
在兽医临床中,尿沉渣通常作为完整尿液分析的一部分进行评估,作为泌尿道和系统性疾病的常规筛查。鉴定湿样本中的尿沉渣有形成分(包括细胞、管型和晶体)需要培训和专业知识。干样本易于制备,常规染色可用于更深入的患者侧临床评估。
案例选择:湿片与干片制备
作为完整尿液分析的一部分,湿片通常会在未染色的情况下进行检查。有时,使用尿沉渣染色剂对湿样本进行染色可以提高可见性。然而,染色有时会通过引入伪像(染色沉淀、微生物过度生长)阻碍湿片评估;不能保存细胞形态(一个常见的误解);此外,对于那些学习尿沉渣的人来说,与直接观察用常规临床水性快速染色剂染色的风干样本相比,使用伪像评估湿样本更具挑战性。用水性Romanowsky快速染色剂染色的干片能够直接观察嗜中性粒细胞和细菌的形态,而没有在湿片上看到的折射伪像和布朗运动(液体样品中小颗粒的自发运动)。及时分析湿片至关重要,因为尿液中的有形成分不稳定,会在体外降解。从10%尿沉渣制备中制作干载玻片是非常理想的,因为它能够通过使用常规染色技术进行进一步的鉴定,这可用于教学和诊断目的。制剂的干燥性质允许使用更高放大倍数的油物镜,并产生稳定的分析样品,包括运送到参考实验室(如果需要)。
干片检查不能代替湿片检查来量化细胞成分,但对干片进行染色可显著改善细菌的定性和形态学评估、核形态学和细胞鉴定。染色载玻片的干片检查可添加到所有常规尿液分析中,但在一般临床中,对一些特定情况的诊断率最高:
l含有活性沉积物(炎性细胞、细菌、真菌成分或红细胞)的样本
l上皮细胞增多的样本
l临床怀疑尿路肿瘤的患者
l确定管型
l未识别的元素
l含有大量粘液或晶体作为其他元素的样品可能会被这些物质“隐藏”(例如,粘液中的白细胞,大量的无定形晶体阻碍了细菌的可视化)
样本制备
离心
对于湿样本,所有样本都从离心开始。为了制备10%的尿液沉淀物用于湿片显微镜评估,从5mL尿液开始,以1500RPM(每分钟转数)离心5分钟,通过轻轻倾析或使用移液管移出4.5mL上清液,并通过用移液管轻轻敲击或轻轻吸取将沉淀重新悬浮在0.5mL上清液中以混合。通过在10倍低倍视野下对上皮细胞和管型进行评估和计数,以及在40倍高倍视野下对红细胞、白细胞、细菌和晶体进行评估和计数,根据常规方案对湿样本沉淀物进行评估。
为了进一步浓缩样本并增加用于观察的细胞量,还可以在干片固定材料之前完成额外的离心步骤(因为没有进行定量)。这个额外的步骤包括以1500RPM离心5分钟,并除去几乎所有剩余的上清液(优选通过移液管法),留下大部分具有最少量流体的沉淀物质。然后将两次浓缩的沉淀颗粒用于制备干片载玻片。
载玻片制备
如果需要,可以使用1滴10%的尿液沉淀物,根据血涂片技术(参见eclinpath.com/hematology/教学视频中的血涂片制备)、线制备方法(参见eclinpath.com/cytology/积液-2的线制备/线涂片-编辑-复制)或罗纹法(图1)制备干样本。无论使用何种载玻片制备方法,为了保留最多的评估材料,请确保样品不会溢出载玻片的短边或长边。

在临床中,作者更喜欢进行额外的离心步骤,因为它用更少的干燥时间产生更干燥的沉淀物,以及用于观察的更浓缩的细胞物质。作者还使用用于载玻片制备的罗纹方法来创建多个用于评估的浓缩线制备。大多数参考实验室使用特殊的细胞离心机来制备载玻片,并根据前面提到的带项目符号的病例选择列表中提供的标准的变化定期检查干样本。
干燥
干尿沉渣载玻片必须自然风干,或在染色前在凉爽的环境中使用热风枪(或吹风机);如果载玻片没有完全干燥,材料可能会在固定剂中被冲走。热固定会改变细胞形态,禁止使用所有干燥制剂(尿液、血液和细针吸取细胞学样本)。
染色
然后,根据制造商的临床检查说明,用水性Romanowsky染色剂(快速型)对干载玻片进行染色。或者,可以将制备好的载玻片(未染色或染色)运送到参考实验室进行进一步评估。
检查
检查湿片和干片尿沉渣样本需要调整显微镜设置以获得最大视野。
湿片检查:检查湿片需要降低光线以增加折射率,这可以通过使用聚光镜旋钮降低聚光镜(将聚光镜移离显微镜载物台)或使用刻度盘(朝向0)部分关闭聚光镜上的可变光阑来实现。
干片检查:干片样本的显微镜设置应类似于血液学/细胞学样本的设置,聚光镜升高到最大亮度(几乎接触到显微镜载物台区域的下侧),聚光镜的可变光阑打开(朝向1)。如果干制剂看起来很暗,检查可变光阑刻度盘,因为变化不像聚光镜降低时那样从外面看得见。
沉渣评估
细胞
在湿片检查中所见的上皮细胞传统上分为鳞状或非鳞状。如果移行(尿路上皮)细胞增加或细胞变异提示异型性,则使用干片对非鳞状上皮细胞进行进一步评估。风干允许更详细地检查核特征,可用于筛查和诊断肿瘤。由于肾小管上皮细胞体积小,很少被误认为是未染色制剂上的白细胞。在湿片中,白细胞通常很容易被识别为一般类别,但如果没有染色,就不可能按特定类型进行进一步分化。白细胞通常是中性粒细胞,但在某些情况下可能不是,使用染色剂进行进一步鉴定可能会有所帮助。嗜酸性膀胱炎、泌尿道淋巴瘤和肥大细胞瘤的病例在常规湿片检查中可能被误诊为疑似泌尿系炎症/感染,但在风干染色样本上很容易识别。
晶体
除非在送往参考实验室进行尿液病理学检查之前为了保持稳定性而进行,否则制作干片以进一步识别晶体通常没有帮助。如果保留晶体,可以在干片上进一步观察,尽管在许多情况下,湿片分析被认为是更好的。
微生物
当微生物数量较少或由于布朗运动时,尿液湿片中潜在感染的筛查有时可能具有挑战性。布朗运动伪影有时会被误认为是细菌,特别是初学者学习尿沉渣评估时。与传统的40倍物镜湿片检查相比,使用放大倍率更高的油物镜(例如100倍物镜)可以更准确地确认细菌并评估其形态。在膀胱穿刺期间,有时可能会同时采集胃肠道样本(尤其是在“盲”非引导样本中),在没有并发脓尿的情况下,可能导致大量的细菌或酵母。进一步观察细菌形态有助于诊断并发肠穿刺术,特别是在孢子形成细菌;螺旋形细菌;酵母,包括提示隐孢子菌;藻类生物;原生动物;或寄生卵。这些微生物不应存在于尿液样本中,而几乎只存在于胃肠道内容物中;因此,干片染色可以识别可能的粪便污染。
身份不明的异物
干片检查的一个关键好处是它对识别尿液UFOs(不明异物)的价值。干片是尿液沉淀物分析的强大学习和培训工具,是许多病理学家用来帮助评估UFO尿液样本的主要方法。特别是,自由采集的尿液分析或从物体表面获得的尿液(包括猫的猫砂盆收集)可能含有许多不同和罕见的污染物,这可能很难识别。在大多数情况下,UFOs通常在临床上不重要(例如花粉、手套粉中的淀粉颗粒),并且可以很容易地识别,或者仅仅通过染色排除其病理性。
干片检查的临床适应症
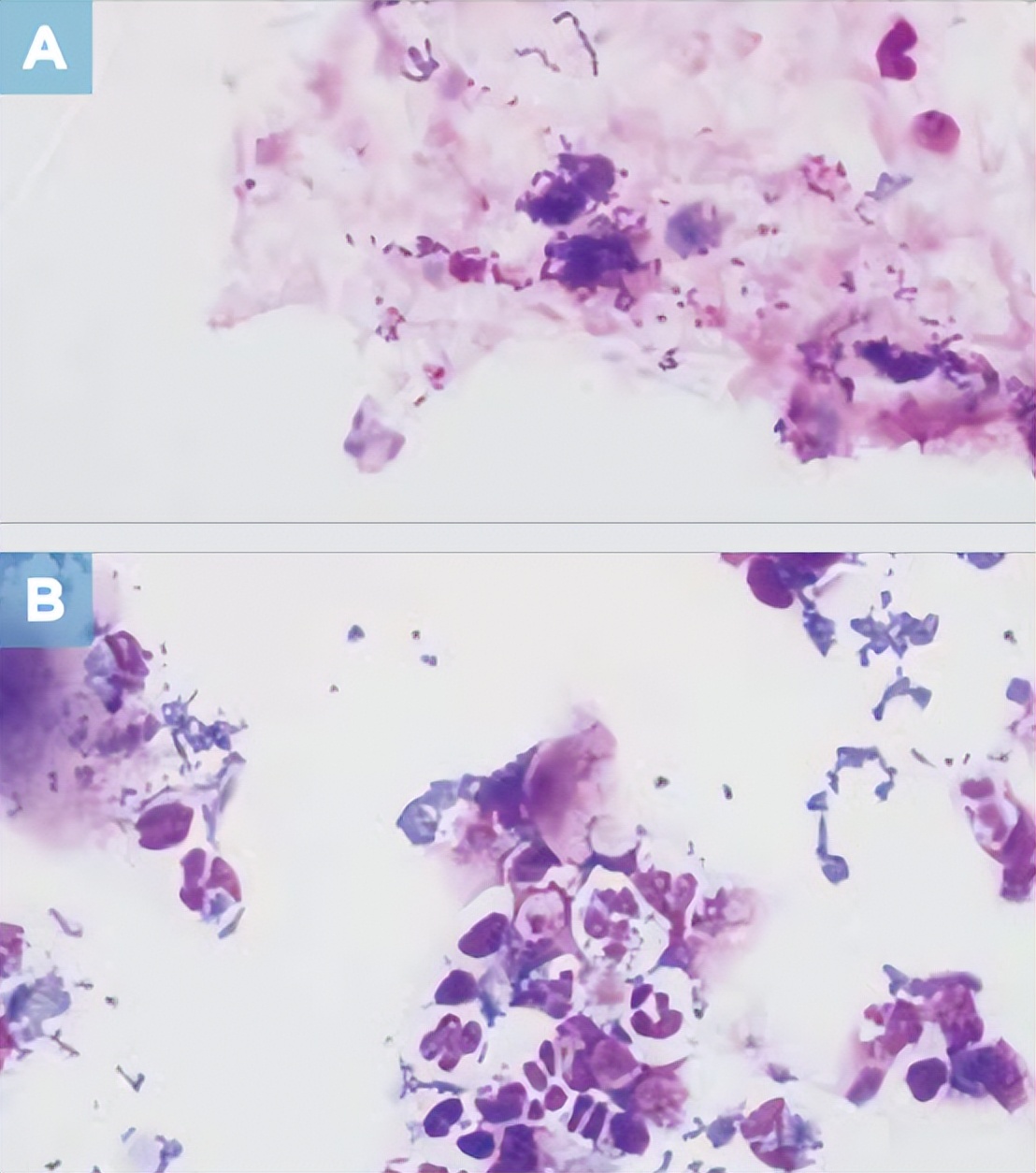
尿频、痛性尿淋沥、可能有炎症或血尿的患者(图2):虽然干样本和湿样本都可以检查,但在染色的干样本上,在更高放大倍数的物镜下,上皮细胞和细菌的形态学特征更容易观察到。

图2.尿沉渣来自一只12岁绝育的雌性斗牛犬,有尿频、痛性尿淋沥和可能的血尿史。(A)未染色的湿样本显示上皮细胞聚集、脓尿、血尿和少量可能的细菌;40倍物镜。(B)染色干片,显示移行上皮细胞、脓尿、血尿的详细评估,以及细菌感染(杆菌)的确认证据;放大100倍油物镜,含水Romanowsky快速染色。上皮异型性性被怀疑继发于细菌性膀胱炎,临床症状消失后复查检查未发现异型性细胞。
湿片上移行上皮细胞的存在:当细胞核特征可被检查时,正常(图3A)和异常(图3B)之间的区分更容易,但需要完整的临床信息用于明确的解释(例如,存在结石、肿块、临床体征和诊断图像,如果有的话)。

图3.干样本上的移行(尿路上皮)细胞。(A)犬体内明显均匀的移行(尿道上皮)细胞层。(B)来自患有移行细胞癌的犬的非典型移行(尿路上皮)上皮细胞,显示恶性肿瘤的核标准。两幅图像都是100倍油物镜,水性Romanowsky快速染色。
确认管型:粘液和偶尔出现的其他伪像(如纤维、植物材料)可能被过度解释为管型形成时肾小管淤滞的迹象。当确认存在管型时,干样本有时有助于增加信心(图4)。

图4.尿液管型。(A)未染色的犬尿湿样本,显示细粒状管型;40倍物镜。(B)来自同一只犬的染色干样本,显示细粒状管型;水性Romanowsky快速染色的100倍油物镜。
细菌尿:常规尿检,特别是自由收集的自然排尿样本,可能显示细菌数量较低(图5A)。对于疑似尿路感染的病例,干片检查有助于进一步观察中性粒细胞内的细菌(图5B)。

图5.自由收集的样本。(A)用于常规健康检查的犬只样本。干片显示细胞外细菌污染,由细胞外杆菌和较少的球菌包裹在粘液中组成。(B)来自怀疑患有尿道感染的犬的样本。干片显示细胞内球菌和炎症。两幅图像都是100倍油物镜,水性Romanowsky快速染色。
结晶尿:结晶在湿片上最明显,但在干片上也经常可见(图6)。

图6.犬尿中的晶体。(A)干片显示胆红素晶体、单颗粒管型(中心)和一些非晶颗粒材料。(B)X形态鸟粪石晶体和少量红细胞。(C)干片显示一只患有胱氨酸尿症的犬的晶体。所有图像均为60×物镜,采用Romanowsky水性快速染色法。
UFOs:不明物质在尿液湿片检查中很常见,特别是在自由收集样本。染色的干片可用于进一步评估和观察伪影,包括花粉、纤维、润滑剂/超声耦合凝胶和肠穿刺污染(图7)。

图7..干片显示犬尿中有不明物质。(A)显示具有内部细胞壁的植物材料的自由收集尿液样本;60倍物镜,水性Romanowsky快速染色。(B)膀胱穿刺术收集的样本染色,显示来自超声接触介质的大量品红色颗粒超声耦合凝胶;水性Romanowsky快速染色的100倍油物镜。
并发的肠穿刺术:在膀胱穿刺术中可能会无意中进行肠穿刺术。虽然这是一种不常见的并发症,但应该在尿沉渣检查中发现(图8),以避免误认为是感染。

图8.通过膀胱穿刺术收集的犬尿液中的酵母菌和细菌。(A)湿片显示芽殖酵母(针)形态与隐孢菌种一致,一种常见的粪噬污染物;40×目标。(B)染色来自同一只犬的干片,显示酵母和细胞外杆菌;水性Romanowsky快速染色的100倍油物镜。
总结
干样本和湿样本是评估尿沉渣的补充技术。湿样本制备需要更多的培训和专业知识,并且有时在不使用染色剂的情况下进行评估具有挑战性。临床上可以快速、轻松地制备干片,以帮助进一步识别细胞成分和未知成分。尽管细胞成分的定量最好通过湿片检查进行,但在许多情况下,干片制备更优越,包括对细菌、核形态和细胞鉴定的定性和形态学评估。
作者注:康奈尔大学兽医学院在线电子教科书(eclinpath.com/urianalysis)是尿液分析,特别是沉淀物评估和要素的优秀资源。
参考文献
1. O’Neil E, Horney B, Burton S, et al. Comparison of wet-mount, Wright- Giemsa and Gram-stained urine sediment for predicting bacteriuria in dogs and cats. Can Vet J. 2013;54(11):1061–1066.
2. SwensonCL,BoisvertAM,Gibbons-BurgenerSN,KrugerJM. Evaluation of modified Wright-staining of dried urinary sediment as a method for accurate detection of bacteriuria in cats. Vet Clin Pathol. 2011;40(2):256–264. doi: 10.1111/j.1939-165X.2011.00314.x
3. Vap LM, Shropshire SB. Urine cytology: collection, film preparation, and evaluation. Vet Clin North Am Small Anim Pract. 2017;47(1):135–149. doi: 10.1016/j.cvsm.2016.07.009
4. Witschen P, Sharkey LC, Seelig DM, et al. Diagnosis of canine renal lymphoma by cytology and flow cytometry of the urine. Vet Clin Pathol. 2020;49(1):137–142. doi: 10.1111/vcp.12825
5. McConkey SE, Carey AM, Kaiser NC. What is your diagnosis? Granulated cells in the urine of a cat. Vet Clin Pathol. 2020;49(3):494–496. doi: 10.1111/vcp.12887
