遗传病或遗传性疾病是指人体内遗传物质的结构或功能发生异常,并按一定的方式传递给后代的疾病,多具有垂直传递和终身性特点。
遗传性口腔疾病是指病变集中发生在口腔颂面部,以及一些伴发口腔颂面局部组织异常的全身性或其他系统的遗传病,不但具有医学遗传学的一般特点,还具有口腔医学的独特性、复杂性。
可分为单基因遗传病、多基因遗传病和染色体病等,遵循孟德尔遗传方式。明确此类疾病的致病基因和分子发病机制将有助于深入理解口腔颌面部组织正常发育的生物秘密,为预防和控制此类疾病提供新的线索和理论依据。

2002年,Hart团队首次报道了遗传性牙銀纤维瘤病巴西家系的致病基因,此后发生于牙周组织的HGF引起了口腔及遗传学界的重视。HGF是一种罕见的以牙龈组织增生为显著特征的良性口腔病变。
病因及发病机制尚不明确。临床主要表现为牙龈的弥散性、渐进性增生,病变主要累及膜龈联合下方的龈缘、龈乳头和附着龈。
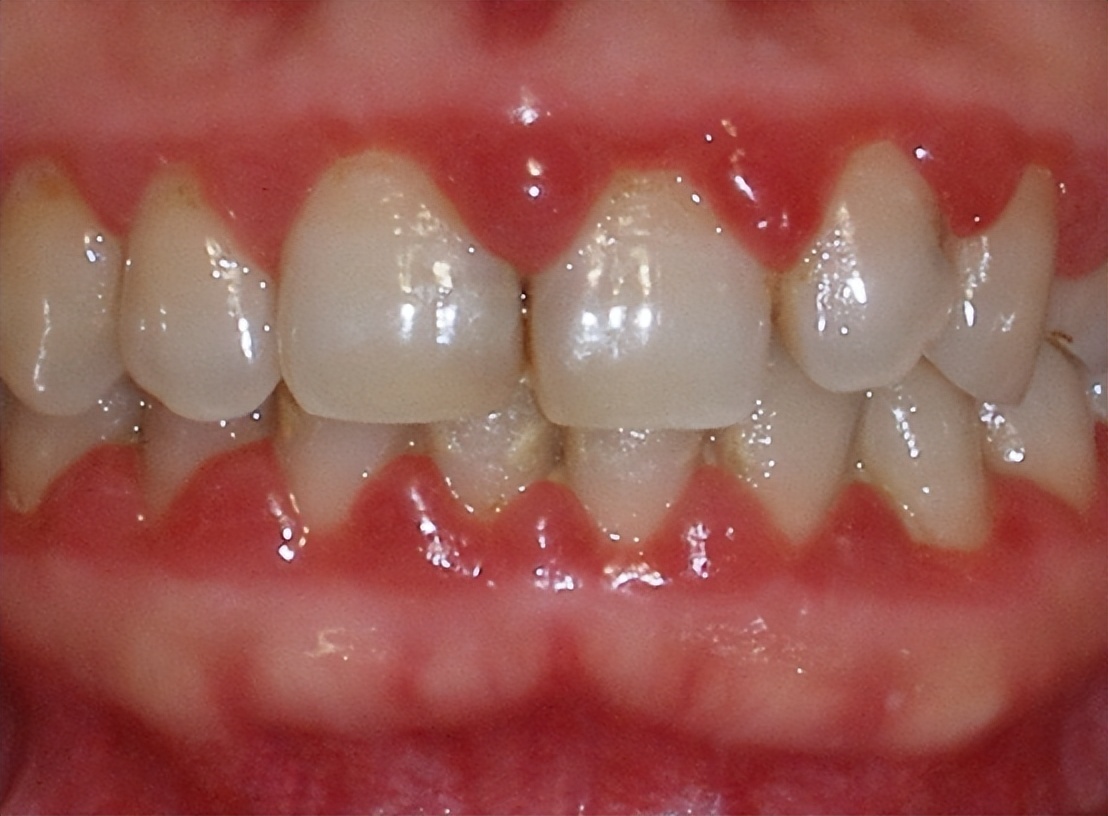
增生牙龈颜色粉红,表面光滑或呈结节状,组织坚初,点彩明显,不易出血,可覆盖部分或整个临床牙冠,多合并乳牙滞留、恒牙迟萌、牙齿错位、错拾畸形等症状,导致牙列甚至颌面部的形态异常,严重影响咀嚼、美观与发音。

易致患者产生自卑感,严重影响患者的生活质量。该病大多存在家族聚集性,国外发病率为1/175000,而在国内尚无确切报道,无性别差异,外显率具有可变性。
主要以常染色体显性遗传为主M,也有研究显示呈隐性遗传偶有散发病例。探寻HGF家系的致病基因位点、明确遗传病因及分子致病机制。
为牙龈组织的生长发育尤其是HGF的生理增殖机制提供新的线索,为HGF的临床诊治、遗传咨询和预防提供新的理论依据和新的研究靶点。

一、临床表现
HGF的临床表型丰富多样,不同遗传背景、不同个体间差异明显。根据临床.表型可将HGF分为非综合征型和综合征型,前者表现为牙龈增生的单一症状。
而后者除了口腔内牙龈过度增生外还伴发全身其他系统性病变,综合征等均可在口腔局部表现出牙銀异常增生的临床症状,因此临床需要仔细鉴别诊断。
根据增生形态可将HGF分为结节型、弥散型以及二者的混合表型,前者主要以多个牙龈乳头的增生肥大为特征,而后者则表现为牙龈组织的广泛性肥大。

根据增生体积又将HGF分为局限型和对称型。1998年11时等提出110的诊断标准:牙龈增生的范围不少于5个牙位,覆盖临床牙冠的1/3以上;患者存在明确的家族史。
没有服用苯妥英钠、硝苯吡陡、环胞菌素等诱导牙銀增生的药物,排除药物引起的牙龈增生;没有合并全身系统性疾病和异常表型;组织病理学检查符合HGF典型特征。其后学者们陆续报道了HGF的散发病例。
使得“患者存在明确的家族史”这一标准不再适用。1996年Machado等根据患者牙龈的增生严重程度进行分级,I级:轻度增生,增生牙龈达临床牙冠的1/3。

II级:中度增生,增生牙龈达临床牙冠的1/22/3;III级:重度增生,牙龈覆盖超过临床牙冠的2/3。
二、组织学特征
口腔临床接诊的患者大多为非综合征型HGF,病理特征主要表现为鱗状上皮层的异常增生,钉突明显延长或深入固有层相互交织形成上皮网,棘层增厚,结缔组织中充满增生的粗大胶原纤维束,成纤维细胞与血管成分较少,可伴有轻度或无炎症细胞浸润。
此外,部分HGF患者还可观察到牙龈结缔组织中散在分布的钙化颗粒、淀粉样沉积、牙源性上皮岛、骨化生和黏膜溃疡等病理变化。

对突变基因进行分析,发现其主要与纤维连接蛋白和免疫系统相关
,牙龈纤维结缔组织中胶原蛋白过度积聚,成纤维细胞的增殖明显高于正常牙龈。
TGF-P是伤口愈合和组织再生的重要介质,它能够刺激成纤维细胞产生细胞外基质,成纤维细胞的TGF-P亚型和受体表达差异,可能引起胶原合成与降解的动态平衡被打破。
对巴西病例的牙龈组织进行超微结构观察发现,结缔组织中细胞外基质呈絮状分布,胶原纤维束大小不一,耐酸纤维增加,弹性纤维减少。而灿7311等观察病变牙龈组织超微结构发现,牙龈组织中除了含有大量成纤维细胞外,还有肥大细胞及其颗粒。

由此推测,肥大细胞及肥大细胞颗粒可能在刺激成纤维细胞的胶原合成中发挥着某些特定作用。
目前,关于HGF的组织学研究大部都集中在结缔组织改变,Araujo等研究HGF患者牙龈上皮的形态模式,发现HGF牙龈具有更高和更深的上皮乳头,并且EGF和EGFi表达模式与乳头尖端区域的细胞增殖潜力呈正相关。
此外,对HGF患者牙龈组织进行Ki-67免疫标记,发现Ki-67在HGF患者的病变结缔组织中没有阳性表达,在上皮基底层的阳性表达与正常人无统计学差异。

也有学者使用K1-67进行免疫组化分析发现,胶原纤维的累积主要是由成纤维细胞中胶原蛋白及糖胺聚糖的增加引起,并非成纤维细胞的增殖。
这些结果表明,HGF结缔组织增生可能还与细胞外基质的过度合成和堆积密切相关。
三、细胞学改变
多数学者认为,结缔组织的损伤和细胞外基质的过量累积在HGF的发病机理中同等重要。
HGF患者的细胞外基质发生改变,成纤维细胞功能异常,导致胶原合成与降解的动态平衡被打破,使得胶原纤维异常堆积。

通过一项研究发现,HGF患者牙龈成纤维细胞的增殖率显著高于正常对照个体,患者和正常人的细胞形态均呈纺锤状。针对苯妥英钠引起的牙龈增生进行研究,同时也发现患者的成纤维细胞增殖率明显增高。
HGF和药物引起的牙龈增生疾病在临床表现、组织病理表现和细胞学变化方面均非常相似,但其发病机制仍未明确。Hart等收集一例SOS/基因突变(C.3248—3249insC)患者的牙龈成纤维细胞。

通过比较其与正常牙龈成纤维细胞的增殖活性、黏附以及胶原结构的变化,发现无论是平面或三维培养,基因突变的细胞增殖均较快,细胞表面有板状伪足和膜皱褶形成的突起,在三维胶原培养系统中。
HGF的胶原结构紊乱、密度增加。这项研究提示基因突变对成纤维细胞增殖能力发挥重要调控作用,SOS1蛋白作为鸟嘌呤转化因子,可通过参与Ras通路进而影响细胞的增殖、移行和分化。
对一例HGF病例研宂发现,HGF患者的成纤维细胞增殖较对照组缓慢,但其胶原和黏多糖的合成明显高于正常人。综合考虑HGF患者的牙龈细胞增殖情况,发现结果存在两极化。

说明该疾病的个体间差异较大,细胞的增殖变化在不同病例中可能发挥着不同的作用。
四、全外显子组测序技术
基因的外显子区域富含蛋白质合成所需的大量遗传信息,涵盖了与个体表型相关的功能性变异,研究表明85%以上的单基因疾病的突变位点位于外显子区域力。
全外显子组测序可准确检测到基因组及基因组蛋白编码区的变异,目前是寻找单基因遗传病致病基因的有效手段,为疾病的病因学研究提供了崭新的思路和快捷的方法。

全外显子组测序的原理是通过特制的芯片捕获基因组中外显子区域的DNA序列并进行集中测序分析,通过寻找突变位点筛选候选基因,进而验证明确这种单基因病的致病基因。
全外显子组测序能够识别出一系列包括单核苷酸多态性变异、基因序列的插入或删除等多种DNA多态性和错拼。
目前,全外显子组测序技未在遗传疾病相关致病基因的筛选鉴定中十分成熟可靠,已成为目前基因测序的首选方案。通过测序技术,我们不仅能发现基因的常见及罕见变异,还能对发现的突变基因进行注释和功能途径分析。

外显子区域在整个基因组中仅占1%左右,所以WES技术只需付出较少的研究经费便可获得编码区的深度测序数据,相较于GWAS而言性价比相对较高。
结语
综上所述,HGF的病理学改变典型但又具有明显的个体差异和高度的遗传异质性,已有多项研究报道了与110卩相关的多个基因座,也有研究表明该病的发生与药物刺激或其他环境因素存在某种内在关联。
HGF的致病机制存在不一致性,不同家系或特发病例的致病基因定位不同,相应不同患者的组织或细胞中的细胞因子改变亦不相同,这一疾病特点使得进一步深入研究其致病机制困难重重。

将分析HGF家系患者的临床特征,并结合已报道致病基因的突变检测和全外显子组测序技术筛选该家系的候选致病基因,这一研究将进一步深入探索HGF的致病新基因。
为牙龈组织的生长发育尤其是HGF的生理增殖机制提供新的线索,为HGF的临床诊治、遗传咨询和预防提供新的理论依据和新的研究靶点。