有的朋友反映洗了牙发酸,甚至是没洗牙的朋友吃口苹果都发酸,这就是所谓的“酸倒牙”啦~这是什么情况?

酸倒牙是什么情况
“酸倒牙”是牙本质过敏的特有症状,主要是在吃酸、甜、冷、热食物时,牙齿有酸软无力或疼痛等感觉。因此,有“酸倒牙”的人,往往不愿意吃带有酸味的水果,也不愿意吃甜食,更不愿意用冷水或热水漱口、刷牙。
牙齿发酸,这些问题您得注意:
1、过多食用酸性食物:过多的食用酸性食物,如橘子、山楂、梅子、酸味果汁等,可能会使牙本质过敏,或腐蚀牙釉质使牙本质暴露,继而引起牙齿发酸、疼痛等症状。此类患者需停止食用酸性物质,并用一些抗过敏牙膏,严重者可取齿科医院进行处理和治疗。
2、牙齿磨损:咬合不良或患有磨牙症、紧咬牙的患者,可能会出现牙齿过度磨损、磨耗,导致牙釉质被破坏,牙本质暴露,牙齿变得敏感、酸痛。如有患者存在此类问题,要及时纠正或到医院调整咬合、治疗疾病,必要时可做牙齿矫正。若已出现牙齿敏感,须让专业的齿科医生来进行牙齿治疗和修复。

3、使用具有某种特殊功效的牙膏:有一部分人为了使牙齿变得更白、更亮,而使用一些含有大量研磨剂或增白剂的牙膏,而这些成分则有可能会使牙齿牙釉质遭到破坏,牙本质暴露,产生牙齿酸痛的症状。牙膏只是辅助清洁的工具,即使具有美白功效,也是过一阵子就会恢复原样,想要健康美白还是前往齿科医院借助医疗手段来进行美白。
4、牙齿缺损:日常生活中,人们经常会遇到因为啃咬过硬的食物或外伤等造成牙齿折断、缺损,而缺损会使牙本质暴露,牙齿敏感酸痛是必然的事情,而牙本质的长期被刺激,还有可能会使牙髓充血,甚至牙髓发炎。因此,牙齿缺损要及时进行补牙或冠修复。

5、牙周炎:牙周炎发展到中后期,就会造成牙龈萎缩,牙槽骨吸收,牙根暴露。当牙根暴露时,牙齿酸痛、敏感就会随之而来。解决此类问题最有效的方式就是到医院进行牙周治疗,控制炎症,然后视情况对牙齿进行修复和治疗。
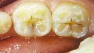
6、龋齿:龋齿又分为浅龋、中龋和深龋。初期浅龋只是釉质龋,并没有什么明显症状,大多只表现为牙齿表面出现脱矿,有白垩色或黄褐色、黑色斑块。到了中龋及深龋,龋坏就会发展到牙本质,此时就会出现牙齿敏感、酸痛,吃冷热刺激性食物时,会出现一过性刺激痛。对于此种原因,要及时进行腐质去除,然后补牙。

怎样防治“酸倒牙”呢?可从以下几个方面入手:
1、养成良好的饮食习惯。平时牙齿就不怎么好的人,要避免食用过冷、过热的食物,不要吃太硬的食物,以减少牙齿的过度磨损。咀嚼食物要用双侧牙,饭后要漱口。
2、注意口腔卫生,养成良好的刷牙习惯,用温水漱口。某些人刷牙方法不正确,用“拉锯式”横刷,时间久了会在牙颈部刷出一道“V”形沟,称为楔状缺损。由于楔状缺损的底部靠近牙髓神经,所以酸、甜、冷、热等因素都会对神经造成刺激,引发“酸倒牙”。

正确的刷牙方法应为不损伤牙齿及牙周组织的竖刷法。刷上颌后牙时,将牙刷置于上颌后牙上,使刷毛与牙齿呈45度,然后转动刷头,由上向下刷,各部位重复刷10次左右,里外面刷法相同。刷下颌后牙时,将牙刷置于下颌后牙上,刷毛与牙齿仍呈45度角,转动刷头,由下向上刷,各部位重复10次左右,里外面刷法相同。
上、下颌前牙唇面刷法与后牙相同。刷上前牙腭面和下前牙舌面时,可将刷头竖立,上牙由上向下刷,下牙由下向上刷。刷上下牙咬合面时,将牙刷置于牙齿咬合面上,稍用力以水平方向来回刷。此外,牙刷应选用毛比较软、刷头较小的保健牙刷,并每3个月更换1次。

3、选用氟化钠或脱敏牙膏刷牙。刷牙时将膏体涂在牙齿敏感处3~5分钟,以便让药物成分充分与牙齿接触。每天早晚要各刷1次,每次不能少于3分钟。此外,含漱具有脱敏作用的药剂,常用的有3%的氯化锶溶液,每日含漱3~4次,每次3分钟,使药液充分接触牙齿过敏区。注意在治疗期,每次刷牙要避免刺激过敏区。
4、食物疗法也能起到一些作用。如咀嚼茶叶、生核桃仁或用生大蒜的新鲜断面反复涂擦过敏区。这样可以起到封闭牙本质小管,形成继发性牙本质的作用,也就可以减小酸、甜、冷、热对牙髓的刺激,从而达到牙齿脱敏。咀嚼普通干茶叶3~5分钟,茶叶中的鞣酸可提高牙神经对刺激的抵抗力,从而降低牙神经的敏感性。
