来源:复旦大学附属肿瘤医院
问及路人甲、乙、丙、丁
问到吸烟和肿瘤的关系
大家都会说
肺癌、肺癌、肺癌

肺癌是导致多个肿瘤发生的“罪魁祸首”
平日生活中,我们经常发现有数十年烟龄的“老烟枪”没有患肺癌,而身边越来越多的女性,特别是那些不吸烟女性罹患肺癌的人数在增加。

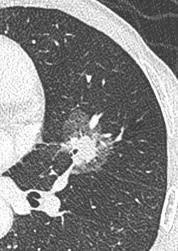
(复旦大学附属肿瘤医院胸外科供图)
我们身边的“老烟鬼”们开始嘚瑟起来
既然吸烟会得肺癌
不吸烟也会得肺癌
那还不如不戒烟呢
似乎“戒烟无用论”的观点甚嚣尘上
那事实究竟是什么呢?

吸烟者所得肺癌预后较差、极易出现耐药

抽烟者所发生的肺部结节,大部分是实性肺结节;
不吸烟者所发生的肺部结节,大部分是磨玻璃肺结节。
这两种肺部结节性质完全不同。
实性肺部结节,如符合手术指正,需尽早进行手术切除,而且越早越好,因为像“老烟鬼”所患的这种实性肺部结节,它增长速度非常快,可能在一年内就迅速变为中晚期肺癌。

外国专家来院观摩陈海泉教授(右一)肺癌微创手术
需要强调的是,一般不吸烟者所得肺癌治疗效果较好,5年生存率越高。而那些吸烟者所得肺癌,经过一段时间治疗后,极容易在较短时间内出现耐药情况,治疗效果远不如那些不吸烟者所得肺癌。
重要的事情说三遍
戒烟
戒烟
戒烟
2.磨玻璃结节无须着急手术
肺癌已经分列男性和女性十大高发癌症的第一位和第二位。
人们对肺癌堵截的“篱笆”也是越扎越紧。许多单位都将低剂量螺旋CT作为体检项目的标配。但是每当拿到体检报告,各种肺部结节、磨玻璃结节的字样让人看了灰常害怕。
坊间流传着一个观点
磨玻璃肺结节亟需手术
这种结节最容易会癌变!
今天,小编全面盘点体检报告中的常见肺结节
肺部结节是一种多系统多器官的肉芽肿性疾病,常侵犯肺、双侧肺门淋巴结,类圆形、影像学表现密度增高的周围被含气肺组织包绕的软组织阴影,虽然肺部结节不是一定就转变为肺癌,一般来说是有可能往肺癌的方向转变,所以肺部结节可以说是肺癌的一个很重要的指标和因素。
肺内直径≤3厘米的病灶称为 结节
肺内直径<10毫米的结节称为 小结节
肺内直径<4毫米的结节称为 微小结

“常规判断方法
越小的肺部结节,良性可能性大
肺结节恶性肿瘤概率为20%-40%
恶性概率随年龄增长明显升高
30岁以下肺结节人群恶性率为<5%
超过70岁肺结节人群恶性率达80%以上
良性结节

结节长相:形态比较圆,边缘干净、光滑,仿佛十五的月亮。有的可能像一块钙化的结节,整个画面呈现高亮的样子。
产生原因:一般是指生活中常见的各种肺炎,包括肺部感染和炎性假瘤、结核、真菌感染、霉菌感染等诸多情况都有可能留下肺部结节,但大部分都是透明的,通常这类结节对人体是没有危害,经过一段时间消炎治疗后会逐步消退。
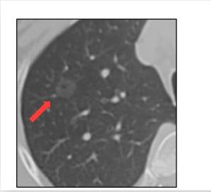
磨玻璃结节

结节长相:肺内密度轻微增加,增加程度小于实性改变,呈模糊的云雾状,并可见其内血管和支气管纹理。
产生原因:根据肺部磨玻璃影内部成分均一程度的不同,磨玻璃结节又可分为单纯磨玻璃结节及混合型磨玻璃结节。造成磨玻璃结节的原因包括感染性病变、肿瘤等多方面。
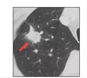
实性结节

结节长相:肺内圆形或类圆形密度增高影,病变密度足以掩盖其中走行的血管和支气管。
产生原因:一般实性肺结节恶性可能性很高,多是由肿瘤导致。但是否是恶性,还需要结合大小等因素综合判断。
Q: 体检发现“磨玻璃结节”如何处理?

一旦体检报告出现“磨玻璃结节”,请不要着急“一刀切”。70%磨玻璃结节发展很慢,无须急忙手术“一刀切”,更不是切的越多越好,随访是“上上策”。
我们研究发现,磨玻璃结节型的肺腺癌预后很好,5年总体生存率达98.99%,明显高于整个肺腺癌人群的总体生存率。
这个结果给了我们思考,虽然有些磨玻璃结节患者已经是浸润性腺癌(即已进展到浸润后状态),但这部分患者经过合理有效的手术治疗后,同样能够获得理想的远期生存。
所以我们认为“磨玻璃结节”型肺癌是一种“懒癌”,长期随访跟踪,适当时间手术不会影响患者的治疗效果和生存率。
Q: 磨玻璃肺结节正确随访方式是?
结节<4 mm时,可不必常规随访。
结节在5~8 mm之间时,建议每6~12个月定期随访,病情稳定后延长至每18~24个月随访一次。
结节>8 mm时,每3个月随访一次。
而对于中老年人、长期吸烟史等高危因素的肺癌高危患者:
结节<4mm时,不需要定期随访。
结节>5 mm时,常规3个月,6个月,12个月随访。
Q:哪些肺部结节亟需马上穿刺定性或马上手术?
第1种情况:肺部结节变大,实性的部分增多,对于高危的“磨玻璃结节”患者,一旦结节快速长大,形态高度怀疑癌变,若大于1厘米且为实性结节者,可以考虑穿刺活检,明确诊断。快速增大直径大于1厘米但是为磨玻璃样结节,宜行手术切除。大多数病人可推荐全面微创切除,以绝后患。
第2种情况:肺部结节两次检查结果完全一致,虽然两次的结果可能都一样,但是仍然不能掉以轻心,因为光从片子上是没有办法看出良性与恶性的,建议做穿刺明确良恶性。
3.权威击破坊间流传两大肺癌致病谣言
坊间流传的两大“谣言”
谣言一:做菜油烟过大导致女性肺癌发病增高

辟谣:在上世纪七八十年代,那时厨房条件不佳,油烟非常大,但那时肺癌发生率并不高。目前,每家每户有非常好的的油烟机和排风方式,厨房环境大大改善,油烟量也控制在极小的范围内。坊间所谓做菜油烟过大导致不吸烟女性肺癌增高的说法,并不科学。
谣言二:空气污染导致女性肺癌发病率增高

辟谣:其实这个也非常好理解。抽烟者和不吸烟肺癌女性其实是同样处在这样一个空气环境下,在吸烟和空气污染的双重影响下,吸烟者应该发病率更高才对,但事实却不是这样,所以空气污染其实也不是一个导致女性肺癌发病增高主要原因。
目前,对于不吸烟女性肺癌的致病原因还处于摸索阶段,原因其实是多种多样的,其中可能会包括一些基因突变、遗传因素等,但现在仍没有确切的致癌因素。我们团队也正在努力研究中,希望找到致病原因,更好地做好早期预防和精准治疗。

陈海泉 教授
主任医师、博士生导师
复旦大学附属肿瘤医院胸外科主任、胸部肿瘤多学科诊治组首席专家、肺癌防治中心主任。
作为通讯或第一作者在Cancer Cell、JCO、ANN SURG、CCR、Cancer、JTCVS、ANN THORAC SURG等SCI期刊上发表论文一百五十余篇。截止至2017年共有11篇、13篇次论文创新成果纳为ASCO, ESMO,IASLC等7项国际肺癌诊治、分子检测指南。
#医师报超能团#
#超能健康团#
#健康科普排位赛#