大家都知道,CT是作为脑血管疾病的主要检查手段,可以快速的发现脑出血,如果是急性脑梗塞,CT虽然不显示,可以做核磁共振,DWI可以很快做出诊断。
但是什么情况都会有例外,尤其是医学领域,到了神经内科这一块,很多情况下,医学显得那么苍白无力。
男性,56岁,发热一天,右侧肢体无力14小时。
上午,病人发现流鼻涕,没有治疗,吃午饭的时候,感觉胃里不舒服,饭后不一会,恶心呕吐。
到村医处就诊,测体温37.5度,注射感冒针(药物不详),下午三点多,口服感冒药,又吐。
病人休息到下午六点,起床后发觉右侧肢体无力,提茶壶都费劲。
因为害怕晚上不好找医生,也没有去医院。
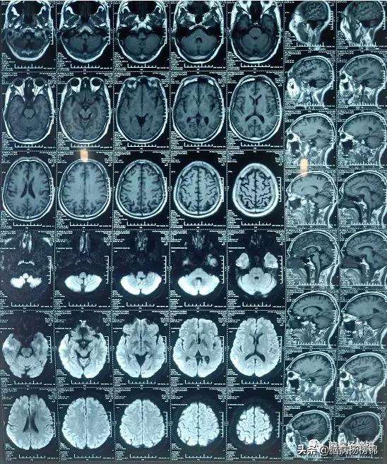
第二天上午,病人来到我院脑病科,错过溶栓时间段,建议做DWI

核磁共振平扫正常。

血管成像正常。
为什么病人右侧肢体无力不缓解?

嘴不歪,眼不斜,右侧肢体肌力4级,右侧偏身感觉减退。右下肢病理征弱阳性。

心电图:窦性心动过速。可能是低热引起。

血小板有点高,同型半胱氨酸也高。

脑梗塞的危险因素存在。
病人发热用退热药,会导致水分不足,加上呕吐两次,又没有及时补充体液,会导致脑部血液低灌注,引起脑梗塞。
看病不能生搬硬套,只要有偏瘫症状,就不能过于迷信影像检查,立即对症处理,抗栓治疗。
第二天查房,病情稳定,症状没有加重。
第四天查房,病人无力症状减轻,仍感觉麻木,继续抗栓治疗。
今天治疗已经六天,无力症状明显好转。

启示:
- 发芽的红薯和马铃薯不能吃,霉变的甘蔗也不要吃,都会引起中毒。
- 身体不舒服,赶快去医院看看,千万不能等,尤其是类似中风的症状。
- 不要害怕晚上没有医生,正规医院的夜班室都是24小时值班。
- 卫生院没有急诊科,可以直接去住院部。
- 如果有中风症状,直接去有溶栓条件的医院,或者拨打“120”.
- 二级以上医院都具备溶栓条件,千万不要在其它地方耽误。
欢迎博士和教授斧正!