在儿童肘部骨折中,经常会提到肱骨髁上骨折。肱骨髁上骨折在小儿肘部骨折中最为多见。可以这样说,小儿肘部骨折中的一半以上都是肱骨髁上骨折。所以有必要介绍一下这种骨折,让各位家长对儿童肱骨髁上骨折有一定的了解。
肱骨髁上骨折就是指肱骨干与肱骨髁交界处发生的骨折。肱骨髁上骨折多发生在5到8岁的儿童。男孩好动,所以肱骨髁上骨折发生几率男孩明显高于女孩。肱骨髁上骨折常累及肱骨下端骨骺,有可能影响骨骺的发育,所以容易出现肘内翻或外翻畸形。

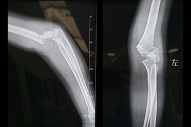
肱骨髁上骨折根据外伤*力暴**的不同和骨折移位的方向分为伸直型和屈曲型。伸直型肱骨髁上骨折儿童多有手部着地病史,肘部出现疼痛、肿胀、皮下瘀斑。肘部向后突起并处于半屈位。肘部x线显示骨折近端向前下移位,远骨折端向上移位。
发生这种骨折时,由于骨折近端向前下移位,所以容易引起肱动脉的卡压或损伤,加之局部肌肉组织的肿胀,通常会影响前臂和手部的血运。所以发生伸直型肱骨髁上骨折时一定要注意观察前臂的肿胀程度,观察前臂的尺桡动脉的搏动,手的感觉和运动情况。
(此处已添加医疗卡片,请到*今条头日**客户端查看)
面对这种骨折时,我们不仅要想到骨折,还要想到血管和神经的损害。屈曲型肱骨髁上骨折多是孩子跌倒时,肘关节屈曲位时着地引起的骨折。受伤后,局部出现疼痛,肿胀,肘后瘀斑。肘部x线显示骨折近端向后下移位,远端向前移位,骨折线呈现前上斜向后下。
由于儿童肘关节后方软组织较少,所以容易使骨折端刺破皮肤形成开放性骨折。这种骨折合并血管神经的损伤较少。

儿童肱骨髁上骨折以保守治疗为主,对于有移位的肱骨髁上骨折目前流行的是闭合复位经皮穿针这一微创技术。只有一些闭合复位失败或处在神经血管损伤的患者才采取切开复位固定技术。需要说明的是,儿童肱骨髁上骨折无论是采取手法复位外固定、闭合复位经皮穿针内固定,还是切开复位内固定技术,术后都需严密观察患儿肢体的血液循环、手部感觉情况和运动功能。
如在诊疗过程中,发现异常,要及时处理,以免发生骨筋膜教综合征。儿童肱骨髁上骨折是严重型损伤,常容易导致肘内翻和外翻畸形。其中主要是发生肘内翻畸形。肘内翻畸形就是我们日常所说的“胳膊肘向里拐”。
通常认为,肘内翻超过15度-25度是肱骨远端外翻截骨的适应症。手术时间多选择在伤后半年,骨折牢固愈合和经过关节功能锻炼已经恢复最大限度时进行。

对于手法复位石膏托固定的患者,在石膏固定4到5周后,如果拍片证实骨折愈合良好,就可以拆除石膏,开始功能锻炼。对于闭合复位经皮穿针固定的患儿,如果术后3周拍片复查显示骨折愈合理想就可以拆除石膏,让孩子带着钢针做简单的屈伸活动。
术后4周拔除钢针后可以在医生指导下让孩子进行功能锻炼。对于切开复位的患儿,如果内固定稳定,术后2周即可开始肘关节活动。这里需要明确的是,患儿的功能锻炼不能 “简单粗暴”、“急于求成”,最好在正规的康复医师指导下锻炼,以免引起不良后果。