
我们的身体真的是个奇妙的整体,它以特有的语言,经常会在我们某个部位发生问题时,默默地向我们发出一些信号,给大家以提醒。
像我们公号推出的《新年收藏,做过8000例手术的医生告诉你那些你意想不到的心梗预兆》就列举了心梗发作前的一些信号。
今天,来自中国医学科学院阜外医院、国家心血管病中心的黄智伟博士带来另一个有趣的话题:心脏医生看看你的耳朵,也许就能判断出你的心脏是不是出了问题。
以下内容来自公众号“良医济世”,由协和医学院的医学博士们创建,专门刊载来自各大医院青年才俊的科普故事。
最近接诊了一个老年男性,平时休息时或者活动没有胸闷、胸痛等症状,但有时会有脖子发紧的感觉,没在意,也没去看医生。
在一次下棋时,他遇到一位旧友,这位老友刚刚做完心脏支架植入治疗。在聊天的过程中,这位朋友说,大夫说看我的耳朵就知道有冠心病,说耳朵上长褶皱的人可能会有冠心病,就是耳垂的地方。
来...来...,我给你看看。嗨呦,你还真有耶,你赶紧去医院看看吧。
这位患者就到我们医院住院了。这个患者没有典型的劳累时胸闷或者胸痛症状,但有颈部紧缩感,再看看他的耳朵,确实有明显的皱褶,很有可能是冠心病。

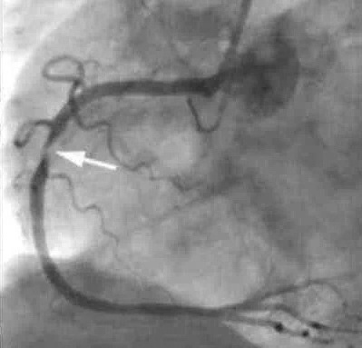
做冠脉造影,果不出所料,心脏三根血管均有狭窄,右冠脉重度狭窄,植入一枚支架。
我想说,这个病人是幸运的,幸运遇到他的故人,要不哪天发生急性心肌梗死,那麻烦可就大了。
通过耳朵来判断有无冠心病
是否科学呢?

这个确实有文献资料记载的。最早可追溯到 1973 年,奥地利学者Frank 教授在《新英格兰医学杂志》(医学界顶级杂志之一)报道了这种现象,耳垂的斜形皱褶是冠心病的征象。
因此耳垂皱褶在医学上称为 Frank 征,是一条从耳屏开始走向后下终止于耳廓后缘的呈 45 度角的对角线。
随后Kaukola S (1978),Toyosaki (1986), Cumberland GD (1987), Elliott(1991)等诸多学者的研究都发现了这种显著的关系。
2012年,Shmilovich 等进行的研究也进一步证实,耳垂皱褶可以预测冠心病。一个耳垂有皱褶冠心病风险增加33%;两个耳垂有皱褶冠心病风险增加77%。也就是说两个耳朵都有皱褶预测冠心病的价值更高。
耳垂对角线型皱褶与冠脉CT发现血管病变范围和严重程度有着非常好的相关性。
医学上把耳垂上出现的斜线皱纹分为三度:Ⅰ度,皱纹浅而细,不明显;Ⅱ度,皱纹很明显,深达 1 毫米,皱纹长达整个耳垂;Ⅲ 度,皱纹非常显著,深度超过 1 毫米,边缘分开,通常还有另一个平行的皱纹存在。
据统计,在健康人中有Ⅲ度耳垂斜线皱纹者仅占21%,而在心绞痛患者中却占62%,有80% 的心肌梗死患者有这种情况。
耳垂对角线型皱褶
为什么和冠心病有关呢?

有学者认为耳垂皱褶与动脉粥样硬化有关,供应耳垂微血管病变导致血管周围组织退化,从而引起耳垂皮肤的皱褶。
也有研究者认为,随着年龄的增加,人体的弹性蛋白和弹性纤维出现了一个系统性的丧失,这使得:一方面血管壁硬度增加,这会导致动脉粥样硬化,引起冠心病;另一方面耳垂相对于其他部位,皮肤很薄,皮下组织较少,所以耳垂中的弹性纤维和蛋白丢失更易显现出皱褶。
最近有学者提出,一些共同的外部因素导致,比如抽烟,抽烟会加速皮肤衰老,也会引起耳垂折痕形成,另一方面抽烟会引起冠心病。
必须强调的是,耳垂皱褶可以预测冠心病是没错的,但要客观看待这种相关性,就像多云和下雨有关,但不代表多云一定就会下雨。
目前冠心病的诊断主要还是看临床表现和相关检查,Frank 征只是冠心病的一个高危因素,好比癌症家族史的人患上癌症的几率比没有家族史的人更高一些。所以不要误把Frank征的有无看成是冠心病的有无。
一切以临床诊断为准!
所以请观察一下您和家人的耳垂,看看有没有 Frank征(耳垂皱褶)。如果有,也不必过于担心,更不必恐慌,请留意一下是否有其他不适,如劳累或活动时的心前区不适,咽部紧缩感等;是否合并其他冠心病危险因素,如高血压、糖尿病、高脂血症,吸烟等等。如果上述症状都有,尽快去看心内科医生。
后记
针对耳朵的纹路是不是心脏病预兆的问题,定焦大叔咨询过很多心内科专家,专家们观点不一。
毕竟这个方法并没有写入指南,而且还需要大量的临床证据支撑。定焦大叔跟着专家查房的时候,特意关注了几十个心脏病患者的耳朵,发现具备这个特征的,大概在六成左右。
人体个别差异很大,虽然它不是100%准确,但毕竟也是一个直观的信号,提醒我们做好预防。这是一点没错的。

为了更有针对性也更有效地服务粉丝,定焦大叔在免费群的基础上,升级推出专家一对一咨询服务。
我们邀请回答咨询的医生,是定焦大叔本人专访过,在相关领域有丰富经验,学科上有深厚造诣的专家。他们绝大部分是知名医科大学的博士或者博士后,在患者心中有非常优秀的口碑。有需要请与定焦大叔联系。