民以食为天,中华民族是一个会吃的民族。就如亚洲鲤鱼在美国密西西比河泛滥成灾,无人问津,但要是到了中国人手里,用鲤鱼给你做出十几道菜品那都不是事。

亚洲鲤鱼在美国泛滥成灾
虽然中国人懂吃、会吃,但是也有意外的事候,比如误吞了鱼骨。还没完!鸡骨、鸭骨、鹅骨也不少。还有一些最让人意外,在这里先卖个关子,把答案放在文章最后。
概述
消化道异物是临床常见急症,可发生于各年龄段。小而光滑的异物可经消化道自行排出,对机体影响不大,而较大且锐利的异物不容易排出。消化道生理性狭窄是异物停留好发的部位,异物阻塞或划伤消化道黏膜,不及时处理,严重者可导致消化道穿孔、肠梗阻、颈部深部间隙感染、食管纵隔瘘、穿破邻近血管形成假性动脉瘤、腹部感染、脓肿形成,严重危及生命安全。

消化道系统示意图
消化道是一条起自口腔延续为咽、食管、胃、小肠、大肠、终于肛管的很长的肌性管道,包括口腔、咽、食道、胃、小肠(十二指肠、空肠、回肠)、大肠(盲肠、阑尾、结肠、直肠)和肛管等部。
临床症状
食道异物患者主要的临床表现有吞咽困难、吞咽疼痛、有异物感、胸痛、呼吸道症状等。消化道异物患者常常伴有腹痛、吐血、呕血、便血等症状。部分有消化道穿孔患者还可出现发烧、发热等感染症状。
影像检查方法
传统检查有X线平片,包括颈椎正侧、胸部正侧及腹部平片,对于怀疑鱼刺类异物采用钡棉钩挂法。但是X线平片有一定的局限性,对阴性的异物难以明确。钡棉钩挂时对食管产生机械性挤压,有加重食管二次损伤的风险。
Case1 :胸部正侧位片观察食管硬币

随着多层螺旋CT的发展及其重建技术的应用,多层螺旋CT可以明确消化道异物的诊断,了解异物的大小、形态及异物与周围组织的关系,观察食管、肠管周围是否存在并发症。为临床提供丰富的诊疗信息,具有重要的参考价值。
- 影像学表现
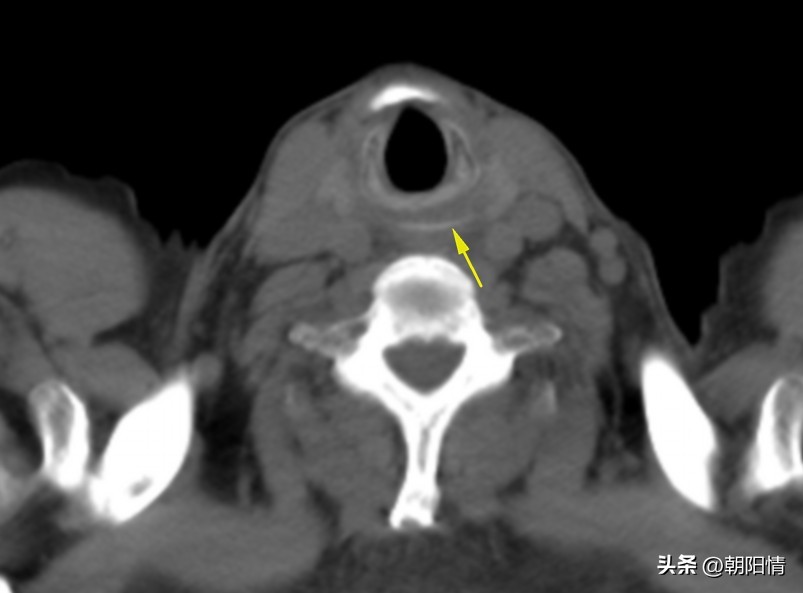
(1)颈段食管异物
Case2:食管环状软骨水平异物(鱼骨)。

Case3:食管入口梨状窝水平横行异物,需与喉软骨相鉴别。

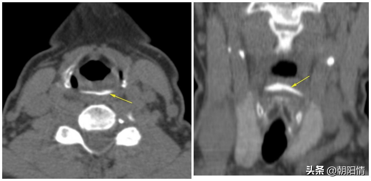
(2)食管胸上段异物
Case4:食管胸上段鱼骨

鱼骨下行到心脏大血管附近,非常凶险!
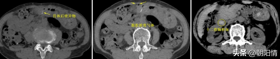
(3)胃异物
Case5:老年女性,突发腹痛入院。胃异物合并胃穿孔、腹腔积气、十二指肠积血。

Case6:老年男性,有胃部分切除术病史,消化功能减弱。MRI检查胃腔见冬菇影。

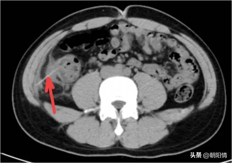
(4)小肠异物
Case7:男性,54岁,下腹部绞痛入院,行下腹部CT平扫。手术证实:小肠异物并穿孔(鸡骨头);腹腔积液、积脓。


Case8:老年女性,突发腹痛就诊。腹部CT示:小肠异物合并肠梗阻。患者灌肠治疗见大量冬菇。

(5)回盲部异物
Case9:回盲部牙签致肠穿孔

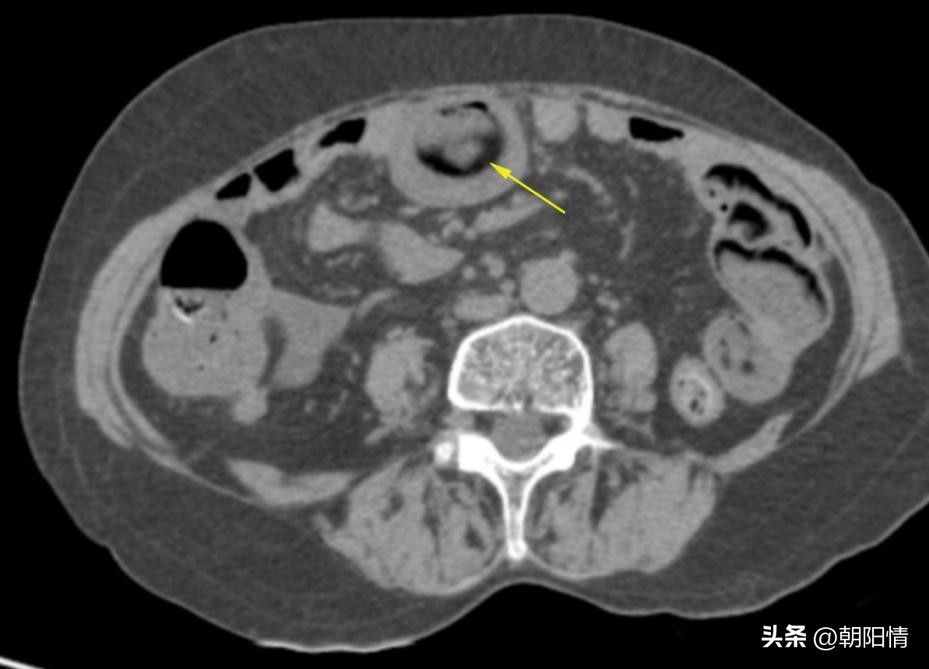
(6)盲升结肠异物
Case10:男性,17岁,腹痛半天就诊,临床可疑急性阑尾炎。行全腹部CT检查:

影像所见:线状异物穿破盲升结肠肠壁及腹膜,累及右侧腹壁肌肉,局限性腹膜炎。

腹腔镜手术证实异物为牙签,肠周、右侧结肠旁沟积脓。
整朵未消化的冬菇、误吞的牙签在胃肠道是多危险的存在!
总的来说,有异物误吞病史,通过多层螺旋CT 检查,消化道异物可以明确诊断;部分患者由于种种原因,无法提供准确异物的误吞史,当CT怀疑消化道异物时,请进一步内镜检查。
最后温馨提示:食用带细骨的肉类时,请注意细嚼慢咽;家里有老人,记得冬菇泡发后切开了煮;谨慎使用牙签。
(全文完结。感谢您耐心看完,觉得有用的话请点个关注,欢迎转发和收藏。)