4岁儿童长出“双排牙”不得不一一拔掉!爸妈:只怪我们太宠溺
如今的孩子们,真是各种被家长宠爱,溺爱。可是很多父母大量的,把时间用在工作上,没有太多时间关注孩子的成长。
所以他们就在物质上,各种满足孩子,要什么买什么,而且买的还都是最贵的。这使孩子们,心里上得到了很大的满足。

偏偏就是这种盲目的宠爱,给孩子带来了严重的后果。
说到这里,小编想到了一个朋友,她和她的丈夫都在二十出头,正是奋斗的年纪,因此,他们在外奋斗,就把孩子,让孩子的爷爷,奶奶来带。
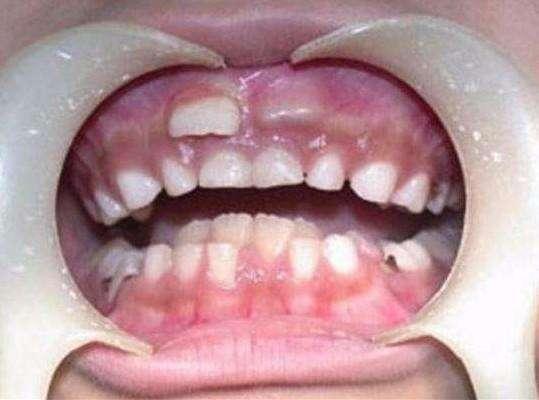
有次我们同学聚会,她把孩子一起带来了,小孩看着文绉


绉的,特别让人喜欢,不料,当他笑的时候,偏偏漏出了:双排牙“不禁吓了我一跳。连忙问道:“孩子的牙齿怎么会是这样?”我朋友说:“平时我们不在家,孩子都是爷爷奶奶带,怕孩子的营养跟不上,我们就大量的给孩子买奶喝。平时,一天能喝将近一箱奶!可能是因为这导致的把”天哪,多么的惊人,一天将近一箱,那不就等于是,一直不停的在喝奶吗?
我朋友说平时他的小孩在家,各种被爷爷奶奶宠爱,想要什么,想吃什么从来都不会懈怠。对他简直是没有一点脾气,他说什么,那就是什么。
可毕竟孩子慢慢的在长大啊,形象也是非常重要的啊。于是,当他们发现的时候,就赶紧带着孩子去看医生。对于他的情况,医生说要想治疗,就必须全部拔掉才行!如果不及时治疗,就会横向发展。
听了医生的建议,把孩子的家人都心疼坏了。奶奶泪滴滴的说:“这得让孩子受多大的罪呢?”具体什么原因他们也不是很清楚,就问了医生,医生说到:“这和平时的饮食,有着大大的关系,比如吃的食物太软,或者大量的喝奶,吃甜食等。”
确实是啊,现在市面上的好多诱人的甜食。比如:蛋糕,各式各样的。大人都抵不住诱惑,更何况是孩子们呢。但经常这样饮食不规律,大量吃甜食,喝奶就会造成很多不好的因素。针对小孩子的事件给大家说一些需要注意的。
比如:长期饮食不规律,吃饭快,或者暴饮暴食,有时候吃的多,有时候吃的少。久而久之,就会导致胃病。尤其现在的小孩子们,一贪玩,就把吃饭抛之脑后了,很多情况下,都是想什么时候吃,就什么时候吃。根本不按照饭点时间来吃饭。 如果像我朋友孩子,这种状况,因为不好好饮食,大量喝奶造成长出双排牙,这后果,不仅影响孩子的外观,还要花时间长期治疗,一颗一颗的拔掉,听上去多么的疼痛,可这么小的孩子现在就要经历这样的痛苦。
在这里小编为大家建议一些孩子们的健康饮食:不要让孩子大量的吃大鱼大肉,不要让孩子养成吃宵夜的习惯,应该让孩子多样化的饮食,不要惯纵挑食习惯,多吃水果,和吃蛋白质丰富的物质。