晓晓最近一直很烦恼!出门有烦恼,宅在屋里也烦恼。
原来晓晓出门脸一着风,皮肤就泛红,而且鼻子上还长小疙瘩,就算到了室内,这种症状还要持续好久,刚开始晓晓认为这是一种过敏反应,并没有在意。
最近因为天气变冷的缘故,家里很少开窗,待在不通风的房间里,脸就会红,甚至洗完澡后,脸也会红,被子盖紧了,脸还会红,而且要持续好久才能褪去。晓晓敢肯定这不是皮肤过敏的反应。
后来到医院检查后,才发觉自己得了玫瑰*疮痤**。
玫瑰*疮痤**是什么鬼?是玫瑰色的*疮痤**?听起来似乎很美妙,其实玫瑰*疮痤**是*疮痤**的一种,又称酒渣鼻,临床表现为面中部为主的持久性红斑、毛细血管扩张、丘疹、脓疱。常见于鼻部或下颌、面颊、前额、眼部等部位。

玫瑰*疮痤**并不是天生就有的,主要是在皮脂溢出的基础上,由多种因素(如毛囊虫感染、辛辣食物、饮酒、冷热刺激、精神紧张、情绪激动、内分泌功能障碍等)作用使皮肤屏障受损,
从而引发的面部毛细血管功能失调,导致长期持续扩张,然后出现皮疹。除此之外,外用激素类软膏也会导致玫瑰*疮痤**形成。
既然玫瑰*疮痤**这么烦人,那该如何治疗呢?
治疗玫瑰*疮痤**前,首先要了解其发展的阶段。一般来说,玫瑰*疮痤**发展分为红斑期、丘疹脓包期和鼻赘期三种:

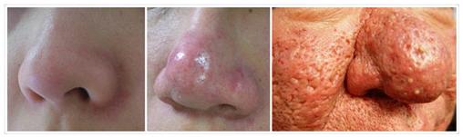
红斑期:为玫瑰*疮痤**发展的初期,一般为对称分布的红斑,呈树枝状的毛细血管扩张,常伴有毛囊口扩大及皮肤油腻,反复发作后持久不退(正如晓晓的玫瑰*疮痤**状态)。
丘疹脓包期:在红斑基础上反复出现*疮痤**样毛囊样丘疹,脓疱,皮损较深较大,形成囊肿、炎症性结节。鼻部、面颊毛囊口扩大,可在数年内发生,时轻时重。
鼻赘期:多发于40岁以上男性人群,由于长时间充血,反复感染,鼻部结缔组织增生,皮脂腺异常增大,鼻端肥大,表面凹凸不平,呈暗红色或紫红色。
在明确玫瑰*疮痤**所处的发展阶段后,再根据每个发展阶段的特点,进行针对性的治疗。
1、红斑期的玫瑰*疮痤**治疗主要是抗炎症+保湿治疗,推荐红蓝光+药妆治疗。
2、丘疹脓包期的治疗是在红斑期的治疗基础上,进行强脉冲光+果酸治疗,即强脉冲光+红蓝光+果酸+药妆。
3、鼻赘期治疗可直接选择切割术或磨削术治疗,以达到美容效果。
当然,玫瑰*疮痤**的日常护肤工作也十分的重要:比如日常护肤要注意补水保湿,可以使用一些修复屏障类的、且具有抗敏功效的产品,外出时做好物理性的防晒工作。此外平时应禁食辛辣刺激性食物,忌饮酒,避免过冷过热的刺激,避免精神紧张,保持良好的心态和生活规律。