
第三篇章 • 生命的土壤 第005期·子宫内膜炎
朋友,你好吗
我是张院长
“山色秋分后,月华霜降前”。朋友们好,秋分过了,中秋近了,张院又和你见面啦。今天我们就一起再聊一聊有关生命的土壤——子宫内膜的那些事儿,说一说子宫内膜炎。

子宫内膜炎根据症状表现、起病缓急可以分为急性的子宫内膜炎和慢性的子宫内膜炎。那么从病理学角度来说,急性子宫内膜炎它是以子宫内膜浅表上皮和腺腔里面中性粒细胞的浸润和一些微小脓肿的形成为特征的。而慢性子宫内膜炎是以子宫内膜表面的水肿,然后上皮间质发育不同步,以及子宫内膜的间质浆细胞的浸润为特征的。临床上慢性子宫内膜炎是比较多见的,慢性子宫内膜炎也是慢性盆腔炎的一种疾病,是一种表现形式,一种慢性的良性病变,症状一般比较轻,或者根本就没有什么特殊的临床表现,所以往往容易被忽视。

很多患者在查出问题以后会问:大夫,我怎么就得了子宫内膜炎了呢?我不疼不痒,也没有任何不舒服,我也没有什么不洁的*行为性**呀!我家里的人也没有这个病啊!
那是怎么回事儿啊?张院要告诉你的是,子宫内膜炎它发病率其实是蛮高的,特别是在不孕症的女性里头,发病率可以高达40~50%。而在那些胚胎反复种植失败,以及复发性流产的女性里面,可以高达60%~70%左右。所以在这种情况下我们就要知道,子宫内膜炎的主要病因其实还是微生物的感染。那么常见的病原体有链球菌、大肠杆菌、肠球菌、葡萄球菌、支原体、衣原体等等,还有就是咱们最常见的阴道加德纳杆菌,还有酵母菌、念珠菌等等,这些都有可能造成阴道流血,还有做人流或者宫腔操作时,或者细菌性阴道炎、输卵管积水,这些它都有可能伴发而行。

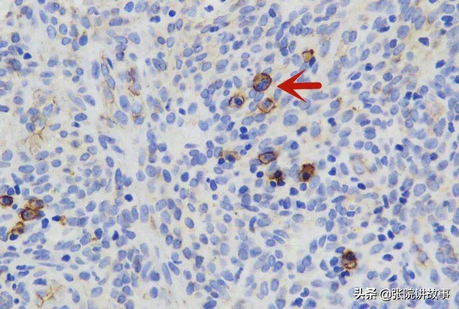
子宫内膜炎因为一般没有什么特殊的症状,容易被忽视。如果你没有发现这个病,并不代表就没有,有可能是没有得到一个有效的诊断。慢性子宫内膜炎,实际上它主要靠宫腔镜的检查和组织病理学的检查,子宫内膜的活检发现子宫内膜炎的组织学的证据,它才是咱们诊断内膜炎的一个金标准。
虽然子宫内膜炎不容易被察觉,但是因为它对生育有影响,所以我们就应该引起关注。因为如果有了子宫内膜炎,它就会影响到精子、卵子的见面。当精子进入女性身体以后,那患有炎症的女性生殖道里面会存在细菌、支原体、真菌等微生物,那么这些微生物超量的情况下,这些病原体就会阻碍精子向前与卵子见面,而且在这个过程中它还会引起精子的死亡或者精子的活动力的下降,这样一来就使得输卵管里面的精子的数量减少,影响到受孕。接下来受精卵是要着床在子宫内膜里面的,如果有子宫内膜炎,内膜基质细胞的蜕膜化,以及内膜里面的微环境,以及咱们子宫内膜上面的一些相关基因的表达,还有子宫内膜异常蠕动波这些的发生,它都会产生一些机械刺激、化学刺激,影响内膜的容受性,所以使得受精卵着床失败。

另外子宫内膜炎如果存在的话,还会影响到土壤里头的毛细血管的生成,毛细血管的形成、发育上出现障碍的话,就会影响到胚胎的种植,以及早期胚胎获取营养的过程,所以就会引起流产或者胚胎停育。那么如果诊断了子宫内膜炎,在治疗上目前来说一定是采取个体化的治疗方案,因为它背后的原因是不一样的,常规来说,抗生素治疗是可选的,当然要有针对性的选择。还需要有一定的依据。除此以外,如果子宫内膜炎已经引起了子宫内膜结构的改变,那需要做宫腔镜手术,比如说有一些炎性息肉,我们可以把它摘了,宫腔粘连可以给它分解了。除此以外就是局部的一些宫腔治疗,用一些活血化瘀的药物,用一些激素的补充治疗,这些也都是有针对性的,对内膜炎还是有一些治疗作用。
另外就是在这儿提醒,特别是在试管婴儿治疗过程中观察到如果子宫内膜发育的不均匀,内膜线不连续,这时候最好还是通过宫腔镜的检查,看看有没有病理情况的存在。取一些子宫内膜送病检,然后发现CD138、CD53、或者是说CD38浆细胞这些有没有存在?

如果有的话要确诊是不是子宫内膜炎的问题,如果是那么就要有针对性的治疗,这样的话咱们提高反复着床失败的这部分患者的妊娠率才有所帮助。另外就是我们说到子宫内膜炎既然是个炎症的话,那么从中医这个角度来说,与不良的生活方式,寒凉的刺激,运动不规律都是相关的。因为我们知道寒从脚底生,所以还是嘱咐年轻的朋友们一定要注意双脚的保暖,特别是在咱们脚踝的上方有一个三阴交位置一定要保暖了,寒从脚底生,那么寒凝气滞对吧?然后气滞、血瘀,血瘀真假形成,那可不就是一些西医上所描述的炎性表现。

所以说日常生活的规律以及运动的规律,营养的均衡,这些实际上都是至关重要的,除此以外还要注意个人的卫生,*伙伴性**要严格,这一方面还是要做到,从而减少一些细菌的滋生,在提高免疫力的前提下,我们才能降低子宫内膜炎的发生。
好啦,今天我们的有关子宫内膜炎的问题呢就说到这儿了。秋天真实的到来了,天气也是越来越凉了,所以再次的嘱咐朋友们注意添加衣物,注意保暖,谨防感冒,提高自身抵抗力,让我们每天都保持一个快乐的心情,健康的生活着,让我们用美好互相滋养着。
好了,下周五我们再会。

【随堂笔记·划重点】
子宫内膜炎:根据症状表现、起病缓急可以分为急性子宫内膜炎和慢性子宫内膜炎。急性子宫内膜炎它是以子宫内膜浅表上皮和腺腔里面中性粒细胞的浸润和一些微小脓肿的形成为特征的。而慢性子宫内膜炎是以子宫内膜表面的水肿,然后上皮间质发育不同步,以及子宫内膜的间质浆细胞的浸润为特征的。临床上慢性子宫内膜炎是比较多见的,慢性子宫内膜炎也是慢性盆腔炎的一种疾病,是一种表现形式,一种慢性的良性病变,症状一般比较轻,或者根本就没有什么特殊的临床表现,所以往往容易被忽视。
子宫内膜炎不不孕:子宫内膜炎会影响到精子、卵子的见面。患有炎症的女性生殖道里面会存在细菌、支原体、真菌等微生物,那么这些微生物超量的情况下,这些病原体就会阻碍精子向前与卵子见面,而且在这个过程中它还会引起精子的死亡或者精子活动力的下降,这样一来就使得输卵管里面的精子的数量减少,影响到受孕。接下来受精卵是要着床在子宫内膜里面的,如果有子宫内膜炎,内膜基质细胞的蜕膜化,以及内膜里面的微环境,以及咱们子宫内膜上面的一些相关基因的表达,还有子宫内膜异常蠕动波这些的发生,它都会产生一些机械刺激、化学刺激,影响内膜的容受性,所以使得受精卵着床失败。
【注:以上部分图片来自网络,如有侵权立删】
嗨:)朋友你还可以在这些地方找到我
新浪微博: 张院讲故事
*今条头日**: 张院讲故事
