现如今,抗癌药物百花齐放,新药层出不穷,除了传统的化疗之外,免疫治疗、靶向治疗、抗血管生成药物在很多患者身上,都取得了非常不错的效果。
选择变多了固然是好事,但对临床大夫来说,帮患者找到最合适的药物不是那么容易的。
就好比相亲找对象,第一眼就挑中最合适的“佳婿”,是需要运气的!
比如这一位,66岁的老刘,3个月前突然出现活动后气喘伴咯血,在吉大一附院做了PET-CT,结果在左肺门,发现了一个高代谢的肿瘤。

PET-CT:左肺门高代谢占位
气管镜在左肺上叶支气管开口发现了瘤子,取了活检,证实是一个肉瘤样癌。

气管镜+病理活检:肉瘤样癌
由于肿瘤太靠心了,直接手术的话需要切除左全肺,而且有可能切不干净,做了白做。
吉大一附院建议他做根治性放化疗。
但是老刘对手术有一种执念。抱着一丝希望,他来到北京,来到我们医院,开始了漫漫求医之路。
一开始看完片子之后,我们的意见与吉大一附院的意见差不多。
但我们没把话说死,如果老刘愿意做术前药物治疗,把肿瘤缩小之后,手术切干净的把握会更大一些,甚至有一丝希望可以做到根治。
但按照我们的经验,肉瘤通常是没有靶向药可以用的。于是我们给他安排了PD-L1的检测,TPS<1%,提示免疫治疗很可能无效。

PD-L1检测结果
虽然传统化疗对于肉瘤来说效果也一般,但这是唯一的希望了。
不过,家里人一听化疗这两个字,瞬间露出鄙夷的神色。因为他们听别人说化疗副作用很大,不太想让老刘遭这份罪。
而且,如果打化疗无效,反倒把身体打坏了,得不偿失——家属的顾虑不无道理!
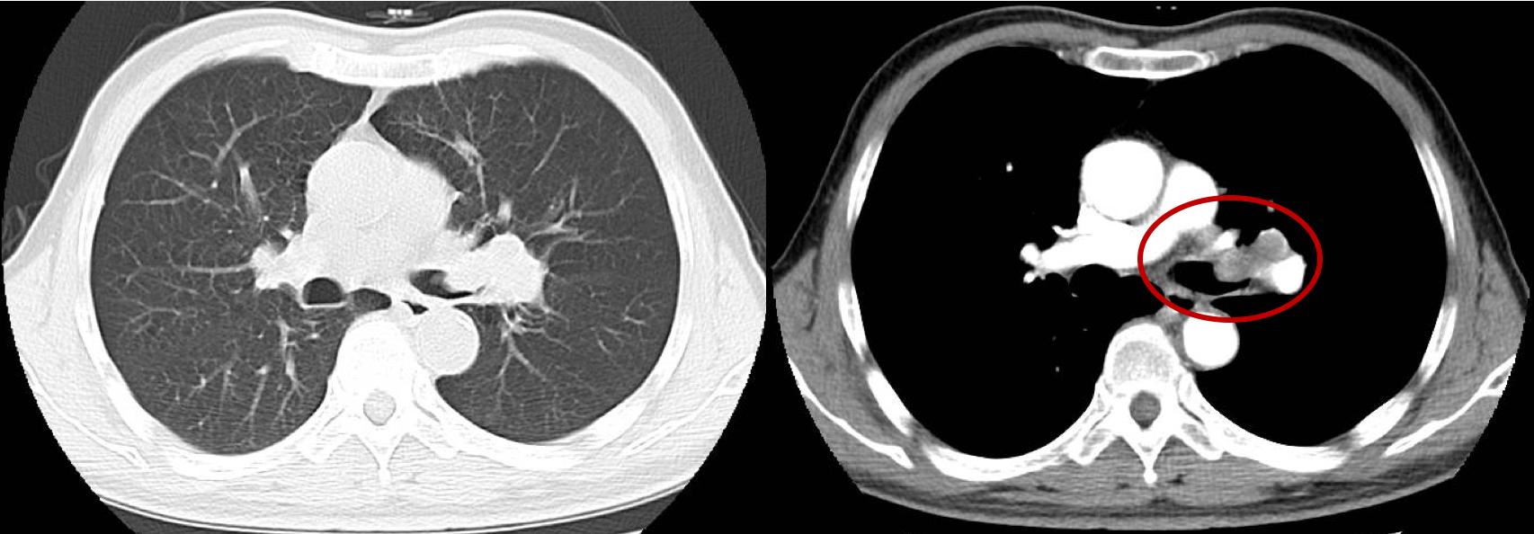
但是,来北京半个多月了,肿瘤已经有所进展,把左主支气管堵死了。老刘出现了阻塞性肺炎,高烧39度,左侧的胸廓有所塌陷,走10步路都喘得厉害,不尽快治疗的话,老刘危在旦夕。

左肺门肿块堵塞支气管,导致阻塞性肺炎
晓之以理之后,老刘一家同意了化疗。
我们选了一个副作用比较小的方案:白蛋白紫杉醇+卡铂,考虑到病人身体情况,我们给减量了20%。2个周期化疗之后,肿瘤明显缩小了,支气管再次通畅,老刘的呼吸困难明显改善。

然而,老刘还是出现了化疗后骨髓抑制,白细胞降低,中性粒细胞计数只有正常值的一半,但是打了升白针、经过一番调理之后,骨髓造血功能逐渐恢复正常。
接下来面临一个关键的选择,做不做手术?如果没切干净,白挨一刀,术后还是得做放疗。而且左全肺切除之后,病人的生活质量肯定会下降一大截。
我们给病人做了分侧肺功能检测(肺灌注显像),结果发现,老刘的左肺功能只占到全肺的20%,也就是说,左侧的肺功能本身也不是很多了。

肺灌注显像
老刘思虑再三,接受了手术。
我们给他做了左全肺切除,最终病理报告显示:瘤床经全部取材,未见明确癌残留!

肿瘤达到了病理完全缓解
非常幸运,化疗杀死了全部的癌细胞!这在医学上叫作“病理完全缓解”,是一个非常小概率的事件,被老刘赶上了!
在众多药物之中,靶向治疗的疗效好、副作用低,各方面都很优秀,是个典型的“高富帅”。
而免疫治疗是最近两年出现的一个“暴发户”,对很多肿瘤都有效,有钱人嘛大家都喜欢!
化疗则是一如既往的老实忠厚,虽然跟着他可能会受点苦、遭点罪,但好歹也是个能过日子的人,搞不好还有希望收获一辈子的幸福。
所以,兜兜转转一大圈,千万别错过这位“经济适用男”!
#健康科普排位赛# #哆咖医生超能团# #寻找真知派# #真相来了#