儿童出现呼吸道感染如肺炎、支气管炎等是非常常见的,大多数小朋友规范用药治疗都能很好的恢复,但是这次小朋友,虽然经过反复得抗感染治疗,复查CT提示,提示炎性吸收仍不明显。那究竟是为什么呢??!
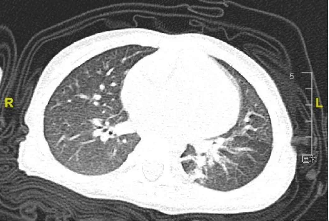
小朋友的CT


依据CT检查,仍考虑存在左下肺炎症,炎症吸收并不明显,不排除腔内异物存在。
为了进一步明确是不是真的存在异物,预约了全麻完善了电子支气管镜检查,结果......

电子支气管镜检查提示左下叶腔内真的被一东西堵住了,究竟是什么?!
取出异物后如下图所示

取出异物后,管腔就通畅,远端分泌物就引流通畅了,这个异物其实是花生小碎块。
异物:花生米

儿童气管异物
吸入性异物是儿童常见的急症,是导致儿童意外死亡的前六位病因之一。异物进入气道后一段时间内可处于病程静止期,随着时间延长可导致肺部张、支气管扩张、气胸、肉芽增生和肺脓肿等严重并发症,甚至死亡。因此,及时、正确、准确地诊断吸入性异物对于降低并发症和患儿病死率至关重要。
为什么食物会进入气道里面,而不是准确进入食管里面呢?


我们人体在正常进食吞咽的时候,声门是处于闭合状态的,但当我们进食过程中,在说话、话嬉笑打闹等,声门就处于半开半合状态,食物就容易误入气道、而不是食道。

如果进入气道的异物比较大,直接卡住主支气管就会导致我们无法吸入空气,最终窒息而亡。

那如果是小的异物,可能会导致我们剧烈咳嗽,可能会被我们呛咳出来。但也有可能会进入更远端的气道并停留。导致反复肺部感染。上述的案例就是如此。

小孩子在吸入异物后,可能会存在一个吸入期(剧烈咳嗽)、然后异物进入远端后就处于安静期、而后因为远端气道出现感染出现症状期、随之出现发热、咳嗽等并发症期。因此小孩子此前在进食过程中出现过剧烈咳嗽情况,特别是随后有出现呼吸道感染的情况,我们应该警惕异物的存在。
那真的碰到东西掉进气道出现呼吸困难怎么办?!!
可以搜索参考《海姆立克急救法》