
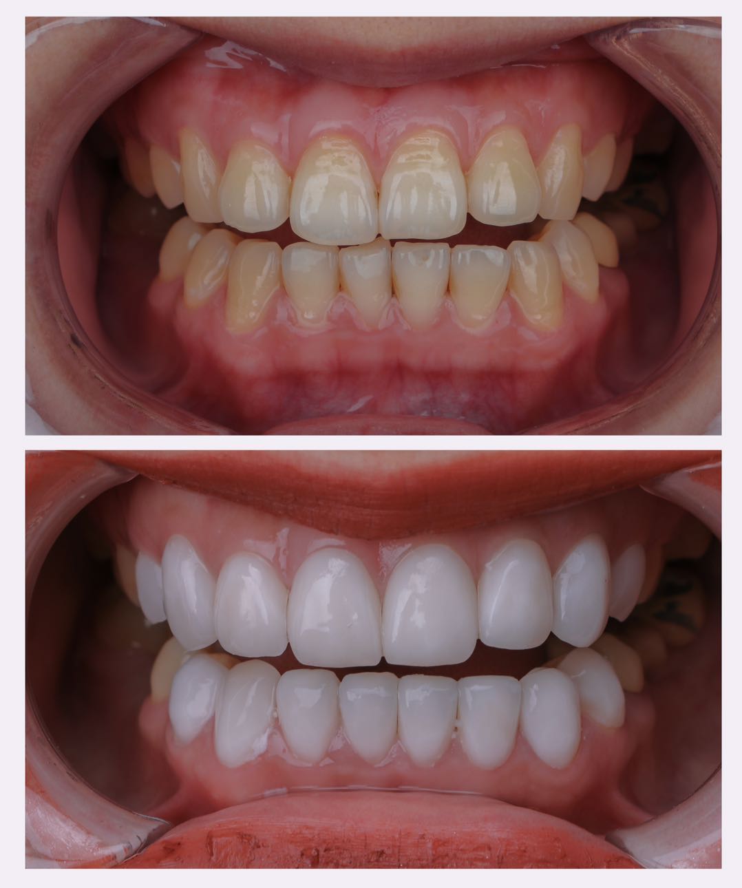
全瓷贴面是世界上目前贴面技术中最高端的一种贴面技术,通过DSD数码设计为客户私人订制一口专属牙齿方案,在不伤牙的前提下,采用最先进粘接技术将全瓷贴面粘结在牙齿表面,全瓷超薄贴面有铸瓷,玻璃瓷,水晶瓷,琥珀瓷,蓝瓷等不同材料,全部为瓷材料,无毒无害,色泽逼真自然通透,硬度堪比钻石硬度稳定不会脱落,通常可以维持20年以上,全瓷贴面应用范围可解决百分之九十的牙齿问题,被广泛应用。

全瓷贴面特点:专业全瓷材料,硬度堪比钻石,普通牙齿硬度250pa,全瓷贴面硬度高达400pa,
自然通透逼真:全瓷贴面颜色逼真通透自然,形态逼真,与天然牙齿最为接近。

无需打磨牙齿,还能对牙齿起到保护作用,做后不会脱落,超薄无不适感。材料采用德国,意大利进口材料,多种颜色可选,材质上乘。你想要的它都能提供,距离最美丽的你只差一副牙齿贴面,还不快快行动起来~~~
现在瓷贴面最贵的是美加瓷贴面,因为美加的技工都是独家的,需要找美加授权的技工才可以做,同时,美加的瓷贴面可以做到最薄。因为这些原因,美加的瓷贴面也是最贵的瓷贴面,大约在3000一颗到8000一颗不等
不同的瓷贴面品质不同,价格也不同,也可以说材料不同价格不同。先从瓷贴面的材料看,有进口和国产之分,在性能和效果上有较大区别,瓷贴面价格自然就不同。瓷贴面不同材质其机械性能、物理性能、化学性能、生物相容性、美观性等都有很大区别。当然也包括印模材料、模型材料、临时牙材料等。每一款瓷贴面都有其适合的修复指征,并不是适合所有的情况。
对于瓷贴面费用问题,因为瓷贴面还没有普及,以及技术上的不到位,所以只有少数几家医院可以成功的做瓷贴面的修复。所以物以稀为贵,瓷贴面的价格在目前来说,效果非常好,但是价格也是偏贵的。
