提示:点击"佛中医"关注佛山市中医院微信订阅号

骨质疏松、溶骨性破坏
肢体疼痛活动不利
有恶性肿瘤征象
但又无明确恶性肿瘤证据
……
到底患的是什么病?

◆ ◆ ◆ ◆ ◆
近日,佛山市中医院骨病专科(骨十四科)主任劳永锵教授及其团队经过抽丝剥茧,成功为两例骨质疏松、溶骨性破坏,疑似恶性肿瘤的患者找出真正病因,并在普通外科、麻醉科手术室、医学影像科、病理科和医疗设备科等的协助下,成功为患者进行手术治疗,目前患者已康复出院。
经确诊,患者患的原来是甲状旁腺瘤!

病例一:
31岁的袁先生原是一名篮球运动员,1年多前跌倒致左股骨粗隆间骨折,在当地医院行左股骨粗隆骨折切开复位内固定术,术后病情稳定出院。出院后,袁先生下地行走时开始出现左髋部、左下肢疼痛,初起症状尚轻,还可忍受,但近半年症状加重,甚至出现跛行,伴呈驼背样畸形。为求进一步系统治疗,于是在今年4月求诊于我院骨病专科。

x光
病例二:
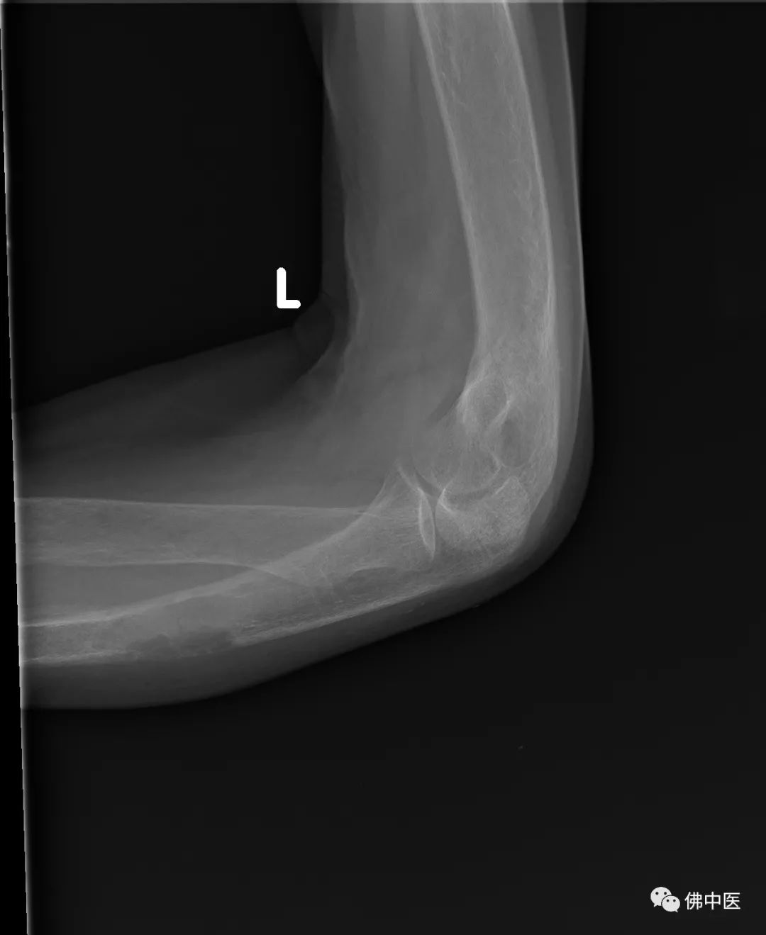
65岁的陈女士,2个多月前无明显诱因下出现左前臂部疼痛,活动不利,自行涂擦药物后症状无明显缓解。10多天前,陈女士的左前臂疼痛症状加重,左手、左上臂部、左肩都感觉疼痛,活动不利,到当地医院进行针灸推拿等对症处理后,症状仍无明显缓解,于是在今年5月到我院骨病专科寻求系统治疗。

x光
多科协作层层查因,顺利施术明确诊断
两名患者入院后住院生化检查提示碱性磷酸酶明显升高,血钙升高,但血磷下降,呈钙磷倒置现象,但肿瘤指标均未见明显异常;骨密度检查均提示“骨质疏松”;胸与双肺、全腹平扫+增强CT检查未见明显异常。针对此种具有恶性肿瘤征象,但无明确恶性肿瘤证据的患者,骨病专科主任劳永锵教授建议完善甲状腺彩超检查及甲状旁腺激素测定,结果两例患者甲状旁腺激素均明显升高,甲状腺彩超检查均可发现实性结节。
基于此种临床特点,劳永锵教授组织主管医生胡永波、潘海文请我院普通外科为两名患者进行会诊,普通外科霍景山博士详细诊查了两名患者,考虑他们为:“甲状旁腺功能亢进并甲状旁腺瘤”,建议转普通外科行手术治疗。

病例一(甲状腺彩超)

病例二(甲状腺彩超)
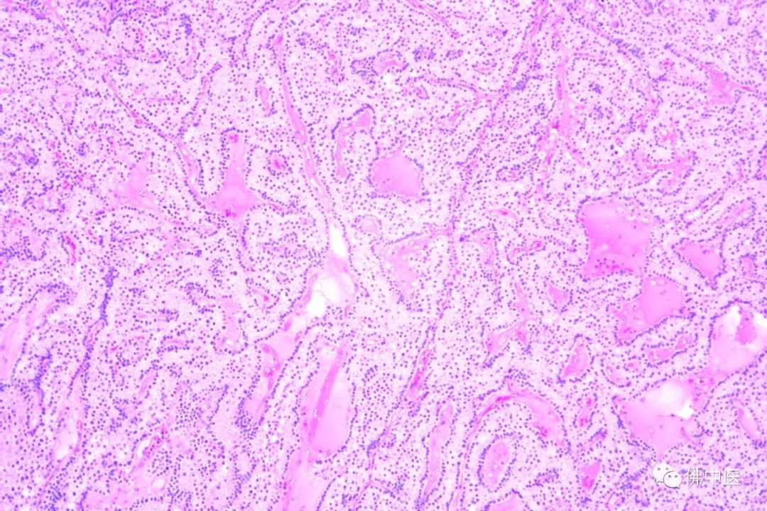
其后,两名患者均接受了手术治疗,术后病理均提示“甲状旁腺腺瘤”。术前诊断得到进一步印证,两位患者目前康复良好并已出院。
两个病例的顺利确诊和手术,是我院多学科协作治疗的成功范例,同时也是佛中医骨病专科诊治水平的又一有力验证。
甲状旁腺瘤发病隐匿,应提高警惕
劳永锵教授介绍,对任何一名骨病变患者,思维不能定性,且不能放过任何蛛丝马迹,任何一个细节都是临床诊治的要点。

病例一(术后病理)

病例二(术后病理)
甲状旁腺瘤是一种少见的引起内分泌异常的良性肿瘤,瘤体小,体检不易发现。其涉及心血管、骨骼、泌尿、神经等多脏器系统,随着病变不断地发展,在出现甲状旁腺功能亢进(简称甲旁亢)的症状时,需进一步检查才可能被发现。本病起病缓慢且隐匿,临床表现多样,甚至多年无明显症状,容易与其他疾病相误诊。
甲旁亢是由于甲状旁腺腺瘤、甲状旁腺增生或腺癌过度分泌甲状旁腺激素,导致血钙升高、血磷降低、碱性磷酸酶升高,同时引起尿排钙增加,使骨质普遍脱钙,其引起的骨质疏松较其它原因引起的骨质疏松发展更快。患者可出现骨关节及四肢疼痛,甚至病理性骨折、躯干畸形。如不能及时治疗,血钙升高将导致高血压、泌尿系结石,合并感染及肾功能不全,另有消化道疾病的症状,严重时可出现高血钙危象,危及生命。甲旁亢年发病率为27/10万,其中由单发腺瘤所致约80%,其余为甲状旁腺增生和多发性甲状旁腺癌占1%-2%。本病好发于中老年人,特别是女性患者,临床上容易被误诊为一般的骨质疏松或腰椎疾患。
本病早期诊断、正确治疗,绝大多数患者可以获得根治。因此,提高对本病的警惕,不论是对预防骨质疏松,还是对防止骨折、截瘫或尿毒症等,均有重要意义。
劳永锵教授表示,甲状旁腺瘤所致的甲状旁腺功能亢进有原发性和继发性之分。后者是由于各种原因所致的低钙血症,刺激甲状旁腺,使之增生肥大,分泌过多甲状旁腺激素,常由慢性肾脏疾患引起骨软化症,也称肾性骨营养不良,其临床征象和骨骼的病理变化与原发性基本相同,但血钙降低,血碱性磷酸酶仅轻度增高。
甲状旁腺瘤所致原发性甲状旁腺功能亢进是在继发性甲状旁腺功能亢进的基础上,由于腺体受到持久的刺激,部分增生组织转变为腺瘤,自主性地分泌过多甲状旁腺激素。其诊断指标为:①血钙升高,平均≥2.7 mmol/L;②全段甲状旁腺激素增高。
目前,手术治疗是甲状旁腺瘤所致原发性甲状旁腺功能亢进的有效方法,但术前需明确定位诊断,术后还应服用适当的钙剂及维生素D制剂,以促进骨骼病变的恢复。仅在高钙血症极轻微或年老体弱不能进行手术时,可试用药物治疗。
骨病专科(骨十四科)简介:
佛山市中医院骨病专科(骨十四科)于2015年正式独立建科,现开放病床48张,集临床、科研、教学为一体。
科室积极引入国内外骨病、骨肿瘤的先进技术和最新研究成果,诊治技术居国内先进水平。擅长应用中西医结合治疗四肢创伤骨折、骨折不愈合、骨不连及骨缺损、急、慢性骨髓炎、病理性骨折等,特别开展了髋部肿瘤切除及重建、恶性骨肿瘤保肢术、髋、膝部巨大肿瘤切除人工肿瘤假体置换重建等高难度手术,其中创新性开展微创自固化磷酸钙人工骨修复小儿骨囊肿骨缺损取得良好疗效,明显降低小儿骨囊肿复发率。

骨病专科主任劳永锵教授(中)及其团队

骨病专科区智凤护长(中)及其团队
劳永锵教授

骨病专科(骨十四科)主任,广州中医药大学临床医学系,主任中医医师,从事骨伤科临床工作十多年,在医疗实践中,积累了丰富的骨伤科临床经验,专注骨病,擅长各种良性骨肿瘤手术、恶性骨与软组织肿瘤的保肢治疗及骨转移癌的常见病治疗,手术如:人工膝、髋、肩关节肿瘤型假体置换术等。
现任中国中医药研究促进会骨伤科分会骨肿瘤专委会常委,广东省医学会骨质疏松分会委员,广东省中西医结合学会骨肿瘤学组成员,佛山市中西医结合学会肿瘤专业委员会第一届委员会委员。
开诊时间:每周三下午(14:30-17:30)
开诊地点:1号楼骨伤科门诊18室
作者:潘海文
编辑:张键怡
佛山市中医院全媒体团队出品
- END -

点击“阅读原文”,进入劳永锵专家挂号页面

在看点这里
