讲个最近我经历的有意思的事儿。点子背,遭了点儿小罪。
自驾闲游十多天,周二(8月16日)下午五点半回到西安,从车上往家卸行李。
要赶七点的高铁回北京,时间紧迫。一着急,抻着腰了,很快腰椎便疼痛不堪。
在火车上,坐着和半躺着都难受,我把两瓶矿泉水垫到腰后面,强忍了四个多小时终于捱到北京。下车时腰疼的更厉害了,担心会折掉,我绷紧腰部的肉团,弯着腰、双手从背后托举着背包出的车站。
直不起身,走路不敢迈大步,亦步亦趋;不能久坐,亦不能平躺,睡觉也只能侧卧,夜里当然也睡不好。
第二天我又双手托着腰艰难来到了公司,被亲爱的同事们看到,立马受到了热情关怀,给买了云南白药气雾剂和膏药。
喷雾加膏药连用三天,丝毫不见好转。
周五(8月19日)下午五点多的火车要回西安,这腰伤不见好转也不是个事儿啊!
同事都建议我去做中医按摩。
高德搜索“中医按摩”,挺巧,我们楼下就有一家。
从高德上提供的照片来看,门口挂着“某某某中医医学研究院”和“全国健康养生培训基地”的牌子,那么应该是很专业的,打电话预约到下午一点钟。

高德提供的按摩店图片

高德提供的按摩店图片

高德提供的按摩店图片
我一点钟准时到了按摩店,墙上挂满了医师们研讨交流会议的照片和诸多“妙手回春”之类的锦旗。
一位个头不高戴眼镜的年轻医师正在给趴在按摩床上的男顾客做治疗,也是在按摩腰部,旁边站立一男一女在认真看着,像是两位学徒。年轻医师的手法很是娴熟,只见他噼里啪啦拍拍打打,接着又是扭胳膊、又是压腿,一气呵成,打完收功。男顾客起身活动了几下身子,露出舒坦的表情。
我想运气还不错,这家中医按摩馆应该是具备相当专业水准的。
医师送走刚才的顾客,问我:用完午饭有半小时了没?
我楞了一下,做按摩第一次被问到关于吃饭的事情。
医师随后解释到,如果食物未消化,在按摩过程中容易产生呕吐的现象。
这让我越发觉得他们的按摩是专业的,有救了。
这位年轻医师乍一看有点像山东的一个网红姜涛,圆圆的脸,看上去非常的朴实。聊天得知,他果然是山东烟台人,姓王。2011年毕业于中医药专业,研习中医医术十多年了。
询问了我的状况,便告诉我需要三步治疗方案:先按摩、再推拿正骨,最后拔罐。
前面按摩都挺好,感觉使腰部轻松多了。
可推拿的最后一个动作伤到了我。
王医师让我左手抱着右肩膀,右手抱着左肩膀,两只胳膊叠起来,侧卧。

抱臂姿势示例
然后他在我叠加的胳膊上放了个靠垫,猛的跳起来将他身体重重压到了我的胳膊上。一下、两下,到第三下时,我紧抱的胳膊已经松散开了,还没来得及再次抱紧,就又挨了一下重压。导致我左胳膊肘硌到了我心脏正上方的肋骨上,顿时我疼的喘不过气来,从牙缝里挤出来一个“停”字。
我揉着剧痛的胸口,王医师在旁边安慰我说:没事儿,不用担心,没有听到响声就说明骨头没有问题,缓缓就好了。
足足有七八分钟,疼痛缓解了一些,能忍受了,他便让我脱掉上衣趴到按摩床上给我拔罐。
腰部不适感确实缓解了很多,尝试过能站直了,但是胸部仍感觉有把锥子插在上面。我还和他们开玩笑,别把我这“瞎子给治成了聋子”了。
在闲聊中,得知王医师干了很多年中医方面的营生,能够很好的治疗和改善许多疑难病症。但按摩店的经营一直没有太大起色,挣不到钱。
我就建议他可以尝试开直播,给顾客边治疗边讲解,把中医的医理和奥妙详细的讲出来,平时还可以教大家一些养生方面的知识、传承中华民族中医文化等等。慢慢积累人气,带动慕名上门顾客的数量增长,同时还可以在直播平台上销售他代理的一些中药材、膏药或者食补商品等。
王医师很是兴奋,立马就要上淘宝购买直播设备。还加了我微信,让我给他指导做直播,承诺以后可以帮我免费治疗膝盖的滑膜炎。
哈哈,还说等我下次回北京请我吃饭。

和王医师的微信聊天

和王医师的微信聊天
回到西安的第二天,腰疼基本好了,胸部疼痛症状也减轻很多,但仍觉不适。
看来王医师的确有两把刷子。
回西安两天后的周一晚上(8月22日),我伸了个懒腰,只听胸部被硌到的肋骨位置“咯噔”一声,立马疼痛无比。
坏了!我的第一反应是肯定还是在按摩时伤着骨头了,感觉像是肋骨断了,断裂的骨头茬口又划到了心脏。
这下麻烦大了!
但我仍抱有侥幸心理,说不定缓一夜就好了呢。
躺着一夜都不敢动,因为不动都很疼。媳妇帮找到云南白药喷雾,一晚上喷了好多次,症状未曾减轻。天快亮了才睡着。
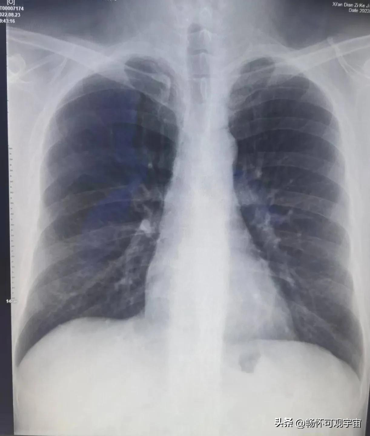
早上醒来已经八点多,捂着胸口先去做了核酸,然后由媳妇陪着去了门口的大学医院拍X光片。

看不懂所以然

X光拍片诊断结果
从X光片上可以看到疼痛的肋骨部位有一道细纹,我问是不是肋骨裂了,医生说不好判断(我觉得是学校医院的设备过于陈旧,拍不清晰)。最后医生诊断是胸壁挫伤,需要静养,多喷喷云南白药。
既然医生说了,那就谨遵医嘱,静养吧。
我给王医师发了信息,他竟然看完我X光片夸我骨密度保养的还不错。
这哪跟哪啊!

和王医师的微信聊天

和王医师的微信聊天

和王医师的微信聊天

和王医师的微信聊天
鼻炎犯了不敢擦鼻涕,更不敢咳嗽、打喷嚏,连深呼吸都令胸部疼的很厉害。晚上睡觉最煎熬,平躺着不动都疼,更不敢侧身,疼的睡不着啊。
偏偏那几天事情又特别多,每天电话不停,还开了很多次视频会议。
我就这样一直忍到了9月3号,距上次拍X光片已经过去十天了,疼痛没有丁点儿的缓解。
不行,我得再次去做检查,找个大医院,确认一下到底是怎么回事。
就去了省人民医院。
咨询了导医台,挂了个胸外科。
胸外医生在台式电脑前面放了个笔记本电脑,一直用鼠标点来点去,几乎没有看我两眼。我描述了一下受伤过程和症状,他告诉我没必要再做检查,应该就是挫伤,在心脏位置即使是肋骨断裂也没有好办法,只能静养等它自己长好。
我从医生办公室出来,总感觉不甘心,既然来了,总得解开疑惑的疙瘩,想得到更加清晰的答案。
我又从手机上用排除法看哪个科室还适合我的情况,就选了骨科,挂了个主任号。
在二三线城市生活有一点特别好:看病方便,很容易就能挂到号,且能及时看上医生。
哪像在北京,看病挂号都得提前很多天,往往还挂不到号。我在某水潭医院约了两次膝盖核磁,都要排队大约一个月以后,后来两次预约都没做成。2019年第二次的核磁交费还没有退我,缴费单子早找不到了。
关于在西安使用北京的医保,有一个问题我没弄明白,请了解的朋友帮忙留言解答:我通过“国家医保服务平台”APP办理了医保异地就医,但是在医院使用时只能过北京的医保账户,但是无法享受医保的折扣,仍然要支付全款。这是怎么回事呢?
接着聊看医生的事情。
骨科主任仔细询问了我的情况,并在我肋骨处按了几下,还在我后背上敲了几下。他排除了骨头断裂的可能,但是提出了一个更让我担心的假设。
骨科主任怀疑是我心脏有问题,还举例说有很多三十多岁的人突发心梗没有及早发现导致悲剧发生,建议我做个心电图。
我想最近经常奔波忙碌,又是喝酒、又是熬夜的,还真说不准心脏会有问题。由于疫情影响,今年的体检还没顾上做。
骨科主任给我开了心电图检查单,我又要求给我加了个扫描胸片儿,还是想弄清楚肋骨到底裂了没。

心电图没发现问题

拍片儿也没发现问题
然而,检查结果一切正常,医生给我开了两盒膏药和一盒止疼药,让回家继续养着。
我悻悻而归了。
又三天过去了,不知道是膏药对症、还是止疼药起的作用,胸部疼痛在逐日缓解。到了今天可以偶尔向左侧卧了,但是仍有压迫痛感,侧躺一二十秒赶紧恢复平躺。
照这速度,估摸着再有一星期应该就能完全恢复了。
这就是我所要讲述的“按摩有风险”。还记得很多年前第一次做颈椎牵引,医生用一根粗布绳子套到我脖子上,猛的一拉“咔哒”一声响,着实把我吓得不轻,以为脖子被拉断了。以后再没做过颈椎牵引,太可怕了。
反正我以后再遇到按摩医师有特殊动作时一定会慎重小心。
同志们,以我的经历为警示,一定要注意啦,按摩除了享受,还伴随有伤筋动骨的风险啊!
畅怀可观宇宙
2022年9月7日01:15分