刚刚过去的几天,
某女星代孕一事闹得沸沸扬扬,
关于女性生育方式、
生育焦虑的话题再一次受到广泛讨论。

图片来源 微博
代孕不仅面临着道德伦理问题,还可能对供卵者、孕母造成无法挽回的伤害。对于代孕,自然是全民*制抵**的,在我国,代孕是非法的。既然代孕不合法,那冻卵呢?
曾有多位女明星已经明确表示有冻卵计划,叶璇在2014年就高调宣布自己冻卵了;徐静蕾接受某杂志采访向媒体承认,自己已经在国外冷冻了自己的卵子,说这是给自己留的后悔药……
但,冻卵也只是折中之计,比起后悔药,它更像一张彩票。
01
冻卵到底是什么
冻卵是让那些还没有做好孕产准备的妇女接受一种手术,将一些健康的卵子取出并冷冻起来,以备将来使用。
1986年,全球首例冷冻卵子获得成功,但此后由于卵子复苏难度大,形成生殖细胞难度大,这一技术一度沉寂。
2010年前后,出现了一种玻璃化冷冻技术,可以更有效的提高冷冻卵子的复苏率。
玻璃化冷冻技术——
将高浓度的冷冻保护剂在超低温环境下凝固,形成不规则的玻璃化样固体,保存了液态时正常分子和离子分布,因而在细胞内发生玻璃化时能起到保护作用。
一颗卵子想要成为健康的宝宝,那可是要过五关斩六将的,对应的数据情况大致如下:
卵子10颗,受精卵8-10颗,3天胚胎6-8颗,5天囊胚4-6颗,通过PGS的囊胚3-4颗,着床成功的囊胚2-3颗,健康出生的婴儿1-2个。
整个过程中,任何一个环节出了问题都不能活产,所以冻卵能生下健康小孩的概率是经过几次“折损”的概率。以上只是一个普遍大概率,最终的结果还是要根据具体情况出发:年龄大小、身体情况、家族遗传……
徐静蕾曾经在采访中坦言:冻卵后成功生下健康小孩的概率为15%-20%。

02
哪些人能冻卵?
《人类辅助生殖技术规范》,其中规定:“禁止给不符合国家人口和计划生育法规和条例规定的夫妇和单身妇女实施人类辅助生殖技术”。也即是说,医疗主管部门不允许对未婚女性实施辅助生殖技术手术,而冻卵属于辅助生殖技术的一种。
也就是说,国内尚未对单身的健康女性开放冻卵技术。只有符合条件的已婚女性才能进行冻卵手术。
1、患有恶性肿瘤的已婚女性
放、化疗对卵巢功能的损伤是无情的,极易导致卵巢早衰或提前绝经。因此患者可以在手术和化疗前先进行卵子冷冻,以备将来试用。
2、需通过试管婴儿技术辅助生育的已婚女性
不孕症女性在取卵当日,男方不能及时提供精子的,只能先将卵子冷冻保存起来。
03
理性看待冻卵的风险性
首先 “冷冻卵子”存在一定的风险,比如解冻、受精、受孕等这些过程都不是100%成功的。
如果冷冻技术不过关,解冻后卵子不存活,对于女性身体也是一种无谓的透支。
其次,对于年轻女性来说,冻卵要经过一个促排卵的过程。促排卵药物易过度刺激卵巢,使女性患卵巢过度刺激综合征,引发腹水、肿胀、月经不调、卵巢早衰等情况。最重要的是,取卵手术可能会造成创伤、出血和感染,严重时会损伤卵巢功能。
- 取卵

图片来源 网络
取卵的方法如上图,在超声的引导下,从长针穿过阴道壁,直接伸到卵巢,再将成熟的卵子一颗颗抽出。
- 卵巢过度刺激综合征 (OHSS)
大部分正常生育年龄女性,每个月经周期仅排卵1个成熟卵子。正常的辅助生殖仅会取8~15个卵。
而有部分灰色机构,为了一次取得二三十个甚至更多卵子,无视女性健康,造成过度取卵。

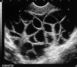
充满卵泡的卵巢
随之而来的潜在的风险就是OHSS。
患有OHSS的女性,可能会有不同程度的 腹胀、恶心、呕吐、腹泻、体质量快速增加、少尿或无尿、血液浓缩、血容量不足、电解质紊乱、胸腔积液、心包积液、腹腔积液、呼吸窘迫综合征,伴血栓形成倾向的高凝状态及多器官功能衰竭[2] 。
而且,增大的卵巢如果发生卵巢扭转或卵巢囊肿破裂、出血等并发症,必要时也要采取手术治疗,有可能影响女性的生育功能[3]。
总的来看,冷冻卵子是要付出一定代价的。你不仅要花时间和金钱做取卵手术,还要承受卵子复苏失败甚至全军覆没等种种风险。
参考资料:
[1]Tessa. 冻卵生育的"后悔药"还是"卵实力"[J]. 健康大视野, 2015(16):16-16.
[2]姜李乐,曹国昌,梁琳琳,张翠莲.卵巢过度刺激综合征的研究现状[J].国际生殖健康/计划生育杂志,2013,32(05):391-394.
[3]石玉华.卵巢过度刺激综合征的防治[J].国际生殖健康/计划生育杂志,2011,30(05):409-410+412.
[4]曹云霞. 高龄女性生育力的变化与评估[J]. 中国计划生育和妇产科, 2014(08):8-12.
[5] 李媛. 冻卵:唯一后悔药?[J].大众健康, 2015, 000(010):118-119.