
这是2016年6月份浙江省肿瘤医院处理的一位食管大面积黏膜病变的患者,诊断及治疗可圈可点,我们现将其呈现给各位同道,以供欣赏学习,交流探讨,共同进步。
作者 | 浙江省肿瘤医院
来源丨消化道早癌诊治中心ZJCC
病例资料
1.患者,男,61岁,汉族,浙江省天台市人。
2.患者因发现食管糜烂1年余,行常规复查;到当地医院就诊,于2016-4-1查胃镜示:食管距门齿27-30 cm之间粘膜糜烂,活检。活检病理示:(食管)鳞状上皮重度异型增生。后为进一步明确诊断于2016-5-6查超声胃镜示:(内镜所见)食管中下段见多发白色絮状物附着。距门齿25-30 cm食管腔见粘膜片状糜烂。予以卢戈氏液染色,可见多个片状淡染区。(超声所见)超声于食管病变处见粘膜层增厚,呈略高回声结构,其内部回声欠均匀,边界清楚,肌层完整。患者为行进一步治疗来我院就诊。
3.查体:无特殊发现。
4.辅助检查:
胸部+腹部CT: 1、两上肺气肿。 2、左肺少许慢性炎症考虑。 3、肝、胰、脾及腹膜后未见明显异常。男性肿瘤指标正常。
内镜检查

食管中段距门齿25-30 cm约3/4周黏膜粗糙充血,边界不清,表面见有异常白色角化物质附着,局部有黏膜缺损表现。

NBI弱放大可见病变管壁近全周见棕褐色,几乎没有正常背景。表面有多发白色物质附着。

NBI强放大时可见弥漫的TypeB1型血管

距门齿28 cm可见AVA-S

可见白色不透微血管区域

碘染色后观察,病变上缘距门齿25-27 cm近全周不染,仅有少许正常黏膜;距门齿28-30 cm/2/3周不染。

内镜诊断:食管黏膜病变,范围大,几乎近全周,病变最重区域高级别上皮内瘤变,局部癌变可能,局部较重部位可能侵犯至黏膜固有层。
治疗方案
行ESD治疗。

具体治疗方案尽可能多保留正常黏膜,未行环周切除。先行纵行双侧切开,保留正常黏膜。

ESD治疗后食管壁情况。

ESD标本行碘染色后观察
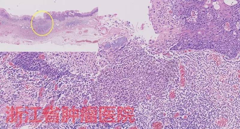
大体观察:粘膜组织一块,面积:6×3.5×0.2 cm,粘膜中央见一糜烂区,面积:1.5×0.7×0.2 cm。

距门齿28 cm病变区域整体观察。
10倍放大

黑框内为病变较重区
20倍放大

粘膜表面鳞状上皮增生,部分区深染,表面粘膜部分区坏死、较多炎症细胞浸润(黄圈所示)及小血管增生、充血。粘膜基底面完整。
40倍放大

100倍放大

200倍放大

400倍放大

病变区域高倍镜下观察:增生鳞状上皮细胞排列紊乱,细胞核增大、深染,核浆比增高,并见异常角化。病变细胞位于黏膜全层,无明确突破基底膜证据。
病理诊断
(食管ESD标本):粘膜慢性炎伴部分区鳞状上皮重度异型增生(高级别上皮内瘤变)。
备注:粘膜周切缘及基底切缘均阴性。
分析此例病例,病变范围大,几乎近全周,若选用环周切除方法行ESD治疗,虽然手术时间较短,但术后食管狭窄严重,严重影响患者生活质量。为了患者获益更多,我们尽可能多的保留了正常黏膜,虽然增加了手术难度和手术时间,但术后狭窄情况会明显较环周切除轻。
Tips
ESD术后食管狭窄预防及处理:术中需精准操作,避免刀头损伤肌层,剥离过程中需贴近病变下缘,尽量保留黏膜下层,使用透明质酸钠会比生理盐水好很多。
术后出现食管狭窄最简单安全有效的是球囊扩张。顽固性狭窄可使用可回收支架,行黏膜下注射或口服类固醇类药物可能有效,还有学者使用药物芯片等多种新型研究。