
▲林丽珠 广东省名中医,广州中医药大学第一附属医院副院长,医学博士,教授,主任医师,博士生导师。*党**的十九大代表,全国先进工作者。著名中医肿瘤学家及中西医结合肿瘤学家,国医大师周岱翰教授学术继承人,广东省教学名师,首批广东省医学领军人才,全国最美中医,中国好医生,享受国务院政府特殊津贴专家。国家临床重点专科、全国中医肿瘤重点专科负责人及学术带头人,国家区域中医(肿瘤)诊疗中心建设单位负责人,国家药物临床试验机构肿瘤专业负责人,广东省重点学科中西医结合(临床)学科带头人。兼任广东省总工会副主席,《中医肿瘤学杂志》副主编,世界中联癌症姑息治疗研究专委会会长,中国民族医药学会肿瘤分会会长,广东省中医药学会肿瘤分会主任委员,南方中医肿瘤联盟主席等。
医案是中医临床实践的记录,体现了诊疗过程中理、法、方、药的具体运用,是医家诊治疾病思维过程的表现。历代名家医案是中医药宝库中的瑰宝。我们推出【以案说医】栏目,以期传承精华,启迪我辈,共同进步。
【基本资料】
陈某某,女性,50岁,2018年8月27日初诊。
发病过程: 患者2016年11月17日于外院行腹膜后肿物切除术,术后病理示:炎性肌纤维母细胞性肿瘤。经广州达安临床检验中心病理会诊意见:混合型脂肪肉瘤。
2017年6月17日(对比2017年2月24日),上腹部平扫+增强+CT:右中下腹肿瘤术后,病灶已大部分切除,右肾周筋膜增厚,其内结节灶软组织密度灶,考虑部分肿瘤残留。2017年10月13日中山大学附属肿瘤医院病理会诊提示:去分化型脂肪肉瘤。2017年10月26日于中山大学附属肿瘤医院全麻下行腹膜后多发肿瘤切除+肠系膜结节切除术+肠粘连松解术。病理:1、(右腹膜后肿瘤)符合脂肪肉瘤,倾向为去分化脂肪肉瘤,也符合慢性肉芽肿性炎,不排除结核可能。2、(肠系膜肿物)中央有干酪性坏死,不排除结核可能。
2017年11月21日广州市胸科医院病理会诊后拟脂肪肉瘤合并结核,结核性腹膜炎诊断明确。2017年11月21日开始予足疗程抗痨治疗:3HRZE/9HRE。
2018年1月5日复查CT:右腹膜后肿瘤切除术后复发二次术后:L5椎体水平右侧腰大肌外侧结节(直径9mm),考虑残留可能,右肾前缘多个结节状钙化灶。肝胃间隙结节状软组织(最大约6mm×8mm),性质待定,淋巴结?腹膜转移?
【首诊证候】
刻诊: 眠差,入睡困难,睡眠时间3~4小时,疲乏,右侧胁肋部游走性疼痛明显,时为针扎样疼痛,时为隐痛,偶有口干,纳差,二便调。舌淡苔白腻,脉数。
【辨证论治】
西医诊断: 右腹膜后去分化脂肪肉瘤切除术后复发二次术后。
中医诊断: 癥瘕。
证属: 瘀毒内阻,痰湿蕴结。
治法: 祛瘀清热解毒、健脾化痰散结。
处方:
土鳖虫5g,桃仁10g,山慈菇15g,半枝莲30g,龙葵30g,肿节风30g,南方红豆杉6g,醋香附10g,法半夏15g,黄芪30g,陈皮10g,当归10g,鸡内金10g,山楂15g,甘草6g,酸枣仁25g,远志10g,竹茹15g。
分析: 气血津液的运化失常是肉瘤发病的关键环节,而痰饮、瘀血、癌毒是肉瘤发病的病因病机。饮食失调,或情志抑郁,或感受外邪,或素体气虚,可致气机失调,无力运化水湿,津液停聚而成痰;气为血之帅,气虚气滞无以行血,血行瘀滞而成瘀。痰、瘀二者均为阴邪,同气相求,常常相兼为病。痰瘀互结,病久化热,聚而成毒。痰瘀阻滞气机,不通则痛,故出现胁肋部疼痛,邪毒扰神则失眠,素体气虚,脾失健运则乏力、纳差,舌脉皆为瘀毒内阻,痰湿蕴结的佐证。
故治法以祛瘀清热解毒、健脾化痰散结。方中土鳖虫、桃仁、当归、红豆杉等化瘀消癥,化痰散结之品如肿节风、龙葵、地龙、法半夏、瓜蒌皮、竹茹等,清热解毒之品如半枝莲、山慈菇,攻邪不忘扶正,攻补兼施,伍以黄芪健脾益气;陈皮、鸡内金、山楂行气消食,酸枣仁、远志养心安神,甘草调和诸药。
【随诊过程】
二诊:2018年12月27日
患者仍有胁肋部疼痛较前明显好转,胃眠较前好转。舌淡苔薄黄,脉数。二诊时患者纳眠好转,故去山楂、陈皮、半夏、当归、远志、竹茹等品,加强化痰散结之力,加入清热解毒之蒲公英,化痰散结之地龙、瓜蒌皮、浙贝母、预知子。
复诊:
2019年2月25日开始口服安罗替尼胶囊12mg+中医药治疗。因出现足底脱皮伴疼痛,2019年8月29日调整安罗替尼用量为8mg。2020年4月20日增加安罗替尼用量为12mg。遂在中药内服基础上予皮疹外洗方外洗患处,方中佐以白鲜皮、地肤子、金银花、苦参、蒲公英、关黄柏、牡丹皮、薄荷、冰片等清热利湿解毒之品。
【按语】
1、病例特点:中年女性,既往无基础病史。2016年11月行后腹膜肿物切除术,术后病理会诊确诊为去分化性脂肪肉瘤。2017年6月腹膜后肿物复发,行二次手术。2017年11月再次病理会诊后,确诊为脂肪肉瘤合并结核,予足疗程抗痨治疗。2018年1月复查CT,原病灶未见明显复发,肝胃间隙结节性质待排,不排除转移。2018月8月27日于林丽珠教授门诊首诊,开始行中医药治疗。2019月2月开始口服安罗替尼+中医药治疗至今,期间2019年6月复查腹膜后肿瘤复发(肿瘤大小55mm×54mm)。2020年6月末次复查CT提示进展(肿瘤大小72mm×74mm),遂于2020年8月停服安罗替尼;2020年9月于外院行“腹膜后肿瘤切除+右肾切除+右肾上腺切除+右半结肠切除+膈肌修补术”,术后继续行中医药治疗,2021年3月复查未见肿瘤复发及转移。目前患者仍处于随访中,OS长达58个月。
2、腹膜后脂肪肉瘤在软组织肉瘤中发病率较高,是一类具有高度异质性、病理类型复杂的恶性肿瘤。由于腹膜后间隙生长空间较宽阔,位置较深且隐蔽,临床发现时已经生长到相当大的程度。目前手术治疗是治疗脂肪肉瘤的主要方法,完整切除达到肉眼切除干净是腹膜后脂肪肉瘤的目标,对侵犯的脏器者采用累及脏器一并切除。该肿瘤术后易局部复发,对复发者可再次手术,但手术切除难度大且复杂。
3、软组织肉瘤多归于中医的“筋瘤”、“石疽”、“肉瘤”等范畴。中医古籍出现类似软组织肉瘤描述的有“六瘤者,随气凝结皮肤之中,忽然肿起,状如梅李,皮软而光,渐如杯卵”;“瘤则有六,骨瘤、脂瘤、气瘤、肉瘤、脓瘤、血瘤,亦不可决溃,肉瘤尤不可治,治则杀人”(《证治准绳》)。
中医认为气血津液的运化失常是肉瘤发病的关键环节,而痰饮、瘀血、癌毒是肉瘤发病的病因病机。饮食失调,或情志抑郁,或感受外邪,或素体气虚,可致气机失调,无力运化水湿,津液停聚而成痰;气为血之帅,气虚气滞无以行血,血行瘀滞而成瘀。痰、瘀二者均为阴邪,同气相求,常常相兼为病。痰瘀互结,病久化热,聚而成毒。
基于以上对肉瘤病因病机的认识,林丽珠教授以“痰瘀相关”的辨证思路治疗肉瘤,以“坚者削之,结者散之”立法,用药上多以祛瘀清热解毒、健脾化痰散结之品。临证时,林丽珠教授擅用活血化瘀之品如莪术、土鳖虫、桃仁、当归、地龙等,化痰散结之品如肿节风、龙葵、桔梗、法半夏、瓜蒌皮等,清热解毒之品如半枝莲、山慈菇、白英、蒲公英等治疗肉瘤。
同时,林丽珠教授辨治软组织肉瘤攻邪不忘扶正,攻补兼施,临证上兼有脾气虚者,伍以茯苓、白术、黄芪等健脾益气药;肾精亏虚者,则予山茱萸、女贞子、墨旱莲、熟地黄、淫羊藿等补肾填精、滋阴补阳之品。
4、安罗替尼为我国自主研发的新型口服小分子TKI,是中国上市的第一个针对软组织肉瘤的靶向药物,II期及III期临床研究数据显示其可控制肿瘤稳定延长生存期。安罗替尼常见的不良反应包括手足综合征、高血压、出血、蛋白尿等,对于本例患者服用安罗替尼之后出现手足综合征的不良反应,林教授以清热利湿、凉血解毒为治疗原则,结合中药特色的外治法外洗患处。在之后的随访中,患者足底脱皮伴疼痛的症状明显好转。
5、中医中药治疗通过调和平衡脏腑功能、平衡阴阳气血、扶正抑瘤,改善病人症状和减轻抗肿瘤治疗的副反应、提高生活质量,延长生存期。中医药作为腹膜后肉瘤治疗的辅助手段,可实现“带瘤生存”的目的。本例患者经过术后进行中医药联合安罗替尼治疗,患者的总生存期达到4年余。
郑重申明:
由于每个人的体质和病情不同,本案中的方药和剂量仅适用于本案病人当时的病情。未经中医辨证诊治,不得照搬使用本案中的处方和剂量。广大读者如有需要,应前往正规医院诊治,以免贻误病情。■
附:
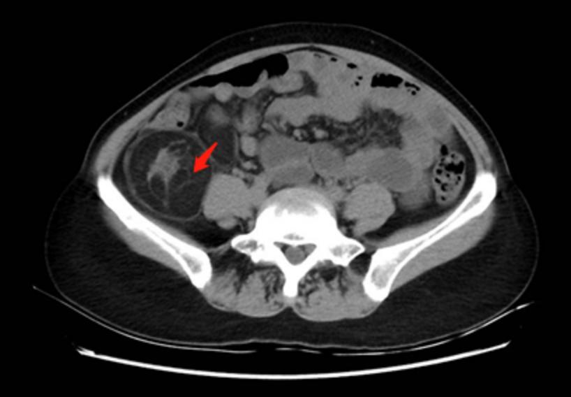
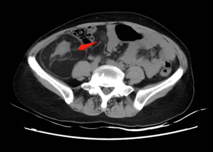
1、患者盆腔肿物逐渐增大,但未见明显不适。
辅助检查:我院腹部CT(肿物最大直径处截图)。
2019年1月17日右中下腹膜后肿瘤复发(37mm×34mm),肝肾间隙及肝右叶外缘新见多发转移灶(17mm×15mm)。
2019年4月11日右中下腹膜后肿瘤复发(55mm×54mm),肝肾间隙及肝右叶外缘新见多发转移灶(17mm×15mm)。
2019年11月04日我院腹部CT复查:1.脂肪肉瘤术后改变,考虑右中下腹膜后肿瘤复发,较前进展(55mm×54mm);考虑肝肾间隙及肝右叶外缘新见多发转移灶(17mm×15mm)。2、胆道积气,胆道感染待排;考虑肝S4小囊肿,肝S5肝内胆管小结石,胆囊小结石,右肾小囊肿,同前。3、.胸腰椎退行性变。4、胸部CT检查未见明显异常。

2020年6月17日腹部CT复查:1、符合脂肪肉瘤术后改变,考虑右中下腹膜后肿瘤复发,较前进展(72mm×74mm,前片约55mm×54mm);考虑肝肾间隙及肝右叶外缘转移灶,部分较前进展(17mm×15mm),右肾后间隙新发转移灶(直径14mm,前片约10mm)。2、胆道积气,请结合临床;考虑肝S4小囊肿,肝S7/8段交界区血管瘤。肝S5肝内胆管小结石,胆囊小结石,右肾小囊肿,同前。十二指肠球部溃疡可能,局部粘膜连续性欠佳,请结合临床,建议内镜检查。3、右中肺及双下肺少许纤维灶。主动脉硬化。升主动脉瘤样扩张。



【来源:广州中医药大学第一附属医院、广东省名中医林丽珠教授传承工作室, 本案整理:林瑞婷 余玲,审定:林丽珠 】