前几天经治了一位患者,是一位58岁的女性,住院时已经在外院做了一些检查了,没有明显症状,查体发现肝脏占位,既往也没有肝炎病史。

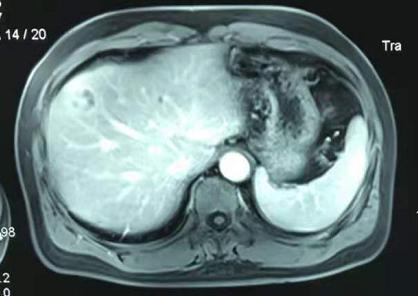
患者的核磁影像
外院的核磁提示:肝内胆管癌可能性大,肝门及腹主动脉旁淋巴结,考虑转移可能。

患者的PET-CT报告
入院时家属的心情非常沉重,入院仔细检查后发现患者既往没有肝炎病史,肿瘤标记物均是阴性,PET-CT报告反馈非常严重,但是仔细查看核磁片子并不支持典型恶性肿瘤表现,因此术前谈话时也交代了可能存在良性疾病的可能。
家属非常积极要求手术治疗,顺利实施了肝脏部分切除手术,术后病理回报为肉芽肿性炎。

最终的病理报告
当把这个消息告诉家属时,家属欣喜万分,原本以为是一个晚期肿瘤,结果是一个肝脏良性病变(肉芽肿性炎)。
那么什么是肝脏炎性假瘤呢?为什么容易误诊为肝癌呢?今天我们就聊聊肝脏炎性假瘤。
1、 肝脏炎性假瘤是什么?
肝脏炎性假瘤(imflammatory pseudotumor of liver,IPL)是一种极为少见的、 由各类致炎因子引起, 以炎性结节性增生为特征的非肿瘤性疾病。
年龄以40至70岁多见。男性发病率高于女性,男女比例约为 2: 1。可单发亦可多发。目前认为与感染、自身免疫性疾病、寄生虫感染等因素相关。
2、 肝脏炎性假瘤需要跟哪些疾病鉴别?
肝脏炎性假瘤患者一般多无特殊临床表现, 既往多无肝炎等特殊病史, 伴有瘤体感染和液化时有发热、右上腹痛等症状。
由于IPL组织成分变化较大,其影像学表现也多种多样,与一些良、恶性的肝脏疾病不易区分,造成诊断困难。有时甚至在术中切下后肉眼形态上也与肝脏各种原发或转移性恶性肿瘤相混淆,需要术中冰冻病理才能明确诊断。
就像文中提到的这位患者术前PET-CT几乎宣判了她是晚期恶性肿瘤,结果病理却证实是良性的,再次说明治病不能仅靠检查报告,还应该综合各方面的因素来判断,病理诊断才是金标准,如同之前科普文章谈到的黄色肉芽肿性胆囊炎病例。
因为良性和恶性肿瘤手术的范围和处理方式不同,因此肝脏良性假瘤主要需要与各种肝脏恶性肿瘤相鉴别,例如:原发性肝细胞癌、肝内胆管癌、转移性肝癌等。
3、 肝脏炎性假瘤如何治疗?
肝脏炎性假瘤属良性疾病发展缓慢 ,症状较轻,未见有严重并发症及癌变,预后多良好。但是因为炎性假瘤术前诊断较为困难,在不能排除肝恶性肿瘤时应考虑手术切除。
IPL首选治疗方法为手术切除。目的是明确诊断,切除病灶。
又是一场皆大欢喜!在皆大欢喜的背后我们更应该看到疾病的复杂性,尊重客观事实,永远不要放弃,是顽强生命力的坚实两翼。
#我的冬日门诊#
#健康#
#医疗#