发现很多人的拖延症很严重,比如说:有的人明明知道自己的牙齿长蛀牙了,需要补牙,但是却一直拖着,虽然他们心里都清楚蛀牙如果不补牙的话,越拖越严重,后期治疗更痛苦。可是仍然不愿意进行治疗,仍然拖着......

然后直到有一天,牙齿是在是疼得受不了,这才决定赶紧去找牙医把补牙了,结果悲催的而是,已经补不了啦,得做根管治疗了,这时候很多人才会开始意识到补牙的重要性,对于根管治疗都蒙圈了,到底根管治疗是啥?


简单来说,根管治疗就是口腔医生把有病变的牙齿打开,然后将牙齿里面发炎、龋坏、坏死的牙髓组织用专业器械清除干净,并把牙髓腔内进行(包含牙髓腔壁)消毒,清洁,最后再用牙胶等物把牙髓腔紧密地封填起来。

什么情况下需要做根管治疗呢?
一般情况下,根管治疗适用于牙髓炎,牙髓坏死,以及各种类型的根尖周炎,也包括由于龋齿、隐裂、过度消耗、穿髓等引起的牙髓炎及牙髓坏死致不能保留活髓的情况。
根管治疗的疗程一般需要多长时间?
根管治疗一般来说需要就诊2-4次,大概用时2-3周。但是如果只是补牙的话,情况不是很严重的一般一次就可以。所以有任何牙齿问题已经要及时就医,越早经过医生的治疗,才能越早越省钱省时避免更多的痛苦!
为什么根管治疗需要杀牙神经呢?
因为当牙髓已遭受感染或已经产生不可恢复性伤害时,如果牙髓还有部分活力,就会感到疼痛,为了减轻疼痛的症状,需要将病变牙髓清理干净,防止感染的进一步发展,就需要同时去除牙髓神经,进行根管治疗。
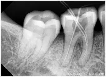
为什么根管治疗需要拍多张牙片?
在进行根管治疗的时候,拍牙片是必须要的程序的,并且至少要保证3张牙片。
第一张在根管治疗前,拍片可以帮助医生更准确了解牙根的基本情况,以制定治疗计划;
第二张在根管治疗中,可以帮助医生了解治疗的情况,比如根管预备是否到位,方便制定下一步治疗方案;
第三张是在根管治疗结束后,帮助判定根管充填质量,以及治疗效果,发现问题及时补救。

为什么根管治疗后还需要做全冠保护?
这点上很多人不理解,大家会觉得在根管治疗后,我的牙齿都不疼了,补上就可以了,那为什么还要做全冠保护,还要我多花钱呢?觉得没有必要。
然而事实绝对不是如此!在根管治疗后,没有了牙髓提供营养的牙齿会变脆,所以剩余的牙冠部分很容易折断劈裂,导致牙齿使用寿命大大降低,因此根管治疗后的确需要做全冠对牙齿进行保护。

温馨提示:根管治疗是治疗牙髓病及根尖周病的非常有效的方法,也是保留患牙非常好的治疗方式。需要特别注意的是,建议大家一定要到正规口腔医院或者口腔门诊进行根管治疗,这样对于治疗更有保障。建议大家一定要定期进行口腔检查,有口腔问题才能及早发现及早治疗。
