例提示:免疫治疗联合化疗一线治疗PD-L1阳性的晚期子宫内膜癌患者可有良好获益。
病史
- 2018年11月,盆腔MRI:宫腔内膜异常信号,子宫内膜癌,侵犯浅肌层可能。行手术,术后未予治疗。病理:子宫下段子宫内膜内膜样腺癌(高分化),约1.0*0.8cm,侵及肌壁约0.3cm(<1/2全层),未见转移癌,分期:pT1aN0M0。
- 2019年3月,PET-CT:左侧髂血管旁淋巴结肿大,FDG代谢增高,考虑淋巴结转移。双肺上叶多枚类圆形磨玻璃结节,考虑良性病变可能。NGS检测:KRAS、PIK3CA等基因突变;TMB-L,MSS型,PD-L1阳性(TPS≥10%)。
治疗过程
- 2019年3-7月,“帕博利珠单抗 200mgd1+多西他赛120mgd1+卡铂450mgd2”方案化疗6周期。2周期后复查CT评估病情进展(PD),但患者一般情况明显好转,肿瘤标志物明显下降,继续原方案治疗。4周期后复查CT病灶明显缩小。


治疗前后肿瘤标志物变化

治疗前后CT变化

0
3
主治医生:许佳丽、束永前
晚期肝癌病例:帕博利珠单抗+仑伐替尼,影像学部分缓解(PR)
女,55岁,肝癌术后8年复发
入选理由
仑伐替尼是多靶点酪氨酸激酶*制剂抑**,靶向VEGFR1-3、FGFR1-4、PDFGR-α、RET和KIT,仑伐替尼获批用于晚期肝细胞癌HCC一线治疗。抗PD-1抗体帕博利珠单抗获FDA批准用于多种实体瘤,包括HCC二线治疗。2019年AACR上,一项关于帕博利珠单抗联合仑伐替尼治疗不可切除肝细胞癌的安全性和疗效的研究结果显示,30例患者纳入分析,联合疗法达到了50%有效率和93.3%控制率,中位PFS(无进展生存期)为9.7个月。
该患者为肝癌晚期,肿瘤负荷大,肝脏多发占位和转移,伴有肝硬化门静脉高压,治疗风险极大。两周期“帕博利珠单抗联合仑伐替尼”治疗后,评估疗效PR。该案例提示:晚期HCC患者,PD-1*制剂抑**联合多靶点*制剂抑**的治疗方案显示出良好的疗效。
病史
- 40年肝炎史,未行抗病毒治疗
- 2011年4月,行“肝右叶部分切除+粘连松解术”,术后行TACE。病理:肝右叶中分化肝细胞癌,周围肝组织结节性肝硬化。
- 2019年5月,胸腹CT:肝脏CA术后改变。肝脏左叶多发占位,考虑CA复发、肝内转移;右心房较大癌栓,门静脉左支少许癌栓或血栓可能,腹主动脉前方多发肿大淋巴结,两肺多发转移。两侧胸腔积液伴右肺下叶局部膨胀不全。
治疗过程
- 与心内科、介入科、消化科等会诊,无法行介入治疗,患者拒绝胃镜检查。NGS检测:外周血bTMB为11.5mut/Mb。
- 2019年6月,“帕博利珠单抗200mg+仑伐替尼8mg po qd”联合治疗。患者一般状况明显好转,无咯血、呕血,食纳睡眠可,体腹平软,肝脏肋下未及。两周期后复查CT提示肝脏病灶及右心房癌栓明显缩小,评估疗效PR。

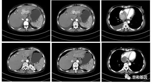
上:治疗前CT(2019-06-26)
下:治疗后CT(2019-08-13)肝脏病灶及右心房癌栓明显缩小

0
4
主治医生:徐同鹏、束永前
晚期胆囊癌病例:奥沙利铂+氟尿嘧啶类化合物化疗,影像学部分缓解(PR)
女,56岁,胆囊癌术后1年肝转移1月余
入选理由
该患者奥沙利铂+氟尿嘧啶类化合物化疗5周期后影像学达到大PR。晚期胆道系统肿瘤一线标准治疗是吉西他滨+铂类化合物的化疗方案。最常用吉西他滨+顺铂(GP),其次为吉西他滨+奥沙利铂(GEMOX)。韩国近期一项3期临床试验证实卡培他滨联合奥沙利铂(XELOX)与GEMOX具有同等有效性,可作为晚期胆道癌一线化疗。该患者选择奥沙利铂+氟尿嘧啶类化合物一线化疗,取得非常好的效果,若进展可选用吉西他滨。
病史
- 2018年5月,行“腹腔镜下胆囊癌根治术”。病理:(胆囊)混合性腺神经内分泌癌,腺癌为中分化腺癌,神经内分泌癌为小细胞癌。术后口服中药,间断口服希罗达(具体不详),胸腹盆CT:肝脏多发转移瘤,肝门部、右肾前间隙、腹膜后多发淋巴结转移。
治疗过程
- 2018年12月,mFOLFOX6方案化疗2程(奥沙利铂120mgd+5-FU 0.5g静注,3gCIV维持46h+亚叶酸钙0.2gd1);
- 2019年2月,SOX方案化疗5周期(奥沙利铂150mgd1+替吉奥40mgd1-14 bid),2周期、5周期化疗后复查CT提示肝脏及后腹膜淋巴结较前明显缩小,评估疗效PR。

左:治疗前CT(肝脏多发转移瘤,红色箭头标记)
右:治疗后CT(肝脏转移瘤消失)
