#心脏英雄#身边的很多同事都得了冠心病。我会不会也有冠心病?到底什么是冠心病啊?怎么才能确诊冠心病?冠心病有什么治疗方法?
#心脏英雄#最近门诊接诊了一个特殊患者,因为身边的同事和朋友很多都得了冠心病,有些放了支架,有些没有放支架在吃冠心病的药。这让他很紧张,到底什么是冠心病,自己会不会也患了冠心病,所以特地来医院检查。
1.什么是冠心病?
冠心病是指供应心脏本身的冠状动脉血管发生动脉粥样硬化病变而引起血管腔狭窄或阻塞,造成心肌缺血、缺氧、坏死而导致的一类心脏病,常常简称为"冠心病"。
2.那么有人会问,什么是冠状动脉?为什么取名叫冠状动脉?
我们知道供应心脏的血管有3根,分别是左前降支,左回旋支,右冠状动脉。因为这3根血管像一顶皇冠一样覆盖心脏上面,所以叫冠状动脉。
冠心病临床分为2大类:一类是急性冠脉综合征,另一大类慢性冠脉病。其中急性冠脉综合征是心血管急诊,是需住院进行规范化治疗。慢性冠脉病可以通过门诊复查。

冠心病

冠心病
3.冠心病有哪些症状?
冠心病最常见的症状是胸痛,胸痛部位多位于颈部以下腹部以上,胸痛性质呈多种多样:最常见是石头压榨样、刀绞样、火烧样、撕裂样、针刺样疼痛,除了疼痛症状外,常伴有胸闷、气促、呼吸困难等伴随症状。

胸痛表现

胸痛表现
临床上除了以上常见胸痛症状外,还有另外一些特殊类型胸痛表现:例如牙痛,咽喉疼痛,脖子疼痛、胃痛、肚子疼,肩膀疼痛,后背疼痛,这些疼痛常常被患者忽略并误认为是牙疼,咽喉炎,颈椎病,胃病。是心脏病导致误诊的重要原因。

表现为牙疼

表现肩颈部疼痛

表现为腹部疼痛

表现为咽喉部疼痛
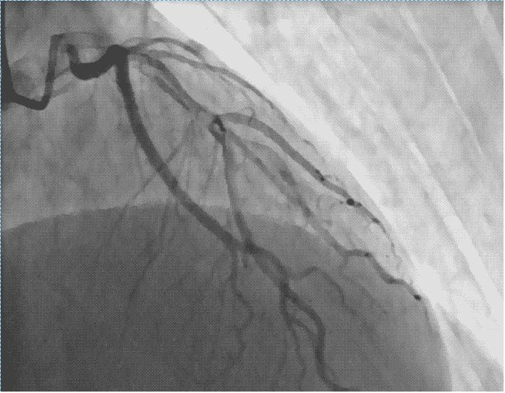
4.怀疑有冠心病需要做哪些检查?做什么检查能确定冠心病?
当出现胸痛、胸闷症状,同时合并有高血压,高血脂,等心血管危险因素时,那么就需要高度考虑冠心病。冠心病的检查分为两大类,一类是无创检查,心电图,心脏超声,动态心电图,血糖,血脂等检查,通过这些检查,结合患者的症状,由心血管内科的专科医生进行评估可以初步进行冠心病诊断。另一种就是冠状动脉造影,目前是诊断冠心病的金标准,通过桡动脉或股动脉将一根微导管送至心脏冠状动脉进行造影,明确冠状动脉有无狭窄或堵塞,如果造影明确冠状动脉堵塞,我们可以同时进行冠状动脉支架植入术。所以针对那种症状特别典型的患者,我们推荐冠状动脉造影检查,因为冠状动脉造影既是一个检查,同时如果冠状动脉病变严重又可以进行下一步针对性治疗。

冠状动脉造影

冠状动脉造影血管图形

冠状动脉支架植入过程
5.冠心病有哪些治疗方法?
目前治疗冠心病的主要治疗方法是冠状动脉直接植入术。老百姓说的"放支架"。但不是所有的冠心病患者都是需要放支架的,一般是血管腔狭窄大于75%才考虑进行支架植入。低于75%是不需要放支架。同时我们知道冠心病是在多种危险因素如血糖,血脂,血压异常,吸烟,肥胖的多种因素综合下导致冠状动脉血管腔狭窄或阻塞,造成心肌缺血、缺氧或坏死而导致的心脏病。所以我们的治疗除了根据情况进行支架植入术外,首先是控制危险因素,控制好血糖血脂血压,戒烟,控制体重,低盐低脂饮食。所以规范化药物治疗是冠心病治疗的基础。进行冠脉支架植入术后更需要规范服用药物。#心脏英雄#

药物治疗是冠心病治疗的基础