最近,接诊了一位患者。她说,突然感觉到身上瘙痒难忍,本以为是因为天气比较阴冷,被褥潮湿导致皮肤过敏,所以没有在意。可是后来越来越痒,甚至有时候还出现了一层一层的白屑。我一看,这是典型的银屑病症状。

听到银屑病这个名词,可能很多人并不熟悉,但如果提到“牛皮癣”,想必大家都有所耳闻了,其实“牛皮癣”是银屑病的俗称。
冬天里很多人出现整天掉皮屑、瘙痒、一抓就出血等症状,有些患者不引起重视,认为冬天皮肤干燥瘙痒是正常的,却不知这可能是可怕的牛皮癣找上门了。
牛皮癣是危害大的慢性皮肤性疾病,要及时治疗。只有了解了牛皮癣的早期症状,才能让更多的患者及时就医,以免耽误治疗,拖成慢性。

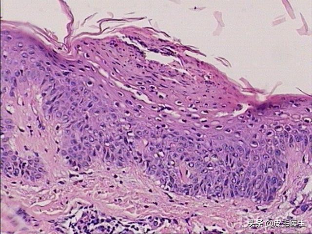
牛皮癣的早期症状,在不同类型的牛皮癣患者上通常表现为皮肤上出现红斑,上有银色、或者是覆盖形式的灰白色或者是灰黄色鳞屑,刮除鳞屑后可见皮肤小片的血点。


需要注意的是,牛皮癣本身就是一种慢性皮肤病,治疗起来比较棘手,牛皮癣患者在得知自己病情的情况下,要尽早治疗。除了皮肤表现外,还可能有关节受损表现。
关节损害主要体现在关节型银屑病当中,这主要表现在的关节出现肿痛,活动受到限制,甚至有关节积液或者出现变形,长时间如此的话会令的关节变得强直。
冬季皮癣患者病情会加重,患者应注意:
1、多运动
冬天牛皮癣患者会比正常人出现更多倦怠、乏力、精神不振等症状,此时多走出户外做做运动是个不错的调整方法。跑步、爬山等有氧运动都很适合牛皮癣冬季养生,需要注意的是不能大强度锻炼,要注意循序渐进。
2、多加衣
冬天,感冒的增多与天气变化无常有很大的关系。为预防感冒,牛皮癣患者要根据气温变化适当地增减衣服,其次是室内的空调温度不要过低,一般控制在25℃-27℃为好。
3、防感冒,有的人往往容易在感冒之后加重。
很遗憾的是,牛皮癣目前尚不能绝对根治,但可以很好的控制和缓解,甚至达到长期临床治愈。所以,正确认识和规范治疗非常重要。患者不要去相信所谓“包治”、“根治”、“不复发”的虚假广告。目前各种治疗只能达到近期疗效,不能防止复发。切不可盲目追求彻底治疗而采用可导致严重毒副作用的药物,那样反而会使病情恶化,诱发红皮病或脓疱型牛皮癣。

慢病就要着眼慢治。牛皮癣经过规范治疗,是可以得到长期控制和缓解的。牛皮癣治疗上可选择的疗法很多,近期国家也批准了很多新的银屑病药物,可大幅减轻症状并显着改善生活质量。有很多病人由于乱用药导致病情加重,由寻常型发展成红皮病型或脓疱型!导致病情加重,甚至危及生命。

牛皮癣在某种程度上就如同糖尿病、高血压类似,平时注意控制,定期复查,完全可以做到与其相安无事。患者要正确认识银屑病的疾病特点,解除精神负担、保持良好积极的心态,合理忌口,做好日常护理保健。银屑病发作期,应及时到正规医院就诊,积极配合医生治疗。