
说到结核,估计绝大多数人只知道肺结核,因为肺结核的发病率最高。但是,结核杆菌因其太过强大,以至于除了肺之外,也会出现在身体的其他器官和组织。根据2011年WHO数据,中国结核病发病率为75/10万人,死亡率为3.5/10万人。然而,泌尿生殖系统结核是最常见的肺外结核病之一,其中尤以肾结核多见。那么这个泌尿系统的结核是怎么来的呢?最常见原因还是患肺结核后通过血液播散所致。
结核病的病程都是比较长,对组织的破坏也是相对缓慢地停停走走的一直存在,所以,初期一般不容易被发现。特别是泌尿系统结核,全身症状多不明显,像平时说的规律性午后低热基本很少见到,只有当肾组织破坏严重,肾脏积脓或严重的膀胱结核时会表现出如消瘦、乏力、发热、盗汗等症状。
多数泌尿系统结核呈现下尿路的症状,最常见的就是尿频,开始时夜尿增多,排尿次数逐渐增加,排尿时候伴有尿急和灼热感。这是因为肾脏结核后产生的尿液里面有脓细胞、坏死组织、结核杆菌,会对膀胱产生刺激和扩散。有的时候也会伴有血尿,多以终末血尿多见(就是排尿快结束的时候出现的血尿)。当膀胱粘膜被持续破坏后,膀胱会产生纤维化的修复,这个时候膀胱弹性消失、容量缩小,甚至所能容装尿液不足50ml,就会表现为极为严重的尿频、尿急、甚至尿*禁失**。
临床上还会出现这样一种表现。刚开始有明显的尿频、尿急这些症状,一段时间后自己突然好转了。那么这种情况呢并非病情好转了,而是肾脏被破坏后产生的干酪样坏死组织堵塞了输尿管,导致含有刺激物的尿液无法流入膀胱,从而减轻了对膀胱刺激所致。这种情况被称为“肾自截”,这个时候对肾脏的破坏持续存在,但容易被人误以为病好了。
看到这里,是不是觉得这个泌尿系统结核没有什么很特别的表现?尿频、尿急、血尿,很多其他疾病也会导致这些症状呀?是的,正是因为这些因素,才容易被漏诊。所以,一定要养成定期体检的习惯,有问题,早发现早治疗。说到了发现,就来说说这个病的诊断。
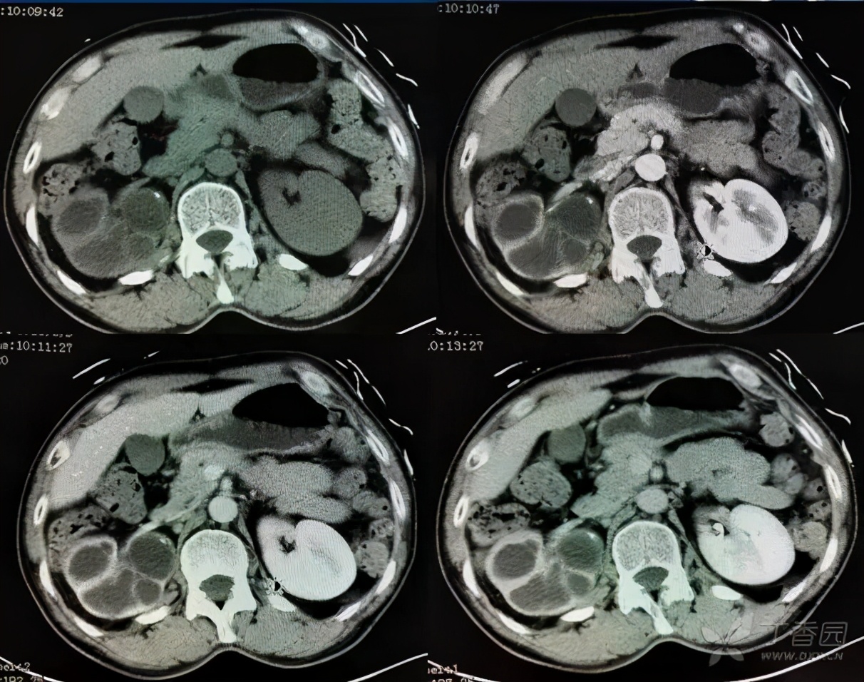
泌尿系结核、肾结核,真的不是那么容易做出诊断的。当怀疑是结核时,就需要反复留取尿液看看能否抓到证据,最直接的证据就是尿结核杆菌培养阳性。但是结核杆菌的培养和普通细菌培养不同,阳性率低。除此之外,还有一些其他的简介证据,比如结核菌素实验、结核抗体、结核T细胞免疫反应实验等等。除此之外,影像学检查也是非常重要,肾结核最典型的表现是“调色板”样的改变。

图片源自网络,侵权请联系
一旦确诊,首先就需要进行抗结核治疗,早期、规律、联合、适量、全程地使用抗结核药物。很多时候,发现有问题去检查,已经是较晚的时候了,肾脏功能损坏严重,需要手术切除患肾。一般是在用药2-4周后手术,手术结束后再继续用药6-9个月。除此之外还有一些并发症的处理,比如一侧肾结核、另外一侧肾积水等,需要根据情况具体分析。这里就不赘述了。
泌尿系统结核不常见,但也绝不是罕见,发病隐匿,危害巨大。定期体检,早发现问题,早治疗问题。这才是我想表达的主要思想。最后祝大家生活愉快。
想了解更多的相关知识,让你的生活更加健康多彩吗?请关注我吧!