1.渗出与实变
实变是指肺泡、细支气管内的气体被渗出物(液体、蛋白、纤维素、细胞等)或病理组织所替代。多见于各种炎症、浸润性肺结核、肺水肿、肺出血和真菌病等。最常见的是炎性渗出。由于病理性液体可沿着肺泡孔向邻近肺泡扩散,因而病灶呈逐渐移行状态,与正常肺组织分界不明显。
当病灶处于渗出性病变时可见单发或多发斑片状、云絮状磨玻璃样稍高密度影,大小不等,密度不均,边缘模糊。当病灶进展至实变期时,密度较高且均匀。大片实变的肺组织内可见含气支气管影,称之为空气支气管征或支气管气像。MRI上由于肺泡内的气体被液性物质所取代,故在T1WI呈较低信号,T2WI呈较高信号。临床上渗出与实变常见于肺炎、肺结核、肺出血、肺水肿等。

渗出性病变X线及CT图像
胸部X线正位片(a)示左肺纹理增多、模糊;CT肺窗(b)和纵膈窗(c)示两下肺片状高密度影,边缘模糊。

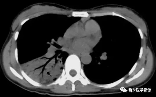
右肺下叶实变CT图:显示空气支气管征(↑)
2.空洞与空腔
空洞为肺内病变组织坏死、液化后经引流支气管排出后形成,多见于肺结核、肺癌、肺脓肿等。空洞内如有液化坏死组织可形成气-液平面,多见于肺脓肿。空洞壁可为坏死组织、肉芽组织、纤维组织或肿瘤组织等。依据空洞壁厚薄可分为虫蚀样无壁空洞、薄壁(厚度≤3 mm)空洞及厚壁(厚度>3 mm)空洞。

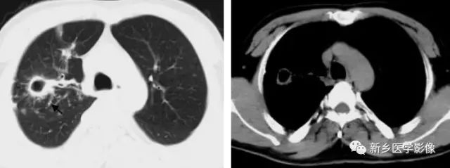
肺结核空洞CT图
a. 肺窗;b.纵隔窗,显示右上肺薄壁空洞(↑)

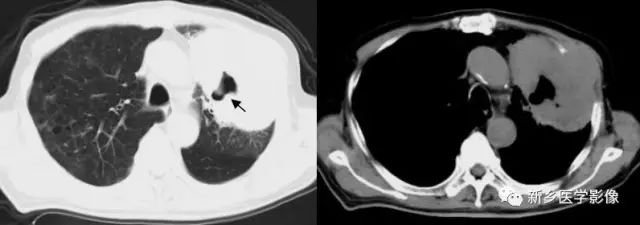
肺癌空洞CT图
a. 肺窗;b.纵隔窗,显示左上肺厚壁空洞(↑),内壁不规则,见壁结节

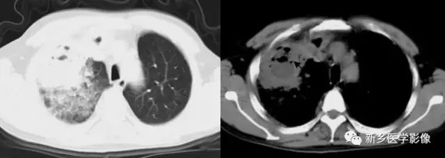
肺脓肿空洞CT图
a. 肺窗;b.纵隔窗,显示右上肺厚壁空洞(↑)周围见大片状模糊影
①. 虫蚀样无壁空洞
为大片坏死组织内的空洞,洞壁为坏死组织。空洞一般较小、多发、边缘不规则呈虫蚀状,多见于干酪性肺炎。
②. 薄壁空洞
洞壁由肉芽组织、纤维组织及干酪样组织构成,厚度≤3 mm一般边界较清晰,壁厚度均匀,内壁光滑,周围肺野可见斑点状、索条状影,多见于结核性空洞。
③. 厚壁空洞
壁厚>3 mm,边界欠清,内壁凹凸不平或光滑整齐,多见于肺结核、肺脓肿及周围型肺癌。结核性空洞干酪样坏死物未完全排出时为厚壁空洞,外壁光整,内壁可不规则,排出后呈薄壁空洞。肺脓肿空洞壁外缘常较模糊,内缘多光整,空洞内多形成液-气平面。癌性空洞常为偏心性厚壁空洞,空洞外壁可呈分叶状,内壁凹凸不平或可见结节状腔内突起。
空腔是肺内生理腔隙的病理性扩大,它没有病变坏死组织引流排空过程。多见于支气管扩张、肺大泡及先天性肺囊肿。空腔壁一般由薄层纤维组织(如肺大泡)或支气管黏膜上皮(支气管扩张)及纤维组织(如先天性肺囊肿)构成。空腔壁一般薄(<1 mm)而均匀,周围无实变,腔内无液体。合并感染时,空腔壁可增厚,内可见气-液平面,空腔周围亦可见实变影。

肺空腔CT图
a. CT肺窗显示两上肺大泡 b. CT肺窗显示左下支气管扩张
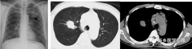
3.结节与肿块
结节或肿块呈圆形、类圆形或不规则形的密度增高影,一般将直径≤20 mm称为结节,其中<5 mm称粟粒结节,5~10 mm称微结节,>10 mm者称小结节;20 mm以上的病灶称为肿块,结节和肿块仅为大小的区别。可单发,亦可多发。单发者常见于肺癌、结核球、错构瘤、炎性假瘤;多发者常见于转移性肺癌,血源性金黄色葡萄球菌肺炎、韦氏肉芽肿、恶性网织内皮细胞增殖症、寄生虫囊肿等。

肺部肿块X线胸部正位、CT图
a. X线胸部正位片示左上肺肿块(↑);b和c. 胸部CT肺窗和纵隔窗示右上肺肿块,纵隔淋巴结肿大
①.密度
根据CT平扫肺内结节密度可分为实性结节、磨玻璃样密度结节及混合密度结节。同时,肺内肿块性病变早期密度一般较均匀,中晚期恶性病变或是脓肿等炎性病变可出现不同程度的液化、坏死呈低密度。良性病变内常可见爆米花样、蛋壳样钙化,恶性病变钙化少见,呈沙砾样钙化。另外在肺部同时也应观察平扫与增强后动脉期、静脉期结节密度变化情况。
②.分叶征
指肿块的边缘呈凹凸不平的多个弧形。可分为深分叶和浅分叶。其病理基础为病变组织在生长过程的不均匀增长,同时由于较大血管、支气管或小叶间隔纤维性增生对病灶生长的阻挡所致。深分叶对周围型肺癌诊断意义较大,良性肿瘤、结核球、转移性肿瘤等也可出现分叶,但以浅分叶多见。
③.毛刺征
指自肿块边缘向周围呈放射状分布的线状影。粗短毛刺常提示其为恶性,是肿瘤细胞沿周围结构浸润性生长所致。慢性炎性病变多表现为长毛刺,是结缔组织反应性增生的一种表现。

胸部CT肺窗图:显示毛刺征(↑示)
④.空泡征
指病灶内1~3 mm大小的点状透亮影,可单发亦可多发。多见于直径在3 cm以下的早期肺癌。其病理基础是尚未被肿瘤组织破坏的肺泡及扭曲未闭的细支气管。

胸部CT肺窗图:显示空泡征(↑)
⑤.空洞见“空洞与空腔”部分。
⑥.钙化见“钙化”部分。
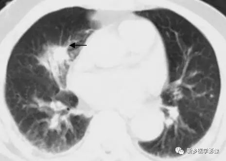
⑦.胸膜凹陷征
表现为肿块与邻近胸壁间的三角形或喇叭口状影,其尖端指向或深入病灶内。为病变瘢痕收缩牵拉邻近胸膜所致,肿瘤及炎性病变皆可出现此征象。

胸部CT图:a. 胸部CT肺窗和b. 纵隔窗显示胸膜凹陷征(↑)
⑧.周围卫星病灶
结核性肿块邻近肺野常可见斑片状、索条状卫星病灶。周围出现多发结节,多考虑恶性肿瘤已发生转移。
4.增殖和纤维化
增殖为纤维母细胞、血管内皮细胞和组织细胞增生,内有淋巴细胞、浆细胞形成的浸润病灶。常见于慢性炎症形成的肉芽肿、干酪样病灶等。结核、矽肺结节均为肉芽肿性病变,表现为边界清楚的斑点状、结节状高密度灶;炎性假瘤为增生性炎变,多呈球形或肿块形状,慢性肺炎则多表现为小于肺段或肺叶的病灶,其变化均较为缓慢,几个月甚至几年无吸收,或可缓慢长大。
纤维化是指纤维组织取代病灶中的细胞成分,成为病变组织的主要成分。分为局限性和弥漫性两种。局限性纤维化常见于慢性炎性、结核修复、愈合期表现。表现为索条高密度影,边界清晰。严重者可引起肺门牵拉移位,胸廓塌陷,纵隔向患侧移位等。
弥漫性纤维化常见于弥漫性间质性病变,病理上以肺间质为主的渗出或漏出、炎性细胞或肿瘤细胞浸润、纤维结缔组织和肉芽组织增生。影像学表现根据病理学改变的性质、范围、时间的不同而不同。
常见表现为近肺门部肺纹理增粗、条索状影,肺野外围细线状、网状或蜂窝状影。广泛的小叶间隔增厚,相邻增厚的小叶间隔相连形成胸膜下1 cm以内与胸壁平行的弧线线状影,称为胸膜下线。小叶间隔的淋巴贮留、间质水肿或纤维化,可在肋膈角区形成为长约1-3 cm、宽约1-2 mm的水平横线,大致与胸膜面垂直,外侧与胸膜相接触,称为小叶间隔线B线(Kerley's B线)。
CT,尤其是HRCT对早期轻微肺间质纤维化非常敏感,可显示小叶间隔增厚等细微变化,对肺间质病变的诊断具有重要价值。常见疾病有慢性支气管炎,系统性红斑狼疮、结节病、类风湿关节炎、过敏性肺炎等免疫性结缔组织病,尘肺、矽肺等职业病以及癌性淋巴管炎等。

两肺间质性改变X线胸部正位片(a)、CT肺窗(b)图
5.钙化
钙化为钙盐在肺内的异常沉积,多发生在退行性变或坏死组织内。常见于肉芽肿性病变,如结核。肺内肿瘤组织及囊肿壁也可出现钙化。影像学上钙化的大小、形态、分布各异,X线平片或CT显示效果较好,MRI由于在T1WI及T2WI上钙化一般均呈低信号,因而显示效果较差。
肺内肿块的钙化特点在病灶良、恶性判断中具有一定价值。钙化多,蛋壳样、爆米花样钙化,常为良性病灶,蛋壳样、弧形钙化提示囊性病变,爆米花样钙化提示错构瘤或骨肉瘤肺转移。肺癌的钙化发生率低,且多表现为细小砂粒状钙化,成簇状分布。

左肺结核球X线胸部正位片、CT纵隔窗图
a. X线胸部正位片 b. CT纵隔窗示钙化(↑)
6.肺门改变
①.肺门增大
一侧肺门增大常见于结核及转移性淋巴结肿大、肺门中央型肺癌及一侧肺动脉或肺静脉的扩张。两侧肺门肿大常见于结节病及淋巴瘤。X线表现为肺门密度增高,范围增大,肺门可见局限性外凸或呈分叶状肿块。CT及MRI较X线检查优势明显。特别是利用MRI的血管流空效应,不需使用对比剂即可较好的区分肿块、血管及气管等结构。
②.肺门缩小
常见于右心室输出量减少或右室流出道梗阻性病变。一侧肺门缩小常见于肺动脉分支先天异常;两侧肺门缩小可见于法乐氏四联症。X线表现为肺门影变小。
③.肺门位置的改变
肺门移位常见于肺不张及结核纤维瘢痕牵拉。上叶不张或肺内大量纤维化可使患侧肺门升高,而下叶肺不张或纤维化可使肺门下移。

右侧肺门上抬X线胸部正位片图
本文来源:新乡医学影像