9月29日,深圳大学经济学院校友群突然爆出一个令人意外的消息:
“国世平老师,早上在云南过世了”
很多人在底下发出一连串哀悼,当中不少是毕业十多年的校友。
▽

据媒体报道,9月29日,深圳大学当代金融研究所所长、博士生导师国世平在云南曲靖讲课时,突发心梗去世,享年67岁。
其助理回忆,当天凌晨两点多,国世平感到身体不舒服,联系酒店前台,随后送到医院。
但最终因抢救无效死亡。

图片来源:网络
截至9月30日上午11点,他的最后一条微博,已经有367条留言。
包括学生、关注这位财经大V多年的网友,甚至只有一面之缘的人。
大家自发来到这里,送老师最后一程。
▽



悲伤之外,大家感到更多的是震惊:
“昨天还在发微博,今天就去世了???”
“全班人都不信!”
▽


确实,国世平发生意外前一天,还在朋友圈和微博发表对股市的看法,一切看起来是那么正常。
谁也没想到,死神说来就来,让人猝不及防...


这两天刷屏深圳人朋友圈的,还有这么一个新闻:
▽

很多人看完都感叹道,现在辅导孩子作业都成高危职业了,
做爸妈的,凡事看开点,毕竟命要紧。
▽


甚至有人24小时戴着运动手表,时刻关注心率,一不对劲马上撤离“战场”。
▽

但其实,即使人在平静状态中,也往往是心梗发作的“魔鬼时刻”,
没人知道,它啥时候会一言不合,在你心脏里刮一场突如其来的“风暴”。


心梗很多,有些人快速发生心跳停止,来不及施救,这些人往往以年轻人多见;
而有些人不发生心跳停止,在医院经过治疗,安然出院,这部分人多是老年人。
因为年轻人心肌梗死时,心脏冠状动脉在突然之间完全堵塞,心肌急性缺血,又缺少侧枝循环,缺少对缺血的预适应过程,所以更容易发生室颤、猝死。

在深圳市人民医院,每隔2-3个月,都有20多岁的年轻人因为心梗被送去抢救,最年轻的才18岁。
“急性心肌梗的发作,并不是像电视上演的那样,有一半以上的都是非典型的。
要提高急性心肌梗的早期识别,特别是中老年和他们的家属,比送到医院再去识别要重要的多。”
——中国医学科学院阜外医院深圳医院
内科管委会主任 颜红兵

所以,不管是谁,及时读懂心梗的预警信号,才有可能在关键时候救回一命:
①第一次出现胸痛,闷塞感严重,透不过气来,伴出汗,持续五分钟以上不缓解;
②以前曾有过胸痛,这次再发,而且更加严重,持续时间更长;
③上腹部有闷塞感,不明原因,但又跟与以往的腹痛不同,持续数分钟还不能缓解;
④胸闷,头昏、晕倒,甚至意识迷糊;

图片来源:pixabay.com
然而现实是,很多人心梗后,常常会痛得捂着胸口,话都说不出,全身揪成一团...
情急之中...

01
觉得没多大事
喝两口水就没事了
曾有一位44岁的阿姨,胸痛了3小时,却不听家人劝告去医院就诊,屁股“粘”在椅子上,一直和家人说:
几分钟后,她因为突发恶性心律失常(室颤)重重倒下,虽然家人马上送去了医院抢救,但已经太晚了,人已经救不回来了。

▲就诊延迟,心肌坏死
【逃生秘笈】
时间就是心肌,时间就是生命。你每耽误一分钟,就意味着更多心肌细胞坏死。
02
知道自己有事
但70%的人都自己“瞎打车”去医院
有这样一个统计数字,心梗患者比中风患者发病后平均晚到医院2小时,这是因为中风症状明显,能看到肢体不能动、口歪眼斜的症状。
而心梗往往由于胸痛不剧烈或者不典型,很多人选择忍着,或者没有意识到心梗发生的可能性。
所以70%的患者不是急救车送来的,在心内科门急诊也经常见到很多患者是坐公交、打车、骑车来的。
曾有一位60岁男患者,胸痛难忍开车来医院,好不容易开到了医院,人却死在了车里。

▲急性心肌梗死、室性早搏
【逃生秘笈】
心梗发生后,一旦再出现恶性心律失常,患者很难自救。
120救护车上有专业的急救设备和经验丰富的急救人员,是送院途中的生命保障。
所以,胸痛发生后,一定要优先呼叫120,乘坐救护车送院。
03
去医院“挑三拣四”
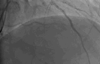
曾有一名姓余的男子,58岁,胸痛3小时后就诊,心电图诊断“急性下壁心肌梗死”“房室传导阻滞”。
医生建议他立即住院抢救,但因为有亲戚在省城大医院,他们不听劝告,执意开私家车赶往省城。结果途中死亡,十足可惜!

▲下壁心肌梗死,室颤发作去世
【逃生秘笈】
明确诊断为心梗后,快速救治是关键。
此时切莫挑三拣四、舍近求远,必须以最快速度到最近的有救治能力的医院抢救。如果当地有胸痛中心,最好去胸痛中心就诊。
04
“傻傻”在门诊等半天
曾有一名许姓的女子,44岁,胸痛3小时后来医院看病,坚持挂门诊,在门诊三楼候诊时,突发恶性心律失常(室颤)。
医护人员马上抢救,电击复律,但她最终还是没挺过来。事后证实,她患的是急性前壁心肌梗死。


▲急性前壁心肌梗死,抢救无效
【逃生秘笈】
心梗等不起,务必看急诊!大点的医院,急诊科都有急性胸痛的快速急救绿色通道。
尤其是设立了胸痛中心的医院,往往要求10分钟内完成首份心电图检查,20分钟内完成心梗三项的检测,30分钟内完成CT检查。绿色通道,才能帮你争分夺秒!
05
各种忙着找“熟人”
【逃生秘笈】
急性心肌梗死,最核心的治疗是迅速让闭塞的血管“复通”。每延迟一分钟,就有更多心肌细胞的坏死。
到达医院之后,一定要直接看急诊科!千万不要忙着去找熟人,去找朋友!不要因为等朋友或熟人看病,而耽误了宝贵的救治时间。

图片来源:新华网
06
手术前婆婆妈妈
死都不肯放支架
“可怕的心脏支架,坑害了多少人!”网上流传着很多这样的文章,全是“黑”心脏支架的谣言。
偏偏很多人听信了谣言,对心脏支架很排斥,发生心梗后无论如何不肯植入,以为“总有刁民想害朕”,最终活活丧命。

【逃生秘笈】
心肌梗死发生后,最有效的方法就是做急诊心脏介入手术,迅速开通闭塞的冠状动脉,使心肌恢复持续的血液供应。
而在不具备急诊心脏介入手术条件的医院,尤其是偏远的基层医院,在患者发病初期,急诊静脉溶栓是非常值得推荐的抢救措施,往往可以救患者一命。
但是,溶栓完成后,一定要尽快转诊到上级医院。
总之,一旦被诊断为心梗,医生建议你静脉溶栓或者行急诊介入手术时,一定要毫不犹豫地爽快答应!
07
只有一个人在医院
却要等家人来签字做手术
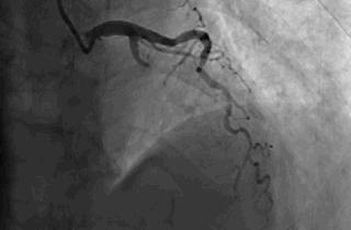
广东佛山有位姓谭的男子,年仅45岁,只身一人出差来江苏泰兴,突发胸痛,9小时后就诊于江苏省泰兴市人民医院,诊断“急性心肌梗死”。
谭某在这里举目无亲,该怎么办?
听了医生的建议后,他当机立断,自己签字接受急诊手术,最后救了回来。

▲闭塞的前降支血管开通了,心肌的血供恢复了
【逃生秘笈】
出门在外发生心梗,如果身边没有亲人,能够救你一命的只有医生!请相信他,果断签字手术。
不要等待配偶,不要等孩子,更不要犯傻地要求回当地手术。命运,此刻就掌握在你自己手中。

早在2016年12月,深圳市卫健委就发布了一张“急性心梗救治地图”。
▽

目前共有23家定点医院,由市急性心梗救治质控中心统领、120急救系统串联,构成全市心梗急救网络。
根据这张“心梗地图”,120救护车能精准地把急性心梗患者送到定点医院接受快速、有效的救治,质控中心也能通过网络系统及时进行远程会诊、指挥各单位协同作战,避免“单打独斗”耽误病情。
“心梗地图”建立后,深圳急性心梗患者在本网络区域内的抢救成功率已达95%以上。
▽

值得一提的是,作为心血管“国家队”,中国医学科学院阜外医院深圳医院牵头建立了市急性心血管疾病区域协同医疗救治体系,缩短抢救时间,打通生命通道,
而背后强大的心血管外科团队,更让急重症心血管的救治能力大大提高。
-End-
「有用就扩散」
资料来源:深圳市急救中心、中国医学科学院阜外医院深圳医院、深圳市人民医院、南方都市报等