鳃霉病病原为牙枝霉目,牙枝霉科(Blastocladiaceae),鳃霉属(Branchiomycessp.)。草鱼寄生的鳃霉菌,其菌丝体比较粗直而少弯曲,通常是单极延长生长,分枝很少,不进入血管和软骨,仅在鳃小片的组织生长。菌丝体直径为20-25微米,孢子的直径为8微米。另一种寄生于青鱼、鳙鱼、鲮鱼鳃里,它的菌丝常弯曲成网状,较细而壁厚,分枝别多,分枝沿着鳃丝血管或传入软骨生长,从横交错充满鳃丝和鳃小片,菌丝体直径为6.6-1.56微米,孢子直径平均为6.6微米。

鳃霉病主要发生在水质恶化,有机质含量高,有机质多的污浊水质的池塘,发臭的鱼塘最易发生此病,而这样的水质使得车轮虫等纤毛虫多发,检查鳃霉病的鳃丝时一般也有较多数量的纤毛虫寄生,诊断鳃霉病时不能忽视纤毛虫对鱼类的影响,有时可能对发病和死亡有很大的影响。
鱼鳃霉病肉眼观察发病鱼体表没有明显异常,而鳃丝肿胀,粘液增多,局部充血发深红或贫血发白,呈“花鳃”症状,这时怀疑可能发生了鳃霉病。
初期无明显病变,当附于鳃的孢子发育成菌丝,菌丝向内不断伸展,一再分支后,沿着鳃丝血管分枝或传入软骨、破坏组织,堵塞微血管、鳃瓣失去正常的鲜红色而呈粉红色或苍白色,鳃小片肿大,充血,出血。有时有点状充血或出血现象。随着病情的发展,呼吸机能大受阻碍。
鳃霉病的出现往往是急性发作,从发现病原体时起,如果环境条件适宜,1-2天内即可大量繁殖,池鱼随机发生爆发性急剧死亡。死亡率达60%以上。慢性型表现的症状不明显,有时表现为鳃的小部分坏死,个别部分因失血而呈苍白色。有些病鱼的鳃瓣末端呈浮肿现象。
病鱼呼吸困难,无食欲,鳃上黏液增加,有出血、淤血和缺血斑块,俗称“花斑鳃”。严重时整个鳃呈青灰色。
由鳃霉菌寄生在鱼鳃上引起的感染鳃霉病的急性型病鱼,表现为鳃出血,部分鳃丝颜色苍白,鱼不摄食,出现病情后几天内大量死亡。
慢性型的病鱼,坏死的鳃丝部分腐烂脱落,鳃丝贫血,呈苍白色,死亡率稍低。
取患病鱼鳃丝组织作水浸片,在显微镜下发现鳃丝血管内或鳃丝组织间有大量鳃霉菌丝寄生,菌丝内有较多孢子才能确诊为鱼鳃霉病。
现场显微镜镜检看到鳃霉菌丝是诊断鳃霉病的“标准”,因为肉眼可见的鳃丝病变不是鳃霉病的特有症状,细菌性烂鳃、寄生虫引起的烂鳃、病毒引起的烂鳃(如锦鲤疱疹病毒引起的鳃丝局部坏死)以及药物引起的鳃丝损伤都可能出现鳃丝肿胀、粘液增多、淤血或贫血引起的“花鳃”等症状。
值得注意的是,有的发生鳃霉病上浮的病鱼鳃丝没有明显的异常变化(见图),但镜检确能看到鳃丝上寄生大量的鳃霉菌丝。鳃霉菌丝生长在鳃丝间,特别是穿移鳃霉分枝沿着鳃丝血管或穿入软骨生长,需要用镊子将鳃丝弯曲和适当“破坏”鳃丝后,在显微镜下才能清晰看见鳃霉菌丝和孢子。

(1)鳃霉病只对淡水鱼产生危害,可能海水不适合鳃霉的生长,海水鱼不感染、发病。
(2)鳃霉对鱼种阶段的鱼敏感,一般鱼苗、鱼种养殖容易发生,而成鱼不发病或很少发病。
(3)各种原因引起的水质恶化、有机质增多都为鳃霉病发生创造条件,如早晚温差大引起“泛底”,底部脏污进入水体使水体有机质增多;蓝藻等藻类大量死亡,导致水质恶化;大量投喂鲜活动物饵料或粉状饲料;注入有机质多的河水或沟渠水等。
(4)通过外用药物和氧化剂改底分解有机质、改善环境,鳃霉病可以得到控制,但当以后水体环境适合鳃霉菌繁殖后,池塘也可能再次发病。

目前,多数鳃霉病的诊断错误是把显微镜下见到的黑色素细胞当做鳃霉菌而误诊。当鱼类在患病状态、亚健康状态或者在各种应激状态下都能在显微镜下见到鳃丝上有大量的黑色素细胞,主要分布在鳃丝基部,有时肉眼可见鳃丝基部发黑,当鱼类恢复健康以后或者应激因素消失以后,在显微镜下也见不到色素细胞。
很多人肉眼见到养殖鱼类鳃丝溃烂或其它异常时,显微镜镜检鳃丝看到黑色素细胞经常误认为是鳃霉菌丝,而错误地诊断为鳃霉病。实际上黑色素细胞与鳃霉菌丝在形状上和大小上都有很大的区别。
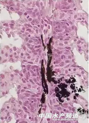
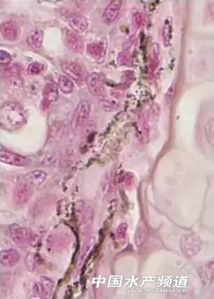
鳃丝上的黑色素细胞在显微镜下一般呈类似雪花一样的星芒状,树突状分支很多(如图)

黑色素细胞分枝“纤细”,鳃组织切片观察分枝宽度一般不超过7μm,细胞中的色素颗粒不足1μm,色素颗粒必须在高倍镜下才能见到(如图)。

而鳃霉菌丝“粗壮”,目前国内发现的2种类型的鳃霉,即血鳃霉和穿移鳃霉的菌丝直径分别为8~36μm和7.4~9.6μm,菌丝内的孢子也很大,直径分别为6.6~21.6μm和4.8~9.0μm,菌丝内的孢子在低倍显微镜下即可看到;黑色素细胞在显微镜下一直呈黑色,而鳃霉菌丝呈半透明,特别是把视野调亮时更明显。通过镜检比较很容易区分鳃丝上的黑色素细胞和鳃霉菌丝。
2、用生石灰清塘,勿使用茶粕清塘,不用大草肥水可预防此病发生。
3、对发病鱼池迅速加注新水,或将鱼转到水质较瘦的或流动的池水中,病可停止,但要注意因转塘引起病原体传播。
6、鱼苗、鱼种培育池不要用大草粪肥直接沤水,而要用混合堆肥培水,清塘消毒要用生石灰。
7、高温期每月至少使用一次对真菌具有杀灭作用的产品。例如苯扎溴铵+戊二醛等。