肘关节X线解剖



肘关节X片的读片方法:肘关节侧位片 一、在条件许可情况下,肘关节的侧位片应在屈肘90°时拍摄,更易于看出关节间隙和尺桡骨上端的情况,在此位置,肘关节间隙在尺骨鹰嘴段较窄,其余部分较清晰。如果此情况发生改变,鹰嘴部间隙明显,而其余的间隙变窄,则表明肘关节背侧关节囊及有关软组织严重挛缩。 二、在侧位片上,桡骨小头正常高于尺骨,且内侧角在尺骨皮质之内,如果桡骨小头的内侧角只有一半在尺骨皮质之内,则说明桡骨小头向背侧移位。 三、如肘关节间隙全部模糊不清,大多数是类风湿关节炎的活动期,如明显变窄,说明肘关节囊严重变性挛缩。 四、无论在肘关节任何一部位出现骨质增生或有骨赘生成,如果该部位是某一软组织的附着区(一般指肌肉、韧带、关节囊),说明该软组织长期处于紧张挛缩状态。

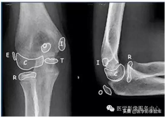
肘关节的X线解剖肘关节常规X线片包括伸肘前后位及屈肘90°的侧位(图1)。正位像肱桡关节间隙清晰,呈下凹的浅弧形;肱尺关节间隙有尺骨滑车切迹重叠而变暗,呈上凹的弧形,故而正位片上肘关节间隙呈波浪状。屈肘侧位片,肱尺关节间隙清晰,呈半环形,前为冠突,后为鹰嘴。肱桡关节掌侧清晰,背侧部分和尺骨冠突相重叠。此时通过桡骨纵轴线的延长线也穿过肱骨小头中心。
伸肘正位片上,肱骨、尺骨长轴线形成向外165°~170°的夹角,此为生理性前臂外翻角,男性一般大于女性。若小于l65°叫肘外翻,大于190°叫肘内翻,如果是180°则叫直肘(图1-1),均属异常表现。肱骨长轴与尺骨长轴在内下方的夹角谓之提携角,正常范围5°~20°之间,女大于男。
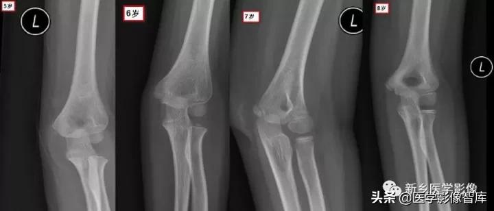
肘关节骨骺
现在简单了,只要记住CRI TOE1-3-5-7-9-11就行了:
- Capitellum (appears age 1-2)肱骨小头1 year - Radial Head (appears age 2-4)桡骨小头 3years- Interanal epicondyle (appears age 4-6)内上髁 5years- Trochlea (appears age 8-11)滑车 7years- Olecranon (9-11 years)鹰嘴 9years- External epicondyle (appears age 10-11)外上髁 11years




腕关节X线摄影




腕关节X线测量







