点击右上角立即关注,更多健康内容不再错过,不定期惊喜送给你
对于支气管炎,可能很多人正在饱受其折磨。其实对我们来说,要无时无刻的不在呼吸。正常的呼吸对我们来说是必须的,很多原因会造成呼吸的困难。有些人是因为感冒的原因呼吸不畅,但是短时间是可以坚持和忍受的。对于一些比较严重的情况,我们就需要采取一些措施,那么支气管炎的治疗时间是什么呢?

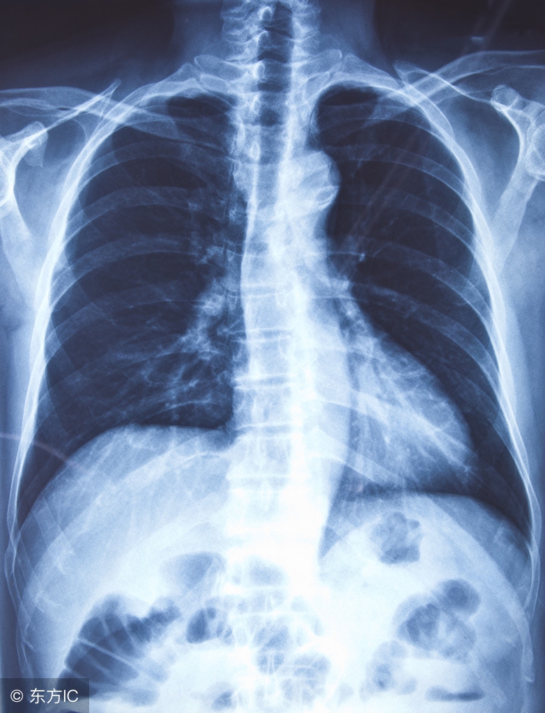
支气管炎是支气管的炎症性疾病,通常由于感染所致。患病率高,一年四季均可发生,冬春季节达高峰。临床上以长期咳嗽、咳痰或伴有喘息及反复发作为特征。如果症状持续存在,则需进行胸部X线检查,以确定是否合并肺炎。
感染性支气管炎常以感冒症状起病:流涕,疲倦,畏寒,背部和肌肉疼痛,轻微发热以及咽喉疼痛等。开始咳嗽通常表示存在支气管炎。初期为干咳,1~2天后可有少量白色或黄色痰液。继后,患者可咳出较多的黄色或绿色痰液。严重支气管炎患者可发热3~5天,此后大多数症状开始缓解,但咳嗽可持续数周。如果发生气道阻塞,患者可出现呼吸困难,通常在咳嗽后可闻及哮鸣音。亦可发展为肺炎。

小儿常常有不同程度的发热、咳嗽、食欲减退或伴呕吐、腹泻等,较小儿童还可能有喘憋、喘息等毛细支气管炎表现。
一般需要一周的时间就可以康复的,如果支气管炎症较重引起肺部的感染时间还会延长。支气管的炎症主要是和上呼吸道感染以及天气的变化和体制的虚弱有关。

可以进行静脉的输液治疗,平时可以多增加营养,适当的进行锻炼增强体质即可,在秋冬季节要多注意御寒保暖,预防感冒。
呼吸对我们的重要性小编不需要多说,相信大家都知道。我们都或多或少的经历过感冒,嗓子发炎,鼻子不通,这些对我们的呼吸造成的影响大家都有确切的感受。

想了解更多知识内容可以点击下方了解更多关注我们的阳光小店店铺,里边有各种健康类书籍
注:文中图片来自网络,如有侵权请联系删除