我是为您科普的快问君,点击关注,快问君将为您和家人的健康保驾护航哦!

隔壁老张感冒1周痊愈,你1个月还没有好?
感冒到底多久好算正常?
看情况!
大部分疾病都有病程,普通感冒是7天左右,部分免疫力较弱的人会持续2周甚至以上。
若不是普通感冒,比如传染性跟致病性较强的流感,这一次的新型肺炎,都属于比较强的致病原,那么治愈的时间就更加长。
如果普通感冒转化成其他疾病,比如:
- 感冒引发的病毒性心肌炎
- 病毒性脑炎
- 病毒性肺炎
- 或者急性化脓性扁桃体炎
- 脓毒血症
- 多器官功能衰竭
那么,这个“感冒”的治愈时间就要另外算了,并发症好了,才算真正好。

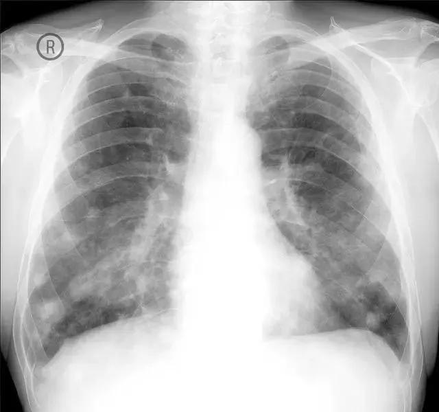
感冒引起的肺部感染
为什么每次感冒,迁延不愈的总是我?
非常不幸听到这个消息,但是为什么每次感冒,迁延不愈的总是你?这真的是你自身的原因啊!
- 感冒后没有保证足够的睡眠时间
- 没有保证足够的清淡饮食
- 没有减少自己的思虑跟欲望
不要小瞧这些“没用”的建议,这往往就是别人跟你拉开距离的真正原因。

保证足够的睡眠
打白蛋白,吃蛋*粉白**增强抵抗力?
真的别去花那个钱,有那个钱有那个时间,上市场买几条排骨回家清蒸都比这个强啊!
医学上,白蛋白、免疫球蛋白是什么人适合用的?
重度感染、休克、重度营养不良恶病质、免疫缺陷的病人。
请注意,这里说的免疫缺陷病人,不是说你感冒2周没有好你就免疫缺陷,而是指自身免疫性疾病,系统性红斑狼疮、类风湿关节炎等。
请自行联想那些肿瘤晚期骨瘦如柴或者全身浮肿的病人,或者联想在ICU上着呼吸机的病人,我们不是这类病人,随便使用白蛋白只会加重肾脏排泄的负担。

恶病质病人
为什么那么多人每年没事打两瓶?
被商家忽悠的,你想想,若是白蛋白这么好,医院怎么不给你打?人血白蛋白的半衰期才15-20天左右,打这一两瓶想顶上一年两年,这不是被人坑了交“智商税”是啥?
中医中药寻找提高免疫力的突破口
中医中药不是直接帮你提高免疫力,而是提高你的“正气”,“正气存内,邪不可干”。中医是讲究阴阳平衡的医学,阴阳你可以不懂,平衡总是可以理解的。
中医常见的体质有9种:阳虚体质、阴虚体质、气虚体质、痰湿体质、湿热体质、血瘀体质、特禀体质、气郁体质、平和体质。
除了平和体质之外,其他8种体质都处在一个“阴阳失衡”的状态中,如果能够调理好体质,把自身的体质调理到趋向于“平和质”,那么,小毛小病就会远离你啦!

9种体质一览图
我们不直接杀死致病原,我们改变致病原居住的环境,它喜欢湿润,我们保持干燥,它喜欢干燥,我们保持湿润。走敌人的路,让敌人无路可走,这便是中医中药治病的原理,这才是预防感冒的最佳方法。
能帮你挡住普通病邪的名方
说到能到调节免疫力的中药名方,当属:玉屏风。
玉屏风作为中药名方收载于《中国药典》,据元代医家危亦林所著的《世医得效方》记载,“功效敛汗固表”,是体质虚弱者预防感冒等感染性疾病的第一良方。
研究表明,玉屏风散具有调节人体免疫力之功效,有中成药中的“两种球蛋白”美称,现代临床在内、外、妇、儿等各科疾病中得到广泛的应用。
#她健康计划# #清风计划#