
9月8日,苏州科技城医院口腔医学中心来了一位年轻的小姑娘,看她抿着嘴一脸严肃的样子,还以为是要看牙紧张的呢,一张嘴大家才恍然大悟——原来是门牙中间的这道缝,让她不敢美美地笑。她被这个问题困扰了很多年,那“门牙缝大”都是什么原因导致的呢?
一、遗传因素:恒牙先天形态异常/缺失;门牙唇腭侧或中间多生牙,影响恒牙正常生长排列;
二、替牙期异常:乳牙脱落异常,恒牙生长偏差,导致缝隙较大,咬合关系不佳;
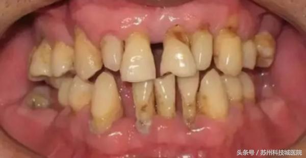
三、牙周病:牙周炎晚期牙槽骨吸收、牙龈萎缩,引起间隙过大。如不尽早治疗,牙缝越来越大;
四、口腔不良习惯:忽视口腔清洁,食物嵌塞牙缝压迫牙龈,龈乳头炎症性退缩,牙缝变大;
五、内分泌异常:如肢端肥大症患者常因舌体过大而造成牙间隙。
牙齿本是亲密无间,奈何牙间隙大微笑时就像个老太太,牙间隙会给患者的生活带来很大的危害,对于爱美的人来说更是一种非常大的打击!
牙齿间隙有哪些危害呢?
对口腔健康的危害:降低咀嚼效率,影响发音; 引起颞下颌关节疾病; 牙龈肿胀出血,口腔异味; 牙根暴露,发生牙齿过敏症。
对身体健康的危害:食物咀嚼不充分,胃肠负担增加,久而久之引起消化不良或胃肠疾病,有损身体健康。
对心理的危害:严重前牙稀疏者会引起面部不协调,影响面容美观。选择职业、社会交际等受到影响。思想负担沉重、有自卑感。若是门牙有缝,与别人交谈时说话漏风,咬字不清,这让很多年轻人在职场、生活中苦恼不已。
那么,对于牙缝大的情况要如何处理呢?牙缝大能矫正吗?且让口腔医学中心主任宋卫健给大家介绍几种修复牙缝的方法:

牙周治疗:一些人出现牙缝变大的情况是由于牙周疾病引起的,这个时候大家就需要尽快去医院就医,对于这类疾病越早治疗能得到越好的恢复。

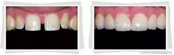
树脂美学修复:美学树脂修复技术相对价格便宜,效果较好,但是对医护配合、技术和材料要求较高。同时这种修复技术也有一些适应症和禁忌症。

贴面修复:如果是成年人牙齿都很整齐,在一个水平线上,仅前牙间隙大,做贴面即美观、又方便迅速。

正畸治疗:牙齿不整齐,牙齿关系疏松。先天原因所致牙间隙过大。都可以通过正畸治疗来纠正牙齿位置及咬合关系。
根据患者的年龄和牙齿缝隙的大小,所需要的治疗方法、治疗时间、费用都不同,建议到正规医院检查,选择适合的治疗方法喔!!!