50多岁的A女士来到医院,惊讶地发现尿液呈鲜红色,她说自己过去曾有过膀胱感染,但排尿时没有感觉到任何不适或疼痛。 在某些情况下,原因尚不清楚,但可能是膀胱癌。

膀胱癌的发病率是男性的三到四倍,并且与吸烟密切相关;A女士完全没有吸烟史,她的泌尿科医生告诉她,没有吸烟史的女性患者很少。 有吸烟史会增加患膀胱癌的风险,即使许多人现在已经戒烟。
A女士只见过一次血尿,而她就诊时的检查已经显示没有血尿。 她似乎对看泌尿科医生犹豫不决,因为她没有任何症状,但我建议她去,并把她介绍给泌尿科医生。
内窥镜手术在早期阶段
泌尿科医生做了尿液细胞学检查和膀胱镜检查,即通过尿道对膀胱进行内窥镜检查,并发现了早期膀胱癌。 幸运的是,它被发现得足够早,可以通过内窥镜手术进行治疗,即通过尿道插入内窥镜来切除粘膜。 然而,膀胱癌经常复发,因此定期随访是必不可少的。 为防止复发,可将牛结核病(BCG)--一种牛型弱毒结核杆菌--注射到膀胱。
不要留下任何一个血尿样本而不加处理
大约10%的妇女在体检中会被发现尿液中有隐形血迹。 这些病例中很少有需要治疗的,一旦在彻底检查后被告知没有问题,如果病情的程度没有变化,就没有什么可担心的。 然而,如果尿液的显微镜检查显示红细胞的数量增加,可能需要进一步检查。 另外,如果你像A女士那样自己发现血尿而没有任何疼痛或其他症状,你不应该不加治疗,即使只有一次。 正如我一有机会就说,在癌症的早期阶段,通常没有痛苦的症状。 请不要忽视哪怕是最轻微的变化,请咨询你的家庭医生。

世界卫生组织在新的报告中,对世界各国的医疗体系进行了综合比较。
日本因为“高品质的医疗服务”和“医疗负担的平等程度”、“国民平均寿命高”等原因再次蝉联一位。
这个排名,很大程度取决于日本完善的“精密体检”体系。
日本精密体检

什么是日本精密体检?
日本精密体检(人間ドックNigenDock)是指以不管有无自觉症状,定期地通过CT,MRI,超声波等精密仪器,对身体各部位进行的一种精密检查。主要目的是为了检查癌症,其次是各种生活习惯病。它是一项对自我近期健康度检测的重要标准。
检查对象主要分胃、肝脏、肺、肠、心脏、血压、糖尿病、前列腺、甲状腺、子宫、乳房、卵巢等、检查项目多种多样。部分项目的检查需要前一天晚上开始控制饮食,具体内容需要与医院事先确认。精密体检Ningen Dock是日本最标准的癌症检查手段,每年大约有200多万人接受检查。

精密体检为什么去日本
1、彻底排除筛查癌症,以及可能危及生命的重大疾病,如脑血管、心血管、糖尿病等让客户了解自己的健康状况。
2、通过早发现早治疗,挽救生命。就现在世界医疗水平来说,早期治疗是挽救癌症病人生命的关键。而早期治疗必须建立在早期发现的基础上。日本30年成功防癌的经验告诉我们,定期专业的癌症检查是人类现今抵御癌症的最佳方法。
3、最后也是最重要的,日本对早初期癌细胞检测能力世界第一,日本开创了精密防癌检查新时代,日本是全世界癌症防治最先进的国家。在日本进行国际最尖端的早期防癌健康检查,能发现和筛查已知的300多种癌症,能最大程度给生命以保障。

日本精密体检项目

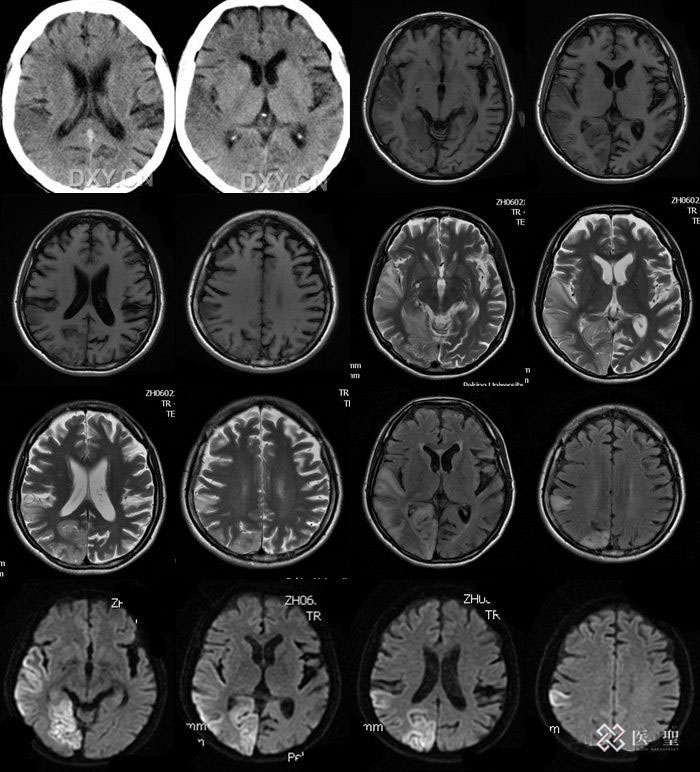
头颅mr影像
脑精密检查:头部MRI・MRA、颈部MRA,可发现造成蛛网膜下腔出血原因的动脉瘤,检查是否有较小的脑梗塞病灶,通过磁场产生图像,人体不会受到放射线的辐射。颈动脉超声波检查,可以发现动脉硬化的进展及管壁的肥厚和狭窄的情况。

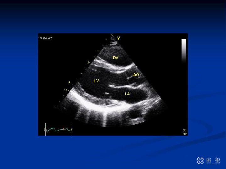
心脏超声波影像
心脏精密检查:心脏超声波检查,通过超声波观察心脏活动的检查;颈动脉超声波检查进行颈动脉成像的检查;PWV(脉搏波传播速度)检查传播到动脉的脉搏波的速度;BNP是从心脏分泌出的一种激素,心脏负担加重时呈高值,可以找出心电图检查无法查到的心脏疾病。

PET-CT
肺部精密检查:痰液细胞学检查、胸部CT检查、PET-CT,主要目的是早期肺癌的发现。
肝脏精密检查:除常规测定的肝胆道分泌的酶之外,还进行纤维化标志物、有关免疫等的检查,本项精密检查除以上多种血液检查之外,还检测肝脏的硬度。
胰腺精密检查:通过MRI检查可拍摄到胰腺分泌的消化液在主胰管中的流动状况。有肿瘤的话,大多就会引起胰管的变化,若主胰管变窄或显示扩张,就需要做进一步的精密检查。

大肠精密检查:大肠内窥镜检查,是从肛门插入内窥镜,直接观察大肠粘膜,为当前诊断早期大肠癌最可信赖的检查法。不单是大肠癌,也是发现溃疡和息肉的有效检查。
妇科精密检查:宫体部内膜细胞学检查,刮片检查就是用采集细胞的器具插入子宫深处取出细胞进行检查;乳房精密检查(外科诊察、乳腺钼靶、乳房超声波检查),使用X光的乳腺钼靶与乳房超声波检查,发现触诊难以发现的小乳癌灶。
骨骼精密检查:骨盐定量检查、骨代谢标志物,目的就是测定骨骼中钙含量,起到预防骨质疏松症的作用,并且,测定骨骼代谢标志物,掌握目前骨骼的代谢状况,一旦患上骨质疏松症时则可对症选择合适的治疗方案。

据日本国立癌症研究中心发布的《2008-2009年5年生存率结果》显示,日本在10年前的整体癌症5年生存率,就达到了65.8%,这个数据即便在全球范围也十分卓越。
长期以来,日本的医疗机构秉持 “提供高质量医疗服务”、“尊重客户的尊严和隐私”、“给予客户充分、清楚的说明”、“尊重客户选择的自由”以及“守护客户健康生活”的五大理念,给予客户更好的就医体验。
发现问题后, 还可以快速集合院内各科室专家进行会诊,跟进客户后续治疗,让客户全程无后顾之忧。
关注我们,带你了解更多干细胞再生前沿资讯,私信获取更多信息。
