病史与检查
患者,女性,63岁;因“发现碱性磷酸酶升高4年,乏力1年余”于2012.12.18入院;经常骨关节疼痛,不重,未介意。
既往体检与门诊病史

入院前检查
【2012-12-07】核素骨扫描:左侧髂骨、骶骨放射性异常浓聚,颅骨弥漫性放射性异常浓聚。
【2012-12-07】SPECT-CT:左髂骨、骶骨局部骨质改变伴 放射性异常浓聚,考虑代谢性骨病或骨原发病变可能。
【2012-12-12】骶椎MRI:骶1椎体信号欠均匀,腰椎退变, 骶管小囊肿。
住院期间检查

查体:三大常规无殊,心、肝、肾功能均正常;肿瘤标志物全(-) ;自身抗体ANA1:100均质型(较以往无动态变化),余自身 抗体(-) ;血、尿KAPPA轻链轻度升高,尿β2微球蛋白略升高,尿本周氏蛋白(-),免疫固定电泳(-) ;三次血尿同步电解质正常。
心电图、心超、胸部X线正位片未见异常;
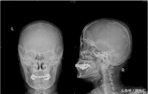
X线片:颅骨弥漫性病变(斑点状骨致密影),胸椎未见明显骨质异常,腰椎退行性变,骶尾椎轻度退变,双髋轻度退变,双膝关节轻度退变;
头颅正侧位X线片

骨密度测定:股骨及腰椎骨量均减少;
骨穿涂片示:骨髓增生尚活跃,髓象中粒系增生尚可
DXA骨密度检测

诊断:Paget’s病
诊断思路:
老年女性,以ALP不明原因升高(325-427U/L)及全身乏力起病;实验室检查提示高骨转换:ALP:343U/L↑;P1NP:356.3 ↑; β-CTX:1.63↑;OCN:46.6;25(OH)D3 43.0nmol/L↓;
检查报告:
(1)颅骨X线:颅骨弥漫性病变(斑点状骨致密影);
(2)骨盆X线:左骶髂关节旁髂骨改变(密度不均),双侧骶髂关
节稍狭窄;
(3)骨扫描:左髂骨、骶骨放射性异常浓聚;
骨髓活检:排除多发性骨髓瘤
骨代谢相关指标随访
