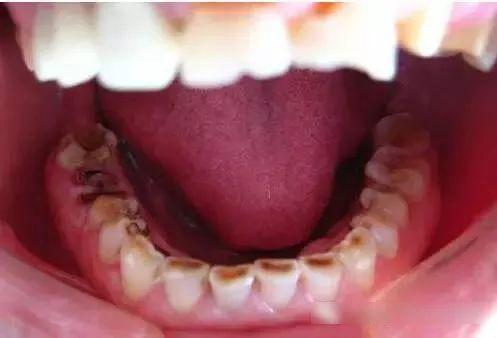
牙齿磨耗是临床上极为常见的现象,它是指牙齿在未经历龋病、外伤或者发育原因导致的牙齿表面的硬组织的缺损。从广义上来看,它还不仅仅出现在牙齿表面,也会出现在修复体上(包括补牙材料、固定义齿和活动义齿上)。

牙齿磨损有多种磨损
1、牙齿磨耗
第一,即是牙齿磨耗,主要指牙齿和牙齿之间,或咀嚼过程中出现的牙齿物理性磨损,根据病因,还可以将其分为生理性和病理性。生理性磨耗几乎存在于每一个人,主要发生在咬合面或牙齿切缘。这种生理性的磨除其实是有一定积极意义的,在早期建立咬合时,有助于消除早接触点。而随着年龄增加,牙槽骨退变后,牙齿的磨耗有助于临床牙冠缩短,不至于出现咬合创伤。而病理性磨耗则一般表现为超过正常量的磨除,多由紧咬牙、夜磨牙造成。
2、牙齿异常磨损
第二,称作牙齿异常磨损,这种情况主要指牙齿与外源物体摩擦,它的形成并不依赖于咬合。例如一些人有咬发卡、嗑瓜子、用力刷牙可能导致牙齿上出现缺损。尤其是长期的用力刷牙,经常会导致牙齿的楔状缺损。当然,牙齿楔状缺损的病因包括但不限于此,另外,牙颈部应力集中导致的结构薄弱和酸蚀作用也是楔状缺损发生的病因。

3、牙齿酸蚀
第三,是牙齿酸蚀。这种酸蚀有别于致龋菌的产酸作用,此类酸蚀作用的为牙齿暴露于其他外源或内源性酸而出现的牙齿硬组织的损失。外源性酸包括酸性食物、饮料、药物、工作场所中的酸雾等;内源性酸主要包括胃液返流(包括经常性呕吐、胃食管返流、妇女妊娠期等),加之舌头的反复摩擦,它常常导致牙齿舌侧面的磨耗。
解决方法1)改变后天不良习惯,少食碳酸饮料;把假牙装起来,分散咬合力;喜欢吃瓜子的朋友,还是应该用瓜子开合器。

2)如果是夜磨牙或者是坏习惯已造成的严重磨耗,还是要去征询医生的专业意见,是否可以做一个透明牙套晚上睡觉时使用,避免进一步磨耗。若是先天因素,是否可以做一个烤瓷或全瓷牙套恢复美观和咀嚼力。

(此图是针对夜磨牙的透明牙套)
可能引起的并发症
1、牙本质过敏症
这种酸痛的症状有时可以在几个月内逐渐减轻而消失;有时可持续更长的时间而不见好转。敏感的程度常因人而异,一般说来磨损的过程愈快,暴露面积愈大,则酸痛越明显。
2、食物嵌塞 咀嚼食物时
由于有由边缘嵴和发育沟所确立的面外形,通常有利于食物偏离牙间隙。牙齿被磨损后,平面代替了正常凸面,从而增加了牙尖向对牙间隙楔入食物的作用;因磨损牙冠变短以及邻面磨损都可引起食物嵌塞,并促使牙周病和邻面龋的发生。
3、牙髓和根尖周病变
系由于过度磨损使髓腔暴露所致。
4、颞颌关节紊乱综合征 严重的面磨损可导致颌间垂直距离过短,从而引起颞颌关节病损。
5、创伤
不均匀的磨损能遗留高陡牙尖,从而造成创伤。
6、创伤性溃疡
不均匀磨损遗留的过锐牙尖和边缘能刺激颊、舌粘膜,可引起局部溃疡。
温馨提示:有牙齿磨耗的患者应该先去专业的医院由专业的医生评估后定下解决方案,不要擅自去路边摊或是淘宝买一副随意形状的不知名的塑料带在口腔中,不仅会加速症状还会导致颞颌关节紊乱等等的问题。