最近,演员乔欣拔完智齿后脸肿成表情包,让网友大呼可爱:拔个智齿脸咋肿成这个样子,确定不是特效?
还炸出一波那些年拔牙的恐怖经历——



怀着对拔牙的恐惧以及对金钱的渴望,智齿这种东西,很多人都是抱着“不疼坚决不拔”的心态过来的。
幸运的话不会疼,而一旦智齿蓄势待发,破土而出,就会像“定时*弹炸**”一样,疼的时候基本上半条命就没了。
关于智齿,还有一个世纪之谜—— 为什么有的人有,有的人却没有,难道真是智慧的象征?
那么到底智齿是不是不疼就不用拔?什么样的牙需要拔?带着大家的种种疑问,今天来给你们一一解惑,首先来了解下智齿到底是什么。
到底啥样的是智齿?
智齿是从正中的门牙往里数第八颗牙齿,也就是第三颗磨牙。
由于它萌出时间很晚,一般在16-25岁间,此时人的生理、心理发育都接近成熟,所以很多人说这是“智慧到来”的象征,也就被称为“智齿”。

智齿总共有4颗,但个体间有差异,每人的智齿在0-4颗不等。
多数人会在20岁左右长智齿,但也有些人延迟到50岁左右,甚至终身不长。

所以无论长不长智齿,长几颗智齿,都属于正常的现象,而且跟智慧没啥关系。
智齿是不是非拔不可?
有些人觉得多长几颗牙不是挺好的嘛,没必要拔掉。
一般来说, 如果智齿长的位置比较端正,也没有影响到其他牙齿,没有疼痛不适,那或许可以不拔 ,不过一般最终需要口腔医生临床检查确定。

但有些智齿一定要拔,放任不管会带来很大的危害。 比如以下几种——
1、易患龋齿的智齿
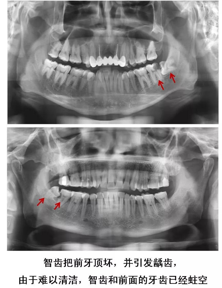
智齿因为长在最里面,平时刷牙时容易被忽视,也很难清洁到位,经常会发生蛀牙,可能还会牵连邻牙。

2、长歪的阻生智齿
当智齿没有足够空间生长,脱离“轨道”,与邻牙之间产生缝隙,容易嵌塞食物,滋生细菌,引起蛀牙。

图片来源:作者提供
或是智齿生长的方向正好顶住邻牙,时间久了不仅会把邻牙顶坏,龋坏进一步发展会造成牙髓炎。

3、无法完全萌出的智齿
智齿萌出不全,上面覆盖一圈牙龈,会形成一个无法清洁的“口袋”,叫做盲袋。

食物残渣和细菌会进入这个口袋,这样的智齿冠周一般有慢性炎症,临床上称为“智齿冠周炎”。 严重的还可能引起“路德威式咽峡炎”危及生命!
4、经常会发炎肿痛的智齿
最好也要拔除,尤其在女性备孕前,需要及时处理,怀孕期间黄体酮升高,牙龈炎症会急速进展,严重会引起骨髓炎。
5、没有对颌牙的智齿
这种智齿不能与对颌牙齿建立正常咬合关系,长时间可导致颞下颌关节弹响、张口疼痛、夜磨牙等。没有对颌牙的智齿还会伸长,智齿和邻牙间容易食物嵌塞,并导致邻接面龋。

6、牙齿需要矫正,以及在12-16岁做过矫正的小朋友 ,需要根据正畸医生的建议,及时拔除智齿,以获得完美的牙列和脸型!

大家惧怕拔除智齿,是因为听说过程很恐怖,扳子钳子刀子剪子榔头都要用上,而且脸会肿很大,还会“血流不止”。

其实现在有无痛麻醉、微创拔牙等,基本不影响正常的工作和生活。
拔牙后有什么注意事项?
拔智齿后出血是正常的,一般留院观察30分钟后,取出而不是吐掉纱布,因为吐纱布的过程,难免会带出伤口内血块,导致出血,并影响伤口愈合,甚至引起感染和干槽症。
然后观察凝血状况,如果没有明显出血情况,就可以回家了。

回家以后个人要怎么做才最有利于伤口康复呢?
1、拔牙后2小时可以喝水进食,吃凉软的食物,当日不用患侧咀嚼。喝汤时用勺子,勿用吸管。
2、拔牙当日不刷牙不漱口,不舔吮伤口,不用患侧咀嚼。所有口水咽下,不可吐出。
3、48小时内建议含冰块配合冰敷,48小时后,若伤口已经完全止血,可以热敷。
4、当日避免剧烈运动,不喝酒不乱吃药。
5、如果伤口有缝合,一周后拆线。
6、是药三分毒,健康人群拔牙一般不需服用抗生素,尤其当采用微创拔牙时。若确有必要,可在拔牙前半小时,采用加倍剂量,预防性服用。如有感染及全身症状,需按抗生素的疗程吃,一般需服5天以上,否则耐药菌株易生成。
7、女性拔牙建议避开生理期。
8、糖尿病人,术前需控制血糖到基本正常,才能拔牙!
并在术前三天、术后三天连服抗生素!而心血管疾病,及其他系统性疾病患者,首先需在术前控制相关指标到正常和稳定的范围。
还有一点, 术后拿吸管喝饮料,是错误的! 会引起出血,所以直接喝或者用勺。

所以
该拔的牙就拔掉
尽早解除智齿困扰
平时保持口腔清洁卫生
毕竟为了享受美食
没一口好牙可不行