
导读:肥大性骨营养不良(HOD)是一种全身发育非脓性炎性骨病。该疾病主要影响大型和巨型的幼犬,集中于4-8月龄较多。肥大性骨营养不良会令到身体处于发炎状态,可以影响肺部、胃肠部和皮肤。
养过小狗的朋友肯定熟悉一只健康小狗的正常生长速度,尤其是当它们还是幼犬的时候,生长速度是最快的。到了一定的年龄,就会慢慢停止下来。但是,某些幼犬和正处于青春期的小狗,快速生长并不是一件好事,特别在大型或巨型品种的幼犬当中,则有可能是骨骼生长板中处于炎症状态,导致了肥大性骨营养不良(HOD)。
(注:以下简称HOD)
HOD通常是一种自限性疾病,没有永久性副作用。不过在极少数情况下,疾病很有可能会令生长板永久损坏,导致腿部变形。
客户小陈家养了一只金毛猎犬,5月龄,邻居一般喂它高品质犬粮,每日补充营养品。过了一个月左右,金毛猎犬出现跛行行为,非常不爱运动,在影像学过程中,发现金毛猎犬的生长板逐渐呈现钙化,桡尺骨处有明显的压痛。细细检测后诊断为犬肥大性骨营养不良。

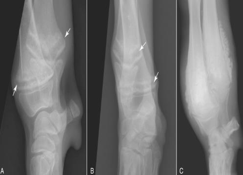
5个月大的肥大性骨营养不良的大丹犬尺骨X光片
什么是肥大性骨营养不良?
乍一听,以为是主人喂食过少引起营养不良。实则不是。
肥大性骨营养不良也称为骨骼坏血病,Barlow氏病或Moller-Barlow氏病。最早是在1930年代中期的文献记载中出现。发病部位通常集中在桡骨、尺骨周围的生长板和胫骨等长骨的干骺端。尽管它主要只影响前两条腿,但也有可能发生在爪子,肋骨和下颌中。
这通常在刚出生的头几个月内就可以看到,但是有些小狗直到两到三岁才会出现迹象。这是一种非常痛苦的疾病,可能会使小狗腿部异常肿胀,甚至造成严重的伤害,可导致永久性残疾。
据临床报道,通常以下这些品种最容易受到影响:大丹犬、爱尔兰猎狼犬、圣伯纳德犬、拳师犬、大麦町犬、爱尔兰红白长毛猎犬、杜宾犬,德国牧羊犬,拉布拉多猎犬,牧羊犬,灵狮狗、巴吉度猎犬和一些梗犬。

肥大性骨营养不良的病因
目前人们仍无法确定骨骼快速生长的病因,但是,归纳起来有以下几种猜测:
1、小狗身体内的维生素C不足。该疾病最初被称为犬骨骼坏血病,是因为它与人类婴儿骨骼坏血病具有某些临床和放射学相似之处。一些病犬体内肝脏和小肠中合成维生素C的能力降低,以及在某些临床病例中自发恢复到“正常”值,和在某些临床情况下对维生素C治疗起了明显“迅速”的恢复反应,在很大程度上起到了一定影响。
2、可能是对某些免疫接种(例如犬瘟热病毒免疫接种)的严重反应。有一些研究表明,使用改良的活疫苗后,肥大性骨营养不良的病例数量增加。但是,这只是推测,因为免疫接种恰逢许多狗的快速生长年龄。
3、过量摄入矿物质或者维生素D等营养补充剂。
4、最后的理论归咎于幼犬的饮食。成长中的幼犬倾向于吃蛋白质和卡路里含量高的食物,这可能会导致生长过快。幸运的是,这种疾病是能够自我调节的,一旦骨骼完成生长,大多数狗的症状和体征就会消失,不会出现长久不能痊愈的问题。
但不幸的是,肥大性骨营养不良的病因尚未得到全面的了解,这使得该病难以预防。 可我们知道的是,年龄在4个月至3岁之间的大型犬和巨型犬受到的影响最大,尤其是雄性。

肥大性骨营养不良的症状是怎么样的?
刚开始时,主人可能只注意到小狗有轻微的跛行感,并且在触摸患处时小狗会感到疼痛。随着疾病的发展,症状会变得更加明显。
前腿(靠近生长板的区域)疼痛和肿胀是最明显的迹象,但这取决于疾病的严重程度。 然而更严重的时候,小狗会表现出厌食症,体重减轻,发烧和抑郁,无法站立,脊柱弯曲,并拒绝在肢体上承受重量。
其他体征可能包括发烧,食欲不振,嗜睡,皮肤结节,腹泻,眼分泌物和鼻分泌物。该病痛起来是双侧对称的疼痛,症状期约为1周,通常自发缓解。

诊断步骤是如何的?
肥大性骨营养不良症的诊断一般是根据体格检查,血液检查和X射线照片进行的。为了准确诊断HOD,兽医将进行完整的体格检查并获得有关小狗的详细健康历史记录。体格检查可发现小狗上述的临床症状。
全血细胞计数以筛查小狗体内是否存在疾病,是否感染,发炎,贫血和其他与血液有关的疾病。
但最重要还是依靠X光线检查报告为主。
X光线通常显示病变骨头的变化,例如与生长板平行线的外观,骨密度的变化以及生长板周围的钙化。
另外兽医还可能需要其他诊断检查才能更准确地诊断。这些检查可能包括:
化学测试以评估肾脏,肝脏和胰腺功能以及血糖水平。
尿液检查可筛查尿路感染和其他疾病,并评估肾脏浓缩尿液的能力。

治疗方法有哪些?(重点)
如果疾病到了十分严重的程度,兽医会建议小狗入院治疗,直到它能够自行进食喝水和行动自如为止。
而HOD的治疗通常涉及非甾体类抗炎药物,如卓比林,止痛药(即曲马多)和皮质类固醇(即泼尼松)以帮助缓解关节疼痛和肿胀。因为没有彻底治愈方法,而且它是自我限制的,所以治疗的主要目标是缓解疼痛。
脱水的小狗可能需要静脉输液治疗。平时的饮食可加入维生素B和维生素E,还可以用萨沙粉为小狗的软骨做保护。合理的搭配幼犬的饮食,幼犬每天每千克体重需钙530mg磷440mg,切勿喂食大量难以消化的动物内脏。
建议休息一下。几周后,大多数幼犬都会开始好转。

肥大性骨营养不良的预后怎么样
预后结果取决于疾病的严重程度。
大部分小狗都可以恢复得很好,生长板闭合后很少出现复发情况。但如果病龄过长没有得到治疗,那么小狗可能会出现手脚永久性弯曲畸形。
一旦狗成年,就有望完全恢复,但是复发很常见,直到生长板闭合。
预防
虽然人们还没有完全了解HOD的病因,但有人认为它与高蛋白饮食或维生素C有关。由于尚不清楚HOD的病因,因此很难预防HOD的发作。可明确一点是,主人应尽量避免喂养营养添加剂,只要饮食合理,一般是不需要额外添加。
( 本文图片来源于网络,侵删)