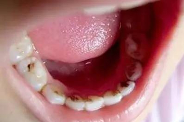
一岁半宝宝,满口“色素牙”
一岁半的萌萌长得十分可爱,但她的16颗乳牙里外两侧都布满了点点黄斑、黑斑。经医生检查后,确定萌萌得的是“色素牙。”

爱吃红烧类食物
半年前,一岁的萌萌开始添加食用辅食,红烧类的食物成了萌萌的最爱,尤其是红烧鱼汤拌饭。并且,萌萌特别不爱刷牙,每次父母将牙刷放入她嘴巴里,她都会哭得声嘶力竭,无奈之下,父母每天只让萌萌漱漱口就当了事了。

不刷牙、食物色素堆积,导致“色素牙”
如果孩子不刷牙,食物中的色素就会在3~6个月内黏附在牙齿表面,最终导致“色素牙。”另外,一旦“色素牙”形成就很难恢复,即使是换了恒牙后,也会或多或少的受到影响。

宝宝预防“色素牙”措施
从孩子长出第一颗乳牙开始,父母就要帮助孩子做好相关口腔的护理工作,可以用指套牙刷或纱布缠在手指上,帮宝宝清洁牙齿。另外,除了刷牙,家长可以给孩子吃些富含纤维的食物,因为孩子在咀嚼纤维食物时,食物纤维会与牙齿表面摩擦,从而带走一些牙面污垢。

萌宝奶爸:原本一个可爱、漂亮的孩子,常常会因为一张嘴说话露出满口的大黑牙、大黄牙而毁了形象。所以,家长应该尽量少给孩子吃些甜、软深加工的食品,平时要注意宝宝的牙齿卫生,让宝宝养成刷牙的好习惯。
注:图片来源网络
南村群童:国家高级育儿师、母婴专家。
【 南 村 群 童 】 微 信 公 众 号 :NANCUNQT(专注0-3岁幼儿,每天分享最全面,最专业,最实用的育儿知识。)