要过年了,来点正能量,提提气,看一波治愈的癌症病人,有些不是早期的。
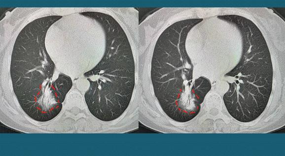
病例1,中年女性,3.3cm肺癌
这位女士没有咳嗽症状,因为后背闷痛2周,脊柱外科医生给开了肺部CT,结果发现肺癌:

肿瘤呈混合磨玻璃结节,直径3.3cm,内部课件支气管充气征(通常提示分化较好),边缘可见毛刺和胸膜牵拉,胸腔镜手术,病理是浸润性肺腺癌。
已经3年半了,前天回来复查恢复很好:

很多肺癌早期表现为肺结节,以腺癌居多,可以呈磨玻璃结节或实性结节、亚实性结节,及时发现可以治愈。据国内某些大数据统计,高危人群发生肺癌的几率>1.5%,通过胸部螺旋CT体检可以获益。
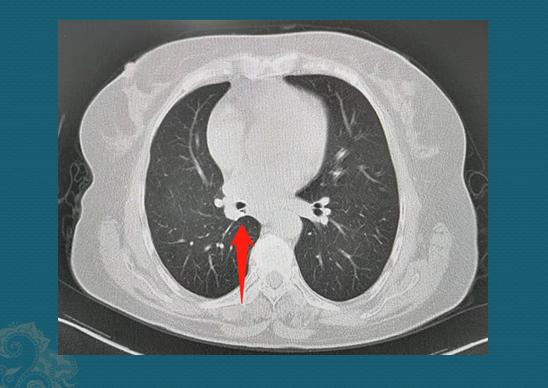
病例2,一辆开到沟里的三轮车
这位老爷子比较幸福,儿子给买了一辆代步三轮车,没事开着出去兜兜风,拐弯时没控制好方向,翻沟里了,肋骨受到挤压,做了CT:

肋骨没有骨折,但左肺长肿瘤了,大约1.8cm的混合磨玻璃结节,伴有胸膜牵拉。精准一点来说,有两个重要特点:
1.结节边缘清晰,是比较淡的磨玻璃影,偏外侧有不规则的白色实性成分,属于混合磨玻璃结节;
2.结节外侧伴有胸膜牵拉。
以上两条就符合一个定律:边界清晰的混合磨玻璃结节伴有胸膜牵拉,诊断肺癌极少错误(多为肺腺癌),甚至不需要穿刺取病理。老爷子半年前做了胸腔镜手术,病理是浸润性肺腺癌,未侵犯壁层胸膜。这种情况五年生存率极高!
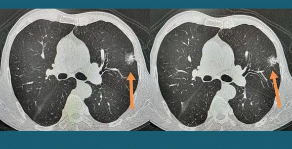
病例3,前列腺肥大、小便困难手术前查体,发现肺癌
这位老爷子77岁,小便困难半年多,逐渐加重,确诊前列腺肥大准备手术,术前查体发现肺癌:

这个肿瘤表现为实性结节,有分叶和毛刺,并牵拉临近胸膜,具备典型的恶性征象。
老人先做了前列腺手术解决小便问题,又采用胸腔镜微创切除了肺肿瘤,病理是浸润性肺腺癌伴粘液腺癌,未见神经及胸膜转移。
这位老爷子还需要密切观察,防范复发。
通过上面3个病例,我们可以发现肺癌早期症状不典型,有些人甚至没有任何症状。没症状的只能靠体检发现,有小症状的,假如短期不缓解,要重视起来!我们下面梳理一些常见的早期信号,希望引起中老年人群的重视!

身体患癌早期,常见哪些信号?
1.肺癌:刺激性干咳(可以有少量痰)、痰中带血丝、胸闷、新出现的胸背疼,
在所有的癌症中,肺癌是最常见的,根据2015年的统计数据,一年内大约有70多万新诊断的肺癌病人,要重视早期症状、重视胸部健康体检。痰中带血丝和胸闷是比较常见的肺癌早期症状,因为癌细胞可以破坏肺部小血管和牵拉胸膜神经,引起少量出血。
2.胃癌:反复腹胀腹痛、间断性大便发黑、体重减轻。
3.肝癌:不明原因腹胀、右上腹闷胀、食欲差、乏力、巩膜黄染(白眼球发黄)。
4.乳腺癌:乳腺摸到无痛性小硬结,质地较硬。
5.脑胶质瘤:头疼头疼、健忘等。
6.结直肠癌:大便带血、大便变细、腹痛腹胀、肠鸣音亢进(最近出现的肚子咕噜噜响声)、体重减轻等。
这里要强调一下,癌症早期症状不典型,也可能是其他良性疾病引起,如果出现上述信号不要惊慌,去医院做一个针对性检查。

筛查早期癌症的针对性检查项目:
1.肺癌——胸部螺旋CT;
2.胃癌——胃镜+癌胚抗原;
3.肝癌——腹部彩超+甲胎蛋白检测,不典型病灶需要增强CT或增强磁共振;
4.乳腺癌——钼靶摄影+乳腺彩超,不典型者需要磁共振协助确诊;
5.脑肿瘤——颅脑CT、磁共振;
6.结直肠癌——结肠镜。
再罗嗦一遍:有一部分肿瘤患者早期没有任何症状,通过定期健康体检可以减少风险;还有一部分病人是因为其他部位的不舒服,意外发现早期癌症。
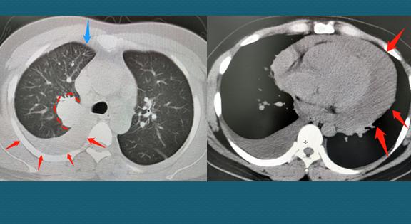
别埋怨豪大夫今天罗嗦,实在是有感而发!最近值班遇到一个年轻男子,才31岁,因为咳嗽发烧并逐渐胸闷,担心是病毒性肺炎过来检查,结果是肺腺癌,已经转移了:

31岁,肺癌转移
才31岁,右肺3.8cm的肺癌,已经侵犯胸膜引起胸腔积液和心包积液,还有纵隔多发淋巴结转移和淋巴管癌,没有根治机会了。快过年了……
我是影像科豪大夫,尽量分享正能量,欢迎关注!
#湖南医聊超能团# #健康科普排位赛#