——刘建文/文河南省人民医院综合介入科;梁宝松/文 河南省人民医院消化内科
这样的治疗让你做原装的女人
正值新冠肺炎肆虐期间,今天轮到我的周日门诊,所以,我必须赶在上班前,先来到病房查房,处理好病房患者的日常事务,然后再去门诊坐诊。
就在病房查房的时候,我碰到昨晚值夜班的李辉主任,只见他全副武装,口罩、帽子、护目镜、一次性隔离衣、手套等,正要前往急诊抢救间急会诊,他告诉我,那是一例本市33岁的女性患者,宫颈癌放化疗后大出血!出血量太大,不好收拾!

这个患者确诊宫颈鳞癌已经有11个月了,进行了多次化疗,半年前还做了放射治疗,今晨5点多突发阴道大出血,量约600ml,7点到我院急诊科求治,急诊那里的医生已经紧急应用止血药、做了阴道填塞治疗,但是患者的血色素仍然在进行性下降,现在血红蛋白仅剩54g/L。
经过查看,患者贫血貌,精神差,四肢末梢湿冷。考虑是肿瘤侵犯血管,导致血管破裂引起的大出血,失血性休克,病情凶险!李辉主任和今天值班的方水龙医师按医院的新冠肺炎院感相关规章制度,积极完善术前检查,新冠肺炎流行病学调查,完善“新冠”排除检查,排除了新冠肺炎,因为大出血失血性休克,需要紧急介入治疗,患者也没有手术禁忌证,所以,一边继续积极止血,一边与家属签署手术协议书,同时通知导管室做好急诊手术准备。


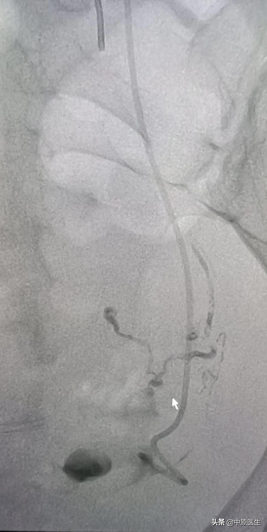
我处理好门诊事宜,十点赶往导管室,按标准预防做好术前防护、术前准备工作。在导管室的护士、技师等积极配合下,手术顺利开展,造影显示左侧子宫动脉近宫颈处有一破口、形成假性动脉瘤,假性动脉瘤破溃,造影剂快速流入宫腔内(相当于找到了河流的决口处);紧急用生物胶栓塞该破口及其远、近端血管(相当于堵住了决口及其上下游,上游流不进来、下游的倒灌不了),复查造影未见造影剂外渗、动脉瘤、静脉早显等异常血管影(成功止血)。然后选择双侧髂内动脉各分支造影未见明显异常血管,再予右侧子宫动脉栓塞。半小时顺利完成手术,病人生命体征平稳。安全送回病房,继续药物治疗。



子宫动脉栓塞术是治疗妇产科疾病常用技术,美国前国务卿赖斯曾因子宫肌瘤行子宫动脉栓塞术。具体操作是在DSA等影像设备引导下,局部麻醉,从大腿根部的股动脉穿刺、约一米粒大小的针眼,送入直径约2mm的导管到达病灶供血动脉,利用栓塞颗粒、微弹簧圈、生物胶等栓塞材料阻断病变的供血血管,达到止血和/或使病变缺少营养,继而坏死、萎缩缩小。DSA的火眼金睛可使出血动脉和肿瘤供血动脉无处可逃,这样的栓塞治疗,具有疗效确切、创伤小、无切口、恢复快、复发率低、可保留子宫的优点,这样的治疗,可以让女人保留原装子宫、做完美的女人!(本号总顾问梁宝松教授,1984年毕业于河南医科大学本科,河南省人民医院消化内科主任医师 教授)