瓜子是上班族的减压零食,还被东三省的小伙伴亲切的称为“毛嗑”!真是逢年过节,走亲访友的必备零食!
现在爱嗑瓜子的小伙伴请张开嘴看看你的牙齿!
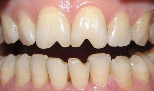
长期频繁嗑瓜子会引起一些牙齿疾病,坚硬的瓜子壳会损伤牙齿表面的牙釉质,造成牙齿切端局部多个小缺损,形成“瓜子牙”,影响美观。

很多人对“瓜子牙”不重视,但其实严重的“瓜子牙”会造成深缺损,一旦累及牙本质,就会出现牙本质过敏。
遇到冷热酸甜等刺激,就可能突然出现尖锐疼痛或牙齿酸软等敏感症状。

我有瓜子牙,我该怎么办?
出现瓜子牙,最先要做的事就是“戒掉”瓜子!如果“瓜子牙”不严重,没有出现牙齿不适的情况,对美观的要求也不高,可以不做处理。
如果你的“瓜子牙”出现了对冷热酸甜刺激敏感的症状,需要去口腔科进行脱敏治疗。现在常用的脱敏方法有药物脱敏、覆盖脱敏、激光脱敏,短期内脱敏效果不错,但长期效果有待追踪。
如果是对牙齿美观要求高的小仙女,认为“瓜子牙”影响到了牙齿美观,迫切想改善牙齿外形,可去正规口腔门诊就诊,牙医会酌情通过瓷贴面、树脂贴面等牙科修复体为您改善牙齿外形。

什么是牙贴面修复?
简单来说,牙贴面就是在患牙唇侧贴上一层和牙齿相近颜色的牙科修复材料,用以恢复或改善牙齿美观的方法。
常用的牙贴面按材质不同,分为瓷贴面和树脂贴面,其中以瓷贴面效果最佳,价格也相对较高,一般在两千元以上。不同地区,不同级别的口腔诊疗机构,价格也不同。一线城市和高端门诊收费高一些。
牙贴面修复会影响牙齿本身吗?
鉴于和天然牙接近的生物特性,瓷贴面对牙龈刺激极小,制作优良的瓷贴面可以最大限度地保证牙龈健康。
通常设计牙贴面时,需要对患牙本身进行均匀打磨。这里说的打磨跟补牙不同,制作瓷贴面前需要磨除的牙体组织很少,一般都是根据牙齿的形态均匀磨除极少的牙体组织,不需要杀神经,不会破坏天然牙长期的健康。

制作精美、设计优良的牙贴面可以使患牙修复后达到高度仿真的效果。以瓷贴面为例,瓷贴面具有和天然牙接近的生物学特性,不含任何金属成份,不会出现前几年推崇的烤瓷牙常见的牙龈黑线,即使近距离观察,也可以达到以假乱真的效果,很多时候连专业口腔医师都很难分辨出真假。
牙贴面修复的维护
虽然牙贴面可以极大地恢复患牙的美观,达到以假乱真的效果,但是牙贴面修复后需要患者精心维护贴面修复体的健康,再也不能像以前一样嗑瓜子了,患者需尽量避免用贴面牙进食任何黏、硬的食物,否则这个价值几千元的牙贴面寿命会大大减少。
最后,提醒大家,预防瓜子牙,少磕瓜子才是王道。
作者 | 北京市中西医结合医院 赵晓燕
声明:转载此文是出于传递更多信息之目的。若有来源标注错误或侵犯了您的合法权益,请作者持权属证明与本网联系,我们将及时更正、删除,谢谢。
来源: 北京114预约挂号