
神经介入在线原创文章,如需转载请留言

作者|姚丽娜,宋立刚,马宁
单位|首都医科大学附属北京天坛医院
本
周我们汇报一例右椎动脉V1及V4段串联狭窄血管内介入治疗过程,具体如下。

病例详情
患者,男性,61岁,因“言语不利、饮水呛咳、肢体运动不协调40天”入院。40天前无明显诱因出现言语不利、饮水呛咳及肢体运动不协调,症状持续加重不缓解,期间伴一过性视物成双。外院诊断“后循环脑梗死”,给予阿司匹林、波立维和阿托伐他汀等治疗,症状无好转。3周前来我院就诊。
神经系统查体:构音不清,双侧指鼻试验、跟膝胫试验欠稳准,双手轮替动作笨拙,余未见阳性定位体征。
既往史:高血压病史10余年。10余年前右前循环缺血性卒中但未遗留后遗症。肺结核病史。
头颅CT:脑内多发缺血梗死灶,以右侧前循环和桥脑为著(图1)。

图1
颅内CTA:右大脑中动脉M1段重度狭窄,左大脑前动脉A1段发育不良,右椎动脉V4段狭窄,左椎动脉V4段未见显影,考虑缺如或者发育不良(图2)。

图2
化验检查: LDL-C:1.79mmol/L;血栓弹力图:AA100%,ADP55.7%。肺CT:右下肺结核球。
入院后给予双抗血小板(拜阿司匹林100mg 1/日+氯吡格雷75mg 1/日)、调脂(立普妥20mg 1/日)等治疗。
DSA:右大脑中动脉闭塞。左大脑前动脉A1段缺如。左胚胎型大脑后动脉。右椎动脉优势,右椎动脉V1及V4段重度串联狭窄。左椎动脉起始段狭窄,V4段闭塞。患者造影过程中存在一定程度不自主运动,故图像显影较差(图3-6)。

图3

图4

图5

图6
术前讨论
●1.患者后循环症状及体征,结合CTA及DSA等相关血管影像资料,考虑右椎动脉V1及V4段串联狭窄有血管内干预治疗指征。
●2.治疗策略:右椎动脉V1及V4串联狭窄,因弓上及右锁骨下动脉走形迂曲,如先放置支架的位置不理想,会影响后续处理颅内病变,故再治疗先后顺序上拟先远端再近端。右椎动脉V4段病变长度较短,目测长度约5mm,拟放置球囊扩张支架。
●3.相关风险:入路迂曲,导丝、导管、球囊到位困难;术中栓子脱落;穿支损伤、闭塞;支架内急性、亚急性血栓形成等。
治疗过程简述
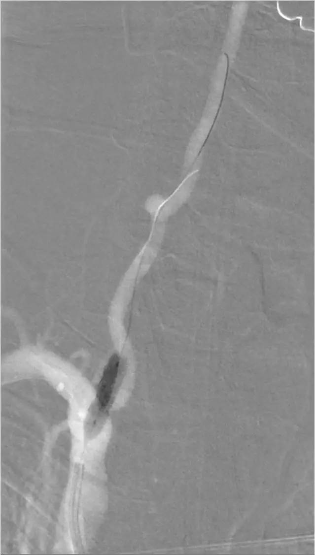
全麻下右股动脉穿刺入路,路途下显示右椎动脉开口重度狭窄,常规泥鳅导丝携6F导引导管通过右椎动脉开口困难,遂决定将6F导引导管放置于右锁骨下动脉近右椎动脉开口部(图7)。

图7
送一Command(0.014″,190cm)至右锁骨下动脉远端作为支撑导丝(图8)。

图8
再送一Transcend微导丝(0.014″,300cm),先后越过近远端狭窄,其后微导丝顶端轻抵成角管壁成一大的“回头袢”,再将微导丝远端送至基底动脉顶端(图9)。

图9
沿微导丝送入球扩式Apollo(3.0mm×8.0mm)准确定位后扩张球囊释放支架(图10)。

图10
其后造影显示无明显残余狭窄,前向血流TICI3级(图11)。

图11
撤出支架输送系统,保留微导丝,送入Blue球扩式支架(5.0 mm×12mm),扩张释放于近端狭窄(图12)。

图12
最后造影显示支架贴壁良好,前向血流好(图13)。

图13
术后查体同前,术后立即复查头CT未见出血(图14)。

图14
术后CTA:右椎动脉V4段支架通畅(图15)。

图15
讨论
处理后循环串联病变,如椎动脉近端开口起于锁骨下动脉顶端,病变无明显成角,在定位准确情况下可以先处理近端再处理远端。本例病变特点符合上述描述,但锁骨下动脉近端成角,导引导管不能提供足够支撑情况下,有可能会造成释放过程中,支架下滑移位给后续处理带来困难。在这种情况下,一般先球囊扩张近端狭窄,导引导管越过近端狭窄后再处理远端病变,但上述操作略显繁琐。本例先将一微导丝置于锁骨下动脉远端以提高导引导管支撑性,再选用另一导丝越过近远端病变,先处理远端狭窄,再处理近端。这样处理简化操作流程,但对微导丝操控提出更高技术要求。实施这种操作时一般选用8F导引导管(系统支撑性会更强)。此外,远端病变一般位于椎动脉V4段或者基底动脉近端,微导丝头端不需要置于大脑后动脉即可提供有效系统支撑。我们选用6F导引导管,借助头端大C型回头袢微导丝提供的系统支撑,能顺利完成手术,略有点运气成分。
欢迎大家在下方留言区讨论关于本病例的看法~
