点击「神经介入在线」可快速关注

万杰清,医学博士,上海交通大学医学院附属仁济医院神经外科副主任,脑血管病组组长,主任医师,研究生导师。擅长脑血管病的治疗研究工作,对动脉瘤性蛛网膜下腔出血和脑动脉狭窄的规范化、个体化治疗有独到之处,已成功治愈各种复杂性脑血管病3000余例。目前主要负责脑血管病的血管内介入和显微外科治疗,包括急性破裂出血的脑动脉瘤、脑血管畸形和硬脑膜动静脉瘘的血管内栓塞治疗,颅内动脉瘤、脑血管畸形的显微外科手术,以及颈动脉内膜切除和血管内支架治疗颈动脉狭窄等。已发表论文30余篇,SCI收录7篇。目前为卫生部脑卒中筛查与防治中青年专家委员会委员;中国医师协会神经介入诊断和治疗协作委员会委员;中华医学会神经外科分会脑血管病介入学组专家委员;上海市医学会神经外科分会青年委员,脑血管病介入学组副组长;上海医学会脑卒中分会委员兼秘书,缺血性脑卒中组副组长。
椎基底动脉
椎基底动脉急性闭塞临床预后差,病死率很高,药物治疗效果不理想,旁路手术风险高、疗效差。随着介入技术的不断发展和介入材料的不断更新,血管内再通技术成为颅内外闭塞血管可能的治疗方案之一。颈总、颈内动脉闭塞再通安全性较高,患者预后良好,而椎基底动脉闭塞是否同样可行血管内开通?其安全性如何?患者预后又如何?
2012年12月—2014年12月,我科共收治亚急性、慢性椎基底动脉闭塞患者9例。
病例1
患者:男性,59岁,主诉“头晕伴行走不稳3日,言语含糊1日”。
既往史:高血压病史,冠心病病史,吸烟史多年。
查体:构音障碍,吞咽功能障碍,左侧鼻唇沟浅,伸舌左偏,左侧指鼻试验阳性,闭目难立征阳性,左侧肢体肌力Ⅲ级,肌张力增高。
实验室检查:
甘油三酯为3.68mmol/L↑,总胆固醇为6.62mmol/L↑,空腹血糖为6.86mmol/L↑,低密度脂蛋白为4.56mmol/L↑。
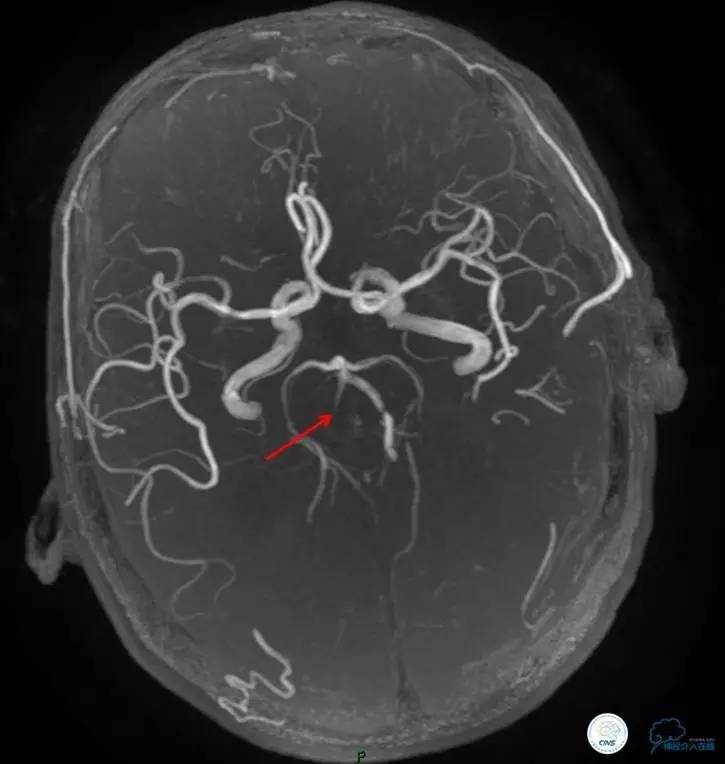
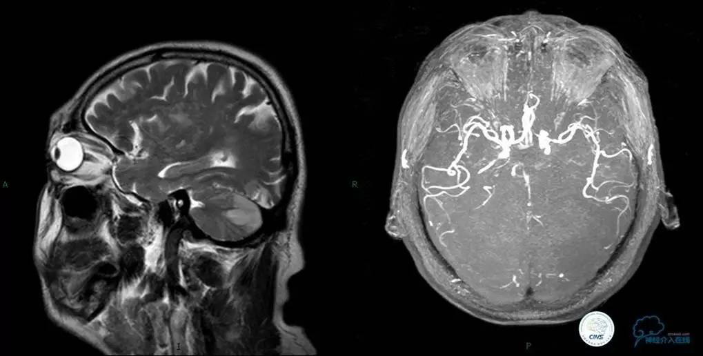
▼头颅MR


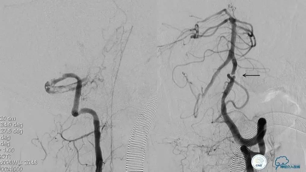
术前DSA
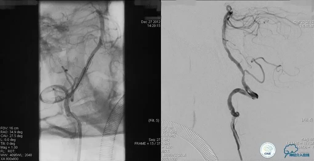
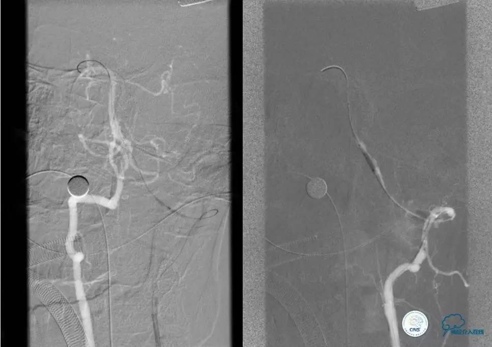
▼2013-12-13


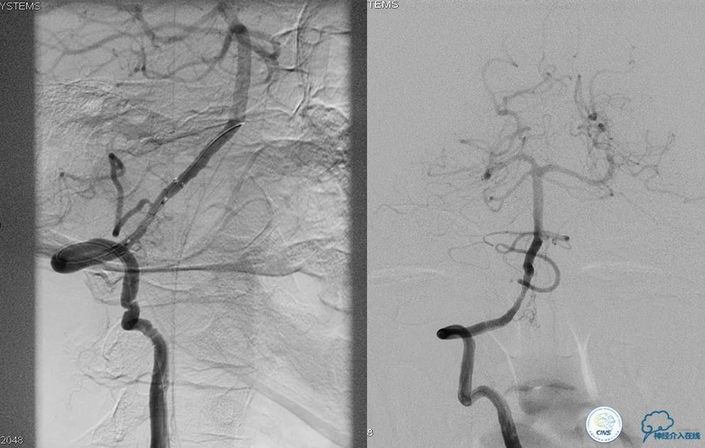
▼2013-12-27

术后仍残余部分狭窄,但头晕明显缓解。

术后3个月复查时予行支架内球囊扩张,狭窄改善。

病例2
患者:男性,60岁,主诉“头晕2年,加重伴言语含糊2天”。
现病史:阵发性轻微头晕、复视2年余;入院前2天头晕加重,伴恶心、呕吐、乏力,行走不稳,言语含糊。
既往史:吸烟30支/日*40年。
实验室检查:
甘油三酯为3.8mmol/L↑,总胆固醇为6.67mmol/L↑,空腹血糖为6.85mmol/L↑,低密度脂蛋白为4.76mmol/L↑。
▼入院MR


神经内科保守治疗。
入院第三天,病情转差。
查体:构音障碍加重,右侧肢体肌力下降(近端Ⅱ级,远端0级)。


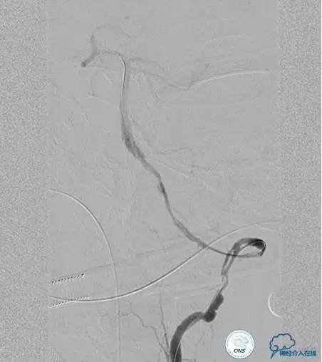
▼开通
出院情况:头晕症状消失,构音障碍缓解,进食无呛咳,饮水实验(-),右侧肢体远端肌力恢复到Ⅰ级。
病例3
患者:男性,60岁,主诉“头晕伴行走不稳1个月”。
既往史:高血压病史5年。
查体:左面部感觉减退,咽反射消失,左侧指鼻试验及跟膝胫试验阳性,右侧肢体肌力Ⅳ级。
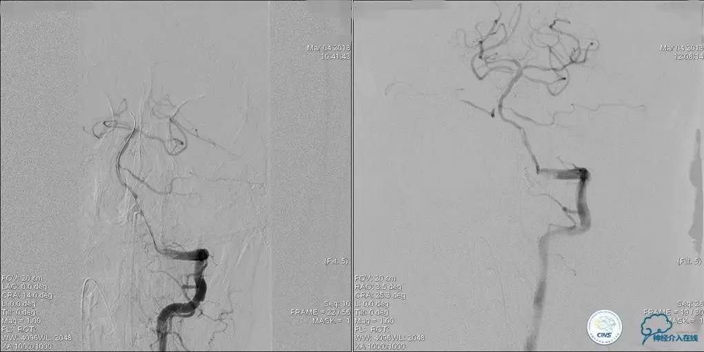
▼术前DSA


▼术中DSA



▼术后DSA

再通技术简要步骤
1.微导丝探查、穿过闭塞段(轻柔!)
2.微导管过闭塞段后必须造影确认在血管真腔
3.交换微导丝,撤出微导管
4.球囊预扩(原则:缓慢充盈,从小到大)
5.支架成形(保证系统稳定)
注:释放支架前及术后3天严格控制收缩压<120mmHg


结 论
亚急性、慢性椎基底动脉闭塞患者中,可选择性行血管内开通术,手术安全性较好,越早手术成功率越高,术后患者预后较好,相关性缺血性脑卒中再发率明显下降。需更多临床研究验证。

编辑 黄越
欢迎广大医生积极投稿,分享经典病例。
投稿邮箱:sjjrzx@hh-medic.com
点击下方“阅读原文”查看本期精彩课件内容!