#2022重庆头条# #生命摆渡人# #我的2022#
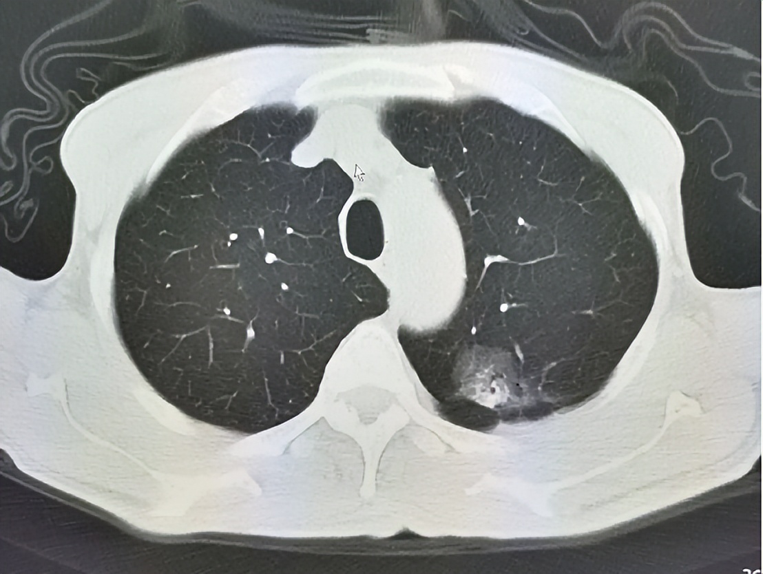
肺磨玻璃结节(GGN)是近几年流行的一个热门词汇,薄层CT的成熟和发展使发现较小的GGN成为可能,也导致体检时发现肺上有磨玻璃结节的人越来越多,和其他肺部结节相比,磨玻璃结节的高癌变概率,使很多病人“谈磨色变”。磨玻璃结节中大概平均18%-33%有可能癌变,但有幸的是,由磨玻璃成分发展起来的肺癌,生长缓慢,是一种惰性肺癌,也可以说是肺癌当中最好治或者说治愈率最高的一种特殊类型的肺癌。
GGN指的是胸部CT影像上表现为密度轻度增高的云雾状淡薄影,样子像磨砂玻璃,所以叫磨玻璃结节。GGN根据有无实性成分分为纯GGN和混和型GGN。如果病灶内只用磨玻璃成分,不含有实性成分,称为纯磨玻璃结节;如果既有磨玻璃成分,又含有实性成分,则称为混和型磨玻璃结节。GGN中的磨玻璃成分对应的是病理上的鳞屑样生长方式,影像学上表现为磨玻璃样影,指异常增生的上皮细胞或分化良好肿瘤细胞以鳞屑样生长或贴壁样生长,表现为增生的细胞沿现有的结构和肺泡壁生长而不侵犯基质、胸膜或血管,保持完整的肺泡结构,基底膜仅有轻度反应。它打破了恶性肺部肿瘤生长或倍增的“两年定律”,不遵守PET检查SUV值增高的规律,表现为非常明显的惰性生长的特点,直径倍增时间可长达3-5年。
目前认为,GGN是遵循不典型增生(AAH)→原位癌(AIS)→微浸润腺癌(MIA)→浸润性腺癌的直线式发展模式的,从影像学角度来看,GGN是从纯磨玻璃结节逐渐发展为部分实性或实性结节,实性成分含量越高,其恶性程度也越显著。各病理阶段的磨玻璃结节预后情况分别如下:
( 1)AAH影像表现为pGGN、直径<5mm(少数10 mm~20 mm)、形态规则,5年生存率为100%。
(2) AlS病理类型多非粘液性。影像表现为pGGN或部分实性结节,直径>5 mm且<. 30 mm,CT值较AAH略高,手术后5年生存率为100%。
(3) MIA病理类型多非粘液性。结节直径直径>10 mm且<30 mm,多为部分实性结节,实性成分<5 mm。MIA期的结节形态可能会出现分叶、支气管充气征、胸膜凹陷,患者术后5年生存率可达100%。
(4)贴壁为主的浸润性腺癌(LPA)
肿瘤细胞沿肺泡壁表面生长,形态学相似于上述的AIS和MIA,和MIA的区别就是浸润灶至少一个最大直径>0.5cm。由于手术切除的浸润性腺癌,其中约80%由多种组织学亚型混合组成,新分类最重要的变化之一是提出按腺癌中最主要的组织学亚型分类,而不再使用混合性亚型。原来的非黏液性BAC主要以沿肺泡壁生长方式,如肿瘤浸润灶最大直径>0.5cm,则诊断为贴壁为主的(LPA)浸润性腺癌,其他亚型分别为腺泡状为主、乳头状为主、微乳头为主和实性为主伴有黏液产物的浸润性腺癌。LPA区分出来作为浸润性腺癌一个亚型,还由于与其它组织学亚型为主浸润性腺癌相比,其预后较好。l期LPA的治愈率达95%。
GGN的预后除开与病理分期密切相关外,还与结节的具体表现密不可分。有研究表明,对于含有磨玻璃结节的患者,磨玻璃成分含量越高,患者的预后越好。该研究以磨玻璃成分比例≥75%为限将患者划分为两组,其中磨玻璃成分≥75%的患者(A组)中,63.3%接受了亚肺叶切除术,这部分患者的复发率较低(A组的患者复发率为2.2%,B组的患者复发率为26.8%),5年生存率较高(A组的患者5年生存率为95.5%,B组的患者5年生存率为77.4%),此外,A组的患者均无淋巴结受累。因此,该研究认为,在磨玻璃结节型肺癌中,磨玻璃成分越高患者预后越好。
此外,一项关于最大径大于3cm的GGN患者的预后也探讨了不同比例的实性成分对患者预后的影响。该研究根据实性/肿瘤比率(CTR)将患者分为三组,即O≤CTR<0.25(A组),0.25<CTR<0.5(B组)以及0.5
上述结果在多发性GGN患者中同样被证实。一项在多发性GGN中关于主病灶大小及实性/肿瘤比率(CTR)对患者预后影响的研究已发表。该研究同样根据CTR值将患者分为两组,CTR≤0.5(A组)及CTR>0.5(B组),结果显示,A组的患者5年生存率是95.8%,B组的5年生存率是68%,A组患者的5年生存率明显高于B组。同时,主病灶≤25mm的患者5年生存率是92.4%,主病灶>25mm的患者5年生存率是53.6%,两组同样存在明显差异。
因此,对于GGN患者来说,不管是单发GGN,或是多原发GGN,只要病灶(主病灶)处于癌前病变、以贴壁生长为主型的肺癌早期、磨玻璃成分≥0.75时,均能取得非常良好的预后。在临床工作中,我们甚至遇到手术后正常生活二十几年的肺腺癌患者,因此,如果有患者朋友查出GGN,请不必太过忧心,新桥医院胸外科拥有专业的医疗团队以及出色的腔镜微创技术将为您的生命健康护航。
注:重庆戴纪刚医学科普,欢迎转载,转载请注明出处。
